zotyÖÐÅ·ÌåÓý

English zotyÖÐÅ·ÌåÓý¼¯ÍÅÆóÒµÓÊÏä

µÚ¶þ½Ú ¾Ö²¿¹æ·¶ÖÎÁÆÊµ¿ö

×÷ÕߣºÖйúÖÐÎ÷ҽ͎áѧ»áÉÕÉËרҵίԱ»á ³öÊéÉ磺ÖйúÒ½Ò©¿Æ¼¼³öÊéÉç ¿¯ÐÐÈÕÆÚ£º2000Äê6ÔÂ

      Ϊ±ãÓÚ¸÷ÈËÏàʶÖÖÖÖÒ½ÁÆÊÖÒÕµÄÖÎÁÆÇéÐΣ¬£¬£¬£¬£¬£¬£¬£¬»®·ÖÒÔÉÕÉËÆ¤·ôµÄ´¦Öóͷ£¡¢ÉÕÉË´´ÃæµÄ¹Ø±Õ¡¢ÊÇ·ñÐèÒªÕûÐÎÈý´ó°ì·¨¾ÙÐÐʵ¿öͼƬÏÈÈÝ¡£¡£¡£¡£¡£

Ò»¡¢ÉÕÉËÍâ¿ÆÇгýֲƤҽÁÆÊÖÒÕµÄÁÙ´²ÖÎÁƳÌÐò¼°Ð§¹û

½ÓÊÜÖÎÁƲ¡È˵Ä×ÊÁÏÏÈÈÝ£º

      »¼Õß×××£¬£¬£¬£¬£¬£¬£¬£¬ÄУ¬£¬£¬£¬£¬£¬£¬£¬23Ëê¡£¡£¡£¡£¡£»£»£»£»£»£»£»¼ÕßÒòÊÂÇéÖиÖÔü½¦ÉíÒýȼÃÞÒÂÖÂÈ«Éí»ðÑæÉÕÉË£¬£¬£¬£¬£¬£¬£¬£¬Á¬Ã¦ÔÚ±¾³§Ò½ÔºÐп¹Ðݿˣ¬£¬£¬£¬£¬£¬£¬£¬ÓÚÉ˺ó4h£¬£¬£¬£¬£¬£¬£¬£¬Í¾¾­7h 20minתÖÁÒ½Ôº£¬£¬£¬£¬£¬£¬£¬£¬¿É¼û£ºÈ«ÉíÉÕÉËÑÏÖØ£¬£¬£¬£¬£¬£¬£¬£¬Ë«¶úÀª¡¢¾±Ç°¡¢Ë«ÊÖ¡¢Ðظ¹²¿¡¢×ó´óÍÈ¡¢Ë«Ð¡Íȵȴ¦£¬£¬£¬£¬£¬£¬£¬£¬´´Ãæ³ÊƤ¸ïÑù¸Ä±ä£¬£¬£¬£¬£¬£¬£¬£¬Ê÷֦״Ѫ¹Ü˨Èû¡£¡£¡£¡£¡£»£»£»£»£»£»£»¼ÕßT£º35.9¡æ£¬£¬£¬£¬£¬£¬£¬£¬P:44´Î/·Ö£¬£¬£¬£¬£¬£¬£¬£¬R£º32´Î/·Ö£¬£¬£¬£¬£¬£¬£¬£¬BP£º0¡£¡£¡£¡£¡£´¦ÓÚÉÕÉ˺óµÍѪÈÝÁ¿ÐÔÐݿˣ¬£¬£¬£¬£¬£¬£¬£¬Í¬Ê±°éÓÐÎüÈëÐÔËðÉË¡£¡£¡£¡£¡£

      ÈëÔººó¼´¿ìËÙ²¹Òº¾ÀÕýÐݿˣ¬£¬£¬£¬£¬£¬£¬£¬ÐÐÆø¹ÜÇпª£¬£¬£¬£¬£¬£¬£¬£¬¸ÄÉÆÍ¨Æø¹¦Ð§£¬£¬£¬£¬£¬£¬£¬£¬×óǰ±Û¡¢Ë«Ð¡ÍÈ¢ó¶È»·Ðν¹ðèÇпª¼õÕÅ£¬£¬£¬£¬£¬£¬£¬£¬¸ÄÉÆÖ«¶ËѪÔË¡£¡£¡£¡£¡£ÉÏÇ»¾²Âö´©´ÌÖÃÓÒÐÄÆ¯¸¡µ¼¹ÜÐÐÐĹ¦Ð§¸÷ÏîÖ¸±ê¼à²â¡£¡£¡£¡£¡£ÓÚÉ˺óµÚ¶þÌìÐÐËÄÖ«ÇÐðè΢Á£Ö²Æ¤£¬£¬£¬£¬£¬£¬£¬£¬É˺óµÚÁùÌìÐÐÐØ¸¹²¿ÇÐðèÖ²´óÕÅ¿ª¶´ÒìÌå±í£¬£¬£¬£¬£¬£¬£¬£¬É˺ó10Ì죨Êõºó4Ìì£©ÐØ¸¹²¿Ç¶Ö²Ð¡Æ¬×ÔÌ寤¡£¡£¡£¡£¡£»£»£»£»£»£»£»¼ÕßÉ˺ó28Ìì·ºÆðÑÏÖØÂÌŧ¸Ë¾ú°ÜѪ֢£¬£¬£¬£¬£¬£¬£¬£¬Ò»Á¬µÍλèØÊÒ»ÖÜ£¬£¬£¬£¬£¬£¬£¬£¬¾­È«Á¦ÇÀ¾È£¬£¬£¬£¬£¬£¬£¬£¬°ÜѪ֢µÃÒÔ¿ØÖÆ£»£»£»£»£»£»£»ÓÖÏȺó9´ÎÐÐֲƤÊÖÊõ£¬£¬£¬£¬£¬£¬£¬£¬´ó²¿´´Ãæ¹Ø±Õ£»£»£»£»£»£»£»ÔøÓÚÉ˺ó43Ìì·ºÆð×óÑÛ½ÇĤÀ£Ññ£¬£¬£¬£¬£¬£¬£¬£¬ÒÔµãÑÛ¡¢Çòºó½áĤÏÂ×¢ÉäµÈÖÎÁÆ£¬£¬£¬£¬£¬£¬£¬£¬À£ÑñÓúºÏ¡£¡£¡£¡£¡£×¡ÔºÊ±´úΪԤ·ÀÓ¦¼¤À£Ññ£¬£¬£¬£¬£¬£¬£¬£¬¿ØÖÆÑ¬È¾£¬£¬£¬£¬£¬£¬£¬£¬±ÜÃâ·Î²¿²¢·¢Ö¢µÈ£¬£¬£¬£¬£¬£¬£¬£¬Òà½ÓÄÉÁËÏìÓ¦µÄ²½·¥¡£¡£¡£¡£¡£¹²×¡Ôº70Ìì¡£¡£¡£¡£¡£

ÉÕÉ˸ÉÔïÍâ¿ÆÇгýֲƤÊÖÒÕµÄÖÎÁƳÌÐò¼°Ð§¹û£¨¼ûͼƬ3-1¡«3-14)

µÚÒ»²½£º¶ÔÉÕÉËÆ¤·ôµÄ´¦Öóͷ£

         

                  3-1 ´¦Öóͷ£Ç°ÇéÐÎ

         

           3-2 ´ÙʹÉÕÉËÆ¤·ô¸ÉÔï¡¢ÍÑË®¡¢³Éðè

         

        3-3 ½øÒ»²½½ÓÄÉÖÖÖÖÒªÁìÈÃÉÕÉËÆ¤·ô¸ÉÔï

         

3-4 ÓõçÊÖÊõµ¶´ÓÉÐδ±»ÉÕÉËµÄÆ¤ÏÂ×é֯ϲ㡢Éî½îĤÉϽ«ÉÕÉËÆ¤·ô¼°Æ¤ÏÂ×éÖ¯Ò»ÆðÇгý

         

3-5 ÕâÊÇÆ¤·ô¼°Æ¤ÏÂ×éÖ¯±»ÇгýºóµÄ´´ÃæÇéÐΣ¬£¬£¬£¬£¬£¬£¬£¬ÌåÏÖΪÉî½îĤ±£´æµÄ¼¡Èâ²ã´´Ãæ 

3-6 ´¦Öóͷ£Ð§¹û£ºÉÕÉËÆ¤·ô¼°Î´ÉÕÉËµÄÆ¤ÏÂ×éÖ¯¾ù±»Çгý£¬£¬£¬£¬£¬£¬£¬£¬Ðز¿ÉÕÉË´´ÃæÄð³ÉÈËΪµÄÍâ¿ÆÊÖÊõÇгýµÄ¼¡Èâ²ã´´ÉË´´Ã棬£¬£¬£¬£¬£¬£¬£¬ÒÑÎÞÈκÎÉÕÉË×éÖ¯¼°Æ¤·ô×éÖ¯¡£¡£¡£¡£¡£

µÚ¶þ²½£º¹Ø±ÕÓúºÏ´´Ãæ

         

  3-7 È¡ÒìÌ寤£¬£¬£¬£¬£¬£¬£¬£¬´ò¶´À­Íø,½«Æä×÷ΪÔÝʱÁýÕÖÎï 

         

3-8 ½«ÒìÌ寤À­ÍøÊ½ÁýÕÖÔÚÊÖÊõºóµÄ´´ÃæÉÏ¡£¡£¡£¡£¡££´Ììºó½«×ÔÌ寤ÇгÉËéÁ££¨»òƬ£©Ç¶ÈëÒìÌ寤µÄÍø¶´ÄÚ 

         

                3-9 ´ËºóÓúñ·óÁϰüÔú

         

3-10 20Ììºó£¬£¬£¬£¬£¬£¬£¬£¬ÒìÌ寤ÇãÔþ£¬£¬£¬£¬£¬£¬£¬£¬²¿·ÖƤƬ³É»î 

         

   3-11 ´´Ã沿·ÖÔÙ´ÎֲƤ£¬£¬£¬£¬£¬£¬£¬£¬ÕâÊÇÔÙ´ÎֲƤºóÌåÏÖ 

         

  3-12 ÕâÊÇÓÃÒìÌ寤ÅäºÏ×ÔÌåÆ¤ÒÆÖ²µÄÌåÏÖ£¨É˺óµÚ47Ì죩

         

    3-13 ÕâÊǶà´ÎֲƤºó´´Ãæ¹Ø±ÕÓúºÏµÄÇéÐÎ

         

    3-14 ¶à´ÎֲƤ£¬£¬£¬£¬£¬£¬£¬£¬É˺óµÚ70ÌìµÄÌåÏÖ£¬£¬£¬£¬£¬£¬£¬£¬²¡È˲зÏ

µÚÈý²½£ºÕûÐÎ

¾­9´ÎÊÖÊõÕûÐΣ¬£¬£¬£¬£¬£¬£¬£¬Àúʱ1Äê2¸öÔ¡£¡£¡£¡£¡£ÆäЧ¹û£¬£¬£¬£¬£¬£¬£¬£¬²¡ÈËÈÔΪ²Ð·Ï¡£¡£¡£¡£¡£

ÖÎÁÆÐ§¹û£º²Ð·Ï¡£¡£¡£¡£¡£

¶þ¡¢ÉÕÉËʪÐÔÒ½ÁÆÊÖÒÕµÄÁÙ´²ÖÎÁƳÌÐò¼°Ð§¹û

½ÓÊÜÖÎÁƲ¡È˵Ä×ÊÁÏÏÈÈÝ£º

»¼ÕßÀî××£¬£¬£¬£¬£¬£¬£¬£¬ÄÐÐÔ£¬£¬£¬£¬£¬£¬£¬£¬35Ë꣬£¬£¬£¬£¬£¬£¬£¬ÓÚ1996Äê4ÔÂ12ÈÕÍí8:30ÔÚË®ÄàÒ¤±ÀËúʹÊÖб»½ü1000¡æ¿áÈÈË®ÄàׯÉ˼°»ðÑæÉÕÉË£¬£¬£¬£¬£¬£¬£¬£¬É˺ó4.5h¼±ÕïÈëÔº¡£¡£¡£¡£¡£Õï¶ÏΪ:¢ÙÈȳ帴ºÏÉË£»£»£»£»£»£»£»¢Ú´óÃæ»ýÉî¶ÈÉÕÉË£¨ÉÕÉË×ÜÃæ»ý85%£©£»£»£»£»£»£»£»¢ÛÖØ¶ÈÎüÈëÐÔËðÉË£»£»£»£»£»£»£»¢ÜÐݿˣ»£»£»£»£»£»£»¢ÝË«×ã¶à·¢ÐÔ¹ÇÕÛ¡£¡£¡£¡£¡£

»¼ÕßÈëԺʱ£¬£¬£¬£¬£¬£¬£¬£¬²¡ÇéÑÏÖØ£¬£¬£¬£¬£¬£¬£¬£¬´¦ÓÚÐÝ¿Ë״̬¡£¡£¡£¡£¡£´óÃæ»ýÉî¶ÈÉÕÉË´´Ã汻ˮÄà·ÛÌù¸²£¬£¬£¬£¬£¬£¬£¬£¬±ÇëÉÕ½¹£¬£¬£¬£¬£¬£¬£¬£¬Ë®ÄàºôÎüµÀÎüÈ룬£¬£¬£¬£¬£¬£¬£¬ºôÎüÒô±äµ÷£¬£¬£¬£¬£¬£¬£¬£¬ÉùÒôË»ÑÆ£¬£¬£¬£¬£¬£¬£¬£¬½ôÆÈ×÷Æø¹ÜÇпª£¬£¬£¬£¬£¬£¬£¬£¬¶Ô´´ÃæÐÐMEBT/MEBO¼Ó¸û×÷ÁÆ·¨ÖÎÁÆ£¬£¬£¬£¬£¬£¬£¬£¬¶ÔÈ«Éí¾ÙÐÐ×ÛºÏÖÎÁÆ£¬£¬£¬£¬£¬£¬£¬£¬´´Ãæ×é֯ѧ¼ì²éΪ¢ó¶ÈÉÕÉË¡£¡£¡£¡£¡£

É˺ó30Ìì´´Ãæ»µËÀ×éÖ¯Òº»¯Åž»£¬£¬£¬£¬£¬£¬£¬£¬É˺óµÚ49Ìì´´Ãæ·ºÆðÐÂÉúƤ·ô£¬£¬£¬£¬£¬£¬£¬£¬µÚ59Ìì´óƬÔÙÉúƤ·ôÐγɣ¬£¬£¬£¬£¬£¬£¬£¬µÚ72ÌìËùÓд´ÃæÓúºÏ£¬£¬£¬£¬£¬£¬£¬£¬1Äêºó£¬£¬£¬£¬£¬£¬£¬£¬ÎÞÕûÐΣ¬£¬£¬£¬£¬£¬£¬£¬ÉúÑÄ×ÔÀí£¬£¬£¬£¬£¬£¬£¬£¬Î޲зÏ¡£¡£¡£¡£¡£

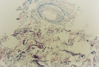
ÉÕÉËʪÐÔÒ½ÁÆÊÖÒÕµÄÖÎÁƳÌÐò¼°Ð§¹û£¨¼ûͼƬ3-15¡«3-29£©

µÚÒ»²½£º¶ÔÉÕÉË´´ÃæµÄ´¦Öóͷ£

          

               3-15 ´¦Öóͷ£Ç°ÇéÐΠ

          

             3-16 È¥µôÉÕÉË»µËÀƤ·ôÍâòµÄ¸¯Æ¤

          

3-17 È¡ÉÕÉËÆ¤·ô×éÖ¯¾ÙÐÐ×éÖ¯ÇÐÆ¬£¬£¬£¬£¬£¬£¬£¬£¬Õï¶ÏΪȫºñƤ»µËÀ£¬£¬£¬£¬£¬£¬£¬£¬²¿·ÖÖ¬·¾²ã×éÖ¯»µËÀ

          

3-18 ¶ÔÉÕÉËÆ¤·ô¾ÙÐиû×÷Ëɽ⣬£¬£¬£¬£¬£¬£¬£¬·óÓÃMEBO,½ÓÄÉ MEBTÁÆ·¨ 

          

3-19 ÉÕÉËµÄÆ¤·ô»µËÀ×éÖ¯×îÏÈÒº»¯£¬£¬£¬£¬£¬£¬£¬£¬¿ÉʵʱÕûÀí

          

3-20 »µËÀƤ·ô±»Òº»¯É¨³ý£¬£¬£¬£¬£¬£¬£¬£¬×é֯ѧ¼ì²éƤÏÂ×éÖ¯ÓÐÐÂÆ¤·ô×éÖ¯·ºÆð

          

3-21 ÉÕÉËÆ¤·ô´¦Öóͷ£Ð§¹ûÊÇ»µËÀƤ·ô±»Òº»¯É¨³ý£¬£¬£¬£¬£¬£¬£¬£¬³É»îÉÕÉË×éÖ¯±»±£´æ£¬£¬£¬£¬£¬£¬£¬£¬Æ¤ÏÂ×éÖ¯Ö®ÉÏÐγÉÈâÑ¿´´Ã棬£¬£¬£¬£¬£¬£¬£¬ÆäÖÐÓÐÐÂÆ¤µã·ºÆð¡£¡£¡£¡£¡££¨É˺óµÚ20Ì죩

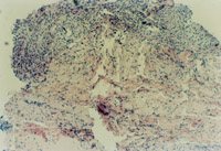
µÚ¶þ²½£º¹Ø±ÕÓúºÏ´´Ãæ

          

3-22 ¼ÌÐøÊ¹ÓÃMEBT/MEBO,ÉÕÉË´´ÃæÔÚÒ©²ã×÷Óñ£»£»£»£»£»£»£»¤Ï£¬£¬£¬£¬£¬£¬£¬£¬ÔÙÉúµÄƤ·ô×éÖ¯ÔÚÈâÑ¿´´ÃæÄÚ·ºÆðÉ¢Ô򵀮¤µã

          

3-23 ¶ÔÆä“Ƥµã”¾ÙÐÐ×é֯ѧ¼ì²é£¬£¬£¬£¬£¬£¬£¬£¬¸Ã×é֯Ϊ´ÓƤÏÂ×éÖ¯ÖÐÔÙÉú³öµÄ΢Ѫ¹Ü¡¢½ºÔ­×éÖ¯¡¢±íƤϸ°û×éÖ¯×é³ÉµÄÔÙÉúƤ·ô×éÖ¯ÍÅ

          

3-24 ¸Ã“Ƥµã”Öð½¥À©Õ¹ÎªÆ¤·ô×éÖ¯ÍÅ£¬£¬£¬£¬£¬£¬£¬£¬¸÷Ƥ·ô×éÖ¯ÍÅÏ໥ÈںϠ

          

3-25 ¸÷ÔÙÉúƤ·ô×éÖ¯ÍÅÈÚºÏΪ´óƬƤ·ô×éÖ¯

          

3-26 ¶Ô´óƬµÄÐÂÉúƤ·ô×éÖ¯¾ÙÐÐ×é֯ѧ¼ì²é£¬£¬£¬£¬£¬£¬£¬£¬Ö¤ÊµÎªÐÄÀíÐÔÆ¤·ôÈ«²ãÔÙÉúÐÞ¸´£¨É˺óµÚ49Ì죩

          

3-27 ÒÑÈںϳÉÐÂÆ¤·ôµÄÇøÓò£¬£¬£¬£¬£¬£¬£¬£¬¿É¼ûƤÏÂ×éÖ¯´óѪ¹ÜµÄÆÊ½âÐÄÀí½á¹¹ÐγÉ

          

3-28 ËùÓд´ÃæÒѱ»ÔÙÉúµÄƤ·ôÁýÕÖ£¬£¬£¬£¬£¬£¬£¬£¬Õâ²»µ«µÖ´ï¹Ø±Õ´´ÃæµÄÄ¿µÄ£¬£¬£¬£¬£¬£¬£¬£¬²¢ÇÒ·²ÉÕÉË´ïÆ¤ÏÂ×éÖ¯²ãµÄ´´Ãæ¾ùÐÂÉúÁËÓëԭƤ·ôÏàËÆµÄ×ÔÉíÆ¤·ô£¬£¬£¬£¬£¬£¬£¬£¬»Ö¸´ÁËÌå±íµÄƤ·ôÐÎ̬¼°ËùÓй¦Ð§ 

          

3-29 É˺óµÚ72Ì죬£¬£¬£¬£¬£¬£¬£¬Æ¤·ôÈ«²ãÔÙÉúÓúºÏµÄÌåÏÖ

µÚÈý²½£ºÕûÐÎ

²»ÐèÕûÐÎ

ÖÎÁÆÐ§¹û£ºÒ»ÄêÒÔºó,Î޲зÏ¡£¡£¡£¡£¡£

Èý¡¢ÉÕÉËÍâ¿ÆÇгý×ÔÌ帴ºÏÆ¤ÒÆÖ²ÊÖÒÕµÄÁÙ´²ÖÎÁƳÌÐò¼°Ð§¹û

      ½ÓÊÜÖÎÁƲ¡È˵Ä×ÊÁÏÏÈÈÝ£¨ÕªÒª¿¯µÇ£©£º

      ×÷ÓýµÄÉÏÆ¤Ï¸°û×ÔÌ寤£¨CEA£©Ôø±»ÓÃ×÷¸¨ÖúÊֶξÙÐдóÃæ»ýÉÕÉ˵ÄÍâ¿ÆÖÎÁÆ¡£¡£¡£¡£¡£µ«Òź¶µÄÊÇ£¬£¬£¬£¬£¬£¬£¬£¬ÓÉÓÚȱÉÙÆ¤·ô»ùµ×£¬£¬£¬£¬£¬£¬£¬£¬Ê¹CEAÒ×Êܵ½Ñ¬È¾ºÍ¼ôÇÐÁ¦£¬£¬£¬£¬£¬£¬£¬£¬ÏÞÖÆÁËÆäÓëÉÕÉË´´ÃæµÄÍŽá¡£¡£¡£¡£¡£Îª´Ë£¬£¬£¬£¬£¬£¬£¬£¬¿ª·¢³öÁËÒ»ÖÖ×÷ÓýµÄ¸´ºÏ×ÔÌ寤£¨CCA£©£¬£¬£¬£¬£¬£¬£¬£¬ÆäÖеÄ×ÔÌå½ÇÖÊϸ°û¼°³ÉÏËάϸ°ûÊÇ´ÓÉÕÉ˲¡È˵ÄÕý³£Æ¤·ôÖÐÓÃÍâ¿ÆÒªÁìÊÕÂÞÀ´µÄ¡£¡£¡£¡£¡£ÕâЩ“Ôª¼þ”ÔöÉú£¬£¬£¬£¬£¬£¬£¬£¬Ö®ºó×éºÏÐγÉÒ»ÖÖ±íÆ¤ºÍÕæÆ¤»ùµ×£¬£¬£¬£¬£¬£¬£¬£¬²¢Éú³¤Èںϣ¬£¬£¬£¬£¬£¬£¬£¬È»ºóÓ¦ÓÃÓÚ´´Ãæ¡£¡£¡£¡£¡£

      һλ12ËêµÄÅ®º¢È«Éí81%Ãæ»ý¢ó¶ÈÉÕÉË£¬£¬£¬£¬£¬£¬£¬£¬Ê¹Óù淶µÄ´´ÃæÁýÕÖÊÖÒÕºÍCCAÊÖÒÕÀֳɵعرÕÁË´´Ãæ¡£¡£¡£¡£¡£¾ÙÐнîĤÇгýºÍͬÖÖÒìÌåÆ¤ÒÆÖ²ÁýÕֺ󣬣¬£¬£¬£¬£¬£¬£¬½«×ÔÌ寤ÖÃÓÚËý±³²¿µÄÉÕÉË´¦£¬£¬£¬£¬£¬£¬£¬£¬È»ºó½«7500cm2µÄCCAÖÃÓÚÆäÕýÃæÉÕÉ˵ÄÐØ²¿¡¢¸¹²¿ºÍÏÂÖ«¡£¡£¡£¡£¡£60%µÄÃæ»ýÁýÕÖÁËCCA£¬£¬£¬£¬£¬£¬£¬£¬ÀÖ³ÉÂÊ´ï40%¡£¡£¡£¡£¡£Ã»ÓзºÆðѬȾµÄÖ¢×´£¬£¬£¬£¬£¬£¬£¬£¬ÉõÖÁÔÚCCAδ³É»îµÄµØ·½Ò²ÊÇÔÆÔÆ¡£¡£¡£¡£¡£Ö»¹ÜÔÚÕâЩCCAÒÆÖ²Ê§°ÜµÄ²¿Î»Ò²ÎÞÒⱬ·¢ÉÏÆ¤»¯£¬£¬£¬£¬£¬£¬£¬£¬Ëƺõ¸üÓÐÀûÓÚÒÆÖ²×ÔÌ寤¡£¡£¡£¡£¡£ÔÚ´óÃæ»ýÉî¶ÈÉÕÉËÖУ¬£¬£¬£¬£¬£¬£¬£¬ÏȾÙÐÐÔçÆÚÇå´´ºÍͬÖÖÒìÌåÆ¤ÒÆÖ²£¬£¬£¬£¬£¬£¬£¬£¬Ëæºó¾ÙÐÐͨÀýµÄ×ÔÌåÆ¤Ö²Æ¤ºÍCCAÒÆÖ²£¬£¬£¬£¬£¬£¬£¬£¬¿ÉÌṩһ¸öÓÐÓÃµÄÆ¤·ôÁýÕÖÒªÁì¡£¡£¡£¡£¡£

       ÆäÖÎÁƳÌÐò¼°Ð§¹ûͼƬÏÈÈÝ£º

       ÒòÉæ¼°ÍâÑó°æÈ¨£¬£¬£¬£¬£¬£¬£¬£¬ÎÞ·¨×ªµÇ£¬£¬£¬£¬£¬£¬£¬£¬µ«Ð§¹ûÈÔÈ»Ôì³É²Ð·Ï¡£¡£¡£¡£¡£Çë²éÔÄ1999Äê12Ô³öÊéµÄ¡¶BURNS¡·µÚ25¾íµÚ8ºÅ¡£¡£¡£¡£¡£

(ÐìÈÙÏé)

¡¾ÍøÕ¾µØÍ¼¡¿¡¾sitemap¡¿