zotyÖÐÅ·ÌåÓý

English zotyÖÐÅ·ÌåÓý¼¯ÍÅÆóÒµÓÊÏä

Èý¡¢Æ¤·ôÆ÷¹ÙԭλÔÙÉú»Ø¸´»úÀí

×÷ÕߣºÐìÈÙÏé ³öÊéÉ磺Öйú¿ÆÑ§ÊÖÒÕ³öÊéÉç ¿¯ÐÐÈÕÆÚ£º2009Äê7ÔÂ
     [Ñݽ²¸å]ÔÚÈËÌå¸÷Æ÷¹ÙÖУ¬ £¬ £¬£¬£¬ÎÞÂÛÊǴӼܹ¹Õվɹ¦Ð§½²£¬ £¬ £¬£¬£¬Æ¤·ôºÍ賦¶¼ÊÇ×îÖ±¹ÛµÄÁ½´óÆ÷¹Ù£¬ £¬ £¬£¬£¬Í¬Ê±£¬ £¬ £¬£¬£¬Ò²ÊDZ£»£»£» £»£»£» £» £»¤ºÍ°ü¹Ü»úÌåÓªÑøÎïÖÊÎüÊÕµÄÁ½´óÆ÷¹Ù£¬ £¬ £¬£¬£¬ËüÃǹØÓÚÕû¸ö»úÌåÉúÃüÊDZØÐèµÄ£¬ £¬ £¬£¬£¬Ã»ÓÐÆ¤·ôºÍ賦¾ÍûÓÐÉúÃü¡£¡£¡£¡£¡£¡£¡£¡£Òò´Ë£¬ £¬ £¬£¬£¬¶ÔÈ«ÉíÆ÷¹ÙµÄÔÙÉú»Ø¸´£¬ £¬ £¬£¬£¬Ê×ÏÈÒª´ÓƤ·ôºÍ賦ÈëÊÖ¡£¡£¡£¡£¡£¡£¡£¡£±¾ÕÂÕë¶Ô¡°Æ¤·ôÆ÷¹ÙԭλÔÙÉú»Ø¸´¡±¾ÙÐÐÏêϸµÄÐðÊö¡£¡£¡£¡£¡£¡£¡£¡£
     Ƥ·ôÆ÷¹ÙÔÙÉú»Ø¸´ÊÖÒÕÊÇÕæÕýÒâÒåÉÏʵÏÖÆ¤·ôÆ÷¹ÙԭλÔÙÉú»Ø¸´£¬ £¬ £¬£¬£¬ÕâÊÇÈËÀàµÄÃÎÏ룬 £¬ £¬£¬£¬¸üÊÇÉúÃü¿ÆÑ§×îÇ°ÑØÒÑÀÖ³ÉʵÏÖµÄÈËÌåÔÙÉú¿ÆÑ§³É¼¨Ö®Ò»¡£¡£¡£¡£¡£¡£¡£¡£Æ¤·ôÔÙÉúºÍÉíÌåÄÚÆäËûÆ÷¹ÙԭλÔÙÉúÒ»Ñù£¬ £¬ £¬£¬£¬ÊÇʹÓÃÈËÌå×éÖ¯µÄDZÄÜÔÙÉúϸ°û£¨Æ¤·ô¾ßÓÐÔÙÉúDZÄܵÄϸ°ûºÍ½ÇÂѰ×19Ð͸Éϸ°û£©Ô­Î»ÔÙÉúΪ×éÖ¯Æ÷¹ÙÀ´ÊµÏֵģ¬ £¬ £¬£¬£¬Í¬Ê±ÊµÏÖËùÓÐÆ¤·ôÆ÷¹ÙµÄÆÊ½â½á¹¹ºÍÐÄÀí¹¦Ð§µÄÄêÇữ£¬ £¬ £¬£¬£¬²¢Í¨¹ýÌá¸ßƤ·ôÆ÷¹ÙÉúÃüÔÙÉúÑÄÁ¦·¢ÄîÍ·Ìå¸÷Æ÷¹ÙÉúÃü»îÁ¦µÄÌá¸ß£¬ £¬ £¬£¬£¬Ö®ÒÔÊÇÄܹ»±»³ÆÖ®Îª¡°Æ¤·ôÆ÷¹ÙԭλÔÙÉú»Ø¸´ÊÖÒÕ¡±£¬ £¬ £¬£¬£¬¼´ÊÇ´ÓÈËÌåÆ÷¹ÙÔÙÉú¿ÆÑ§³É¼¨µÄ½Ç¶ÈÈëÊÖ£¬ £¬ £¬£¬£¬Ê¹ÓÃÆ÷¹ÙԭλÔÙÉúDZÄÜ£¬ £¬ £¬£¬£¬»Ø¸´Æ¤·ôÆ÷¹ÙÖÐÖÖÖÖϸ°ûºÍ×éÖ¯£¬ £¬ £¬£¬£¬Ê¹ÆäÔÙÉú»Ö»Ø¸´ÓеĽṹºÍ¹¦Ð§£¬ £¬ £¬£¬£¬ÊµÏÖÑÓ»ººÍÖÐֹƤ·ôÐàÂõ£¬ £¬ £¬£¬£¬ÊµÏÖÆ¤·ôÆ÷¹ÙÉúÃüÊÙÃüµÄÔÙÉú½ÓÁ¦£¬ £¬ £¬£¬£¬ÔÙÉú»Ø¸´Õû¸öƤ·ôÆ÷¹ÙÒѾ­Ê§È¥µÄÇà´º»îÁ¦¡£¡£¡£¡£¡£¡£¡£¡£
     ÏêϸµÄƤ·ôÆ÷¹ÙԭλÔÙÉú»Ø¸´ÊÖÒÕ»úÀí£¬ £¬ £¬£¬£¬³ýÈËÌåÆ÷¹ÙÔÙÉúµÄÅäºÏDZÄÜÔÙÉúϸ°ûԭλÔÙÉú»Ø¸´µÄϸ°ûѧ»úÀíÍ⣬ £¬ £¬£¬£¬ÎÒÔÚÕâÀï×ÅÖØÓÚ´ÓÆ¤·ô×é֯ѧ½²Æð¡£¡£¡£¡£¡£¡£¡£¡£Æ¤·ôµÄ×é³ÉºÍÈËÌåÆäËûÆ÷¹ÙµÄ×é³ÉÊÇÒ»ÑùµÄ£¬ £¬ £¬£¬£¬¶¼ÊÇÓÉÉÏÆ¤×éÖ¯¡¢½áµÞ×éÖ¯¡¢Éñ¾­×éÖ¯¡¢¼¡Èâ×éÖ¯×é³É¡£¡£¡£¡£¡£¡£¡£¡£´Ó×é֯ѧµÄ½Ç¶È½²£¬ £¬ £¬£¬£¬ÈËÌåÆ÷¹ÙµÄÔÙÉú±ØÐ轫ÕâËÄ´ó×éÖ¯ËùÓÐÔÙÉú£¬ £¬ £¬£¬£¬²Å»ªÊµÏÖÈËÌåÆ÷¹ÙµÄÔÙÉú£¬ £¬ £¬£¬£¬ÈôÊÇʵÏÖ²»ÁËËÄ´ó×éÖ¯µÄͬʱÔÙÉú£¬ £¬ £¬£¬£¬¾ÍûÓв½·¥ÕæÕýʵÏÖÆ÷¹ÙµÄÔÙÉú¡£¡£¡£¡£¡£¡£¡£¡£
     ¡¾×é֯ѧ¼°ÔÙÉúҽѧ»ù´¡ÀíÂÛ¡¿

      ÔÚÕâÀ £¬ £¬£¬£¬ÓÃÈËÃÇÒÔΪ²»¿ÉÄܵĶÏָԭλÔÙÉú»Ø¸´ÊµÀý×öÒ»¸öÒýÉ꣨***µÄÀý×Ó£¬ £¬ £¬£¬£¬Ä´Ö¸Ð¡½ÚÀë¶Ï£¬ £¬ £¬£¬£¬Àë¶ÏºóÁ¬Ã¦ÔÚÒ½Ôº½«ÒѾ­¶ÏµôµÄ²¿·ÖÓëÄ´Ö¸¾ÙÐзìºÏÅþÁ¬£¬ £¬ £¬£¬£¬µ«·ìºÏºó¶ÏµôµÄÖ¸Ì岢ûÓгɻ £¬ £¬£¬£¬´Ëºó£¬ £¬ £¬£¬£¬ÎÒÃDz»µÃ²»±ØÔÙÉúµÄÒªÁ죬 £¬ £¬£¬£¬¶ÔÒѾ­»µËÀµÄ¶Ïָԭλ¾ÙÐÐÔÙÉú£¬ £¬ £¬£¬£¬Ò»¸ö¶àÔµÄʱÖÐÖ¹Ö¸ÔÙÉúÍê³É£¬ £¬ £¬£¬£¬¼û¶ÏÖ¸ÔÙÉúµÄͼƬ£©£¬ £¬ £¬£¬£¬ÎÒÃǶ¼ÖªµÀ£¬ £¬ £¬£¬£¬¶ÏÖ¸ÔÙÉúÖÁ½ñÈÔ±»¿ÆÑ§½ç³ÆÎªÒ»ÖÖÃÎÏ룬 £¬ £¬£¬£¬ÓÉÓÚ¿ÆÑ§¼ÒÃǶ¼ºÜÇåÎúʵÏÖ¶ÏÖ¸ÔÙÉú¾ßÓÐÏ൱´óµÄÉúÃü¿ÆÑ§»ù´¡ÄѶÈ£¬ £¬ £¬£¬£¬ËüÉæ¼°ÈËÌåËÄ´ó×éÖ¯¡¢60¶àÖÖ×éÖ¯Æ÷¹ÙµÄÔÙÉúºÍ»Ø¸´£¬ £¬ £¬£¬£¬Ã»ÓÐÆ÷¹ÙԭλÔÙÍâÐÐÒÕÖ§³Ö£¬ £¬ £¬£¬£¬ÓÀÔ¶¶¼ÎÞ·¨ÊµÏÖ¡£¡£¡£¡£¡£¡£¡£¡£2008Äê¿ÆÑ§ÔÓÖ¾»¹×éÖ¯250ÓàÃûר¼Ò¾ÙÐÐδÀ´ÉúÃü¿ÆÑ§Í»ÆÆµÄÑо¿Õ¹Íû£¬ £¬ £¬£¬£¬ÆäÖÐÖ¹Ö¸ÔÙÉúΪδÀ´ÓпÉÄÜʵÏÖµÄÉúÃü¿ÆÑ§Í»ÆÆ¡£¡£¡£¡£¡£¡£¡£¡£¶ÏÖ¸ÊÇÉæ¼°Ö¸¹Ç¡¢¼¡Èâ¡¢Éñ¾­¡¢¼×´²¡¢Æ¤·ôµÈµÄÀë¶Ï¡£¡£¡£¡£¡£¡£¡£¡£ÊµÏÖ¶ÏÖ¸ÔÙÉú£¬ £¬ £¬£¬£¬¿É²»ÊÇ¿´ËƼòÆÓµÄÐÄÀíÐÔÐÞ¸´£¬ £¬ £¬£¬£¬¶øÊDZØÐèÒª½ÓÄÉԭλÔÙÉú»Ø¸´ÊÖÒÕÔÙÉú»Ø¸´¶ÏÖ¹ØÁ¬Ä60¶àÖÖ×éÖ¯Æ÷¹Ù¡£¡£¡£¡£¡£¡£¡£¡£ÔÚÏÖÔÚÉúÃü¿ÆÑ§ºÍҽѧµÄÀíÂÛÉÏÊDz»¿ÉÄܵÄÊ£¬ £¬ £¬£¬£¬¿ÉÊÇ£¬ £¬ £¬£¬£¬ÎÒÃÇʵÏÖ¶ÏָԭλÔÙÉúµÄÊÖÒÕÒѾ­ÊÇ20ÄêǰµÄÁÙ´²Í¨ÀýÊÖÒÕÁË¡£¡£¡£¡£¡£¡£¡£¡£
     zotyÖÐÅ·ÌåÓý¶ÏÖ¸ÔÙÍâÐÐÒÕÊÇÖ¸¶ÏÖ¸´´ÃæÔÚÔÙÉúÓªÑøÎïÖʵÄ×÷ÓÃÏ£¬ £¬ £¬£¬£¬Í¬Ê±ÔÚÈËÌåµÄͳһµ÷¿ØÏ£¬ £¬ £¬£¬£¬ËÄ´ó×é֯ͬ²½ÔÙÉúÉú³¤£¬ £¬ £¬£¬£¬°üÀ¨Æ¤·ô¡¢¼¡Èâ¡¢¹Ç÷À¡¢¸½¼þµÈ£¬ £¬ £¬£¬£¬²¢ÇÒÆ½ÐÐÏòÉÏÒÆÐУ¬ £¬ £¬£¬£¬ÕâÑùԼĪ50Ìì¶ÏÖ¸¾Í¿ÉÒÔÍêÈ«»Ø¸´ÁË£¬ £¬ £¬£¬£¬²¢Çһظ´ºóµÄ×éÖ¯Æ÷¹ÙÓëÔ­ÓÐÆ÷¹ÙÍêȫһÑù£¬ £¬ £¬£¬£¬Ã»Óнӿںͺۼ££¬ £¬ £¬£¬£¬Æä¹¦Ð§Ò²ºÍÔ­À´Î´¶Ïָʱ100%Ò»Ñù¡£¡£¡£¡£¡£¡£¡£¡£ÏÖÔÚ£¬ £¬ £¬£¬£¬ÓеÄÒ½Ôº½ö¶ÏÖ¸ÔÙÉú¾Í¿ÉÖÎÓúÉÏǧÀý£¬ £¬ £¬£¬£¬Ïñ¶«Ý¸¶«»ªÒ½Ôº¾­Í³¼ÆÒѾ­ÖÎÓú¶ÏÖ¸»¼Õß2769Àý£¬ £¬ £¬£¬£¬ÒÔÊÇÎÒÃÇ·¢Ã÷µÄÕâÏî±»µ±½ñ¿ÆÑ§½ç³ÆÖ®ÎªÌ췽ҹ̷µÄ¶ÏÖ¸ÔÙÍâÐÐÒÕ£¬ £¬ £¬£¬£¬ÔçÒѳÉΪһÏîͨÀýÊÖÒÕÔÚÎÒ¹úÁÙ´²Éϱ»ÆÕ±éÓ¦Óᣡ£¡£¡£¡£¡£¡£¡£
     Í¨¹ýÒÔÉ϶ÏÖ¸ÔÙÉúµÄʵ¼ù£¬ £¬ £¬£¬£¬²»ÐèÒªÔٶིʲô¾Í¿ÉÖªµÀ£¬ £¬ £¬£¬£¬¶ÏÖ¸ÔÙÉú¶¼Äܹ»ÊµÏÖ£¬ £¬ £¬£¬£¬Æ¤·ôÔÙÉúÔòÊǺܼòÆÓµÄÊÂÇéÁË£¬ £¬ £¬£¬£¬¸ü¿öÇÒÎÒÃÇÒѾ­ÔÙÉúÁË23¸ö¹ú¼ÒµÄ2000¶àÍòÉÕÉ˲¡ÈËµÄÆ¤·ô£¬ £¬ £¬£¬£¬ÈËµÄÆ¤·ôÔÙÉú»Ø¸´ÂíÉÏ»áÔÚÈκÎÈ˵ÄÉíÌåÉϱ¬·¢£¬ £¬ £¬£¬£¬ÈËÃǾͻáºÜ¿ìÀë±ðƤ·ôµÄÐàÂõ£¬ £¬ £¬£¬£¬³¤Ê±¼ä¼á³ÖƤ·ôÆ÷¹ÙµÄÄêÇá״̬£¬ £¬ £¬£¬£¬×ÝÈ»ÒѾ­ÐàÂõµÄƤ·ôÒ²²»±Øµ£ÐÄ£¬ £¬ £¬£¬£¬¿ÉÔÙÉú»Ø¸´»ØÓ¦ÓеÄÄêÇá״̬ÁË¡£¡£¡£¡£¡£¡£¡£¡£
     Æ¤·ôÆ÷¹ÙÖеÄÉÏÆ¤×éÖ¯°üÀ¨±íƤºÍÕæÆ¤ÔÚÄÚµÄÒ»Ð©ÌØÊ⸽¼þ£¬ £¬ £¬£¬£¬Ïñº¹ÏÙ¡¢Æ¤Ö¬ÏÙ¡¢Ñª¹ÜÄÚÆ¤µÈ£¬ £¬ £¬£¬£¬¶¼Êǹ¦Ð§ÐԵģ¬ £¬ £¬£¬£¬»ùµ×ĤÒÔÉÏµÄ±íÆ¤²¿·Ö¶¼ÊÇÉÏÆ¤×éÖ¯£¬ £¬ £¬£¬£¬ÓÉ»ùµ×ĤÑÓÉìµ½ÕæÆ¤ÄÚÀïµÄƤ·ô¸½¼þºÃ±Èº¹ÏÙ¡¢Æ¤Ö¬ÏÙÄܱ¬·¢Ðí¶àµÄÉøÍ¸¹¦Ð§£¬ £¬ £¬£¬£¬Òò´Ë£¬ £¬ £¬£¬£¬ÉÏÆ¤×éÖ¯ÔÚÆ¤·ôÆ÷¹ÙµÄ¹¦Ð§ÖÐʩչ×ÅÖ÷ÒªµÄ×÷Óᣡ£¡£¡£¡£¡£¡£¡£
     Æ¤·ôÆ÷¹ÙÖеĽáµÞ×éÖ¯°üÀ¨±íƤ»ùµ×Ĥ¡¢ÕæÆ¤×éÖ¯¡¢Æ¤ÏÂ×éÖ¯¡¢ÑªÒº¡£¡£¡£¡£¡£¡£¡£¡£Ö÷ÒªÆðµæ³ÄƤ·ô¸½¼þ¡¢Ö§³ÖƤ·ô±íƤ¡¢±£»£»£» £»£»£» £» £»¤»úÌåµÈ×÷Óᣡ£¡£¡£¡£¡£¡£¡£
     Æ¤·ôÆ÷¹ÙÖеÄÉñ¾­×éÖ¯Ö÷ÒªÊÇÉñ¾­ÏËάºÍÖÖÖÖÉñ¾­Ð¡Ì壬 £¬ £¬£¬£¬¾ßÓнÓÊܴ̼¤ºÍ´«µ¼Ð˷ܵĹ¦Ð§£¬ £¬ £¬£¬£¬ÊÇÆ¤·ô¼°Æ¤·ô¸½¼þÔ˶¯µÄ¹¦Ð§µ¥Î»¡£¡£¡£¡£¡£¡£¡£¡£
     Æ¤·ôÆ÷¹ÙÖеļ¡Èâ×éÖ¯Ö÷Òª°üÀ¨Ñª¹Üƽ»¬¼¡¡¢º¹Ã«Á¢Ã«¼¡ÒÔ¼°º¹ÏÙÖÜΧµÄ¼¡Ï¸°û£¬ £¬ £¬£¬£¬Õý³£Æ¤·ôÄڵļ¡Èâ×éÖ¯ÔÚÊܵ½´Ì¼¤ÐźÅʱ»á±¬·¢ÏìÓ¦µÄËõ¶Ì·´Ó¦£¬ £¬ £¬£¬£¬Ò²¿ÉËæÆ¤·ôÆ÷¹Ù×ÔÉíºÍ»úÌå×ÔÉíµÄÌåÒºµ÷Àí±¬·¢Ëõ¶Ì·´Ó¦¡£¡£¡£¡£¡£¡£¡£¡£
     ÎÒÃÇÒªÏëʵÏÖÕý³£¡¢·ÇËðÉËÐÔÆ¤·ôµÄÔÙÉú»Ø¸´£¬ £¬ £¬£¬£¬±ØÐèÊ×ÏÈÆô¶¯ÉÏÊöÔ­ÓÐÆ¤·ôÖÐËÄ´ó×éÖ¯µÄԭλ×Ô¶¯ÔÙÉú¸üУ¬ £¬ £¬£¬£¬´ÓÊÖÒÕÄѶÈÉÏÀ´ËµÒª±ÈËðÉËÐÔÆ¤·ôÔÙ»Ö¸´ÒªÄÑ¿°¶à£¬ £¬ £¬£¬£¬ÓÉÓÚËðÉËÐÔµÄÆ¤·ô£¬ £¬ £¬£¬£¬¿ÉÒÔͨ¹ýÔÙÉúÈÃËüÖØÐÂÉú³¤£¬ £¬ £¬£¬£¬µ«ÐàÂõƤ·ôµÄϸ°û»¹ÔÚ£¬ £¬ £¬£¬£¬ÔõÑùÈÃËü¸üгÉÄêÇáµÄÊÇÒ»´óеÄÄÑÌâ¡£¡£¡£¡£¡£¡£¡£¡£¿ÉÊÇ£¬ £¬ £¬£¬£¬ÎÒÃÇÏÖÔÚÖÕÓÚÀÖ³ÉÁË£¬ £¬ £¬£¬£¬¿ÉÒÔÈ÷ÇËðÉËÐÔµÄÆ¤·ô¡¢Î¸³¦¡¢Î¸³¦Õ³Ä¤ËùÓÐʵÏÖԭλÔÙÉú¸üУ¬ £¬ £¬£¬£¬ÊÂʵ֤ʵ£¬ £¬ £¬£¬£¬½ÓÊÜÔÙÉú»Ø¸´ÔÙÍâÐÐÒÕµÄËùÓÐÈ˶¼»ñµÃÁËͬÑùµÄ¿ÉϲЧ¹û£¬ £¬ £¬£¬£¬Õ³Ä¤ÄÜÖØÐÂԭλÔÙÉú³öÀ´£¬ £¬ £¬£¬£¬Æ¤·ôÖð½¥ÖÕÖ¹ÐàÂõ²¢»Ö¸´ÄêÇáµÈµÈ¡£¡£¡£¡£¡£¡£¡£¡£ÓÉÓÚÆ¤·ô´¦ÔÚÍâÇéÐÎÖÐÊܵ½µÄ´Ì¼¤±È賦¸ü´ó£¬ £¬ £¬£¬£¬¼Ó֮Ƥ·ôÆ÷¹ÙµÄÐÄÀíÌØÊâÐÔ£¬ £¬ £¬£¬£¬²¢ÇÒÆ¤·ô½Ó´¥µÄÎïÖÊÓÉÓÚѪ¹ÜµÄ¹¦Ð§ÎÊÌ⣬ £¬ £¬£¬£¬Ò»Ð©¾ßÓа뿹ԭÐÔµÄÒòËØÏÕЩÎÞ·¨ÎüÊÕ£¬ £¬ £¬£¬£¬ÒÔÊÇÎÒÃÇ¶ÔÆ¤·ôÆ÷¹ÙµÄÔÙÉú½ÓÄÉÁËÍâÔ´ÐÔµ¼ÈëºÍÄÚÔ´ÐÔ¿Ú·þÏàÍŽáµÄÒªÁì¡£¡£¡£¡£¡£¡£¡£¡£ËäÈ»½öÍâÔ´ÐÔÔÙÉúÎïÖʾÍÄÜÆðµ½ºÜºÃµÄ×÷Ó㬠£¬ £¬£¬£¬µ«¼ÓÉÏÄÚÔ´ÐÔÔÙÉúÎïÖʾÍÄÜʹƤ·ôÆ÷¹Ùԭλ×ÔÎÒ¸üкÍ×ÔÎÒÔÙÉú»Ø¸´ÐàÂõµÄ×éÖ¯¡£¡£¡£¡£¡£¡£¡£¡£
     ¡¾ÔÙÉúÎïÖÊÓë½áµÞ×éÖ¯µÄ¹ØÏµ¡¿
     ±¾½ÚÕë¶ÔƤ·ôÆ÷¹ÙºÍÆäÖеÄÉÏÆ¤×éÖ¯¡¢½áµÞ×éÖ¯µÈÕâЩ»ù´¡µÄ×é֯ѧ֪ʶ¾ÙÐÐÐðÊö¡£¡£¡£¡£¡£¡£¡£¡£¸÷È˶¼Ó¦ÊìϤ£¬ £¬ £¬£¬£¬±íƤÄÚ´Ó»ùµ×ĤÒÔÉϵͼÊÇÉÏÆ¤×éÖ¯£¬ £¬ £¬£¬£¬ÓÉ±íÆ¤»ùÄÚÇé°û²ãÑÓÉìµ½ÕæÆ¤ÄÚÀïµÄƤ·ô¸½¼þ£¬ £¬ £¬£¬£¬ºÃ±Èº¹ÏÙ¡¢Æ¤Ö¬ÏÙ£¬ £¬ £¬£¬£¬Ò²ÊÇÉÏÆ¤×éÖ¯,Äܱ¬·¢Ðí¶àµÄÉøÍ¸¹¦Ð§¡£¡£¡£¡£¡£¡£¡£¡£ÕæÆ¤ÄÚÓнáµÞ×éÖ¯¼°Æ¤·ô¸½¼þ£¬ £¬ £¬£¬£¬½áµÞ×éÖ¯ÓжàÖÖ£¬ £¬ £¬£¬£¬ÓÐÅþÁ¬µÄ£¬ £¬ £¬£¬£¬Óеæ³ÄÖ§³ÖµÄ£¬ £¬ £¬£¬£¬ÓкϳÉÏËάµÄµÈ¡£¡£¡£¡£¡£¡£¡£¡£¶ø½áµÞ×éÖ¯µÄ¹¦Ð§¾ÍÊÇÅþÁ¬µæ³Ä£¬ £¬ £¬£¬£¬ËùÓÐÆ÷¹ÙÄÚÀï¶¼º¬ÓÐÕâЩ×éÖ¯¡£¡£¡£¡£¡£¡£¡£¡£
     ÎªÊ²Ã´Èø÷ÈËÏÈÏàʶƤ·ôÄÚµÄ×éÖ¯ÒòËØ£¿£¿£¿£¿ £¿£¿ £¿ÓÉÓÚÎÒËù˵µÄÔÙÉúÓëÕâЩ×éÖ¯¹ØÏµÇ×½ü¡£¡£¡£¡£¡£¡£¡£¡£ÎÒÃÇ´ÓÍâÔ´ÐԵĵ¼ÈëÔÙÉúÎïÖʱ¬·¢µÄÔÙÉúЧ¹û¿´£¬ £¬ £¬£¬£¬ÔÙÉúÓªÑøºóƤ·ôÖð½¥±¥ÂúÆðÀ´£¬ £¬ £¬£¬£¬ÇÒЧ¹ûºÜÊÇÏÔ×Å£¬ £¬ £¬£¬£¬µ«ÕâÁ¬Ã¦Õ¹Ïֵı¥Âú»¹²»ÊÇϸ°ûÔÙÉú±¬·¢µÄЧ¹û£¬ £¬ £¬£¬£¬¶øÊÇÔÙÉúÎïÖÊÓëÏÖÓеĽáµÞ×éÖ¯ÈÚºÏת±äµÄ¹ØÏµ¡£¡£¡£¡£¡£¡£¡£¡£ÎÒÃÇͨ¹ýÑõÆøµÄѹÁ¦£¬ £¬ £¬£¬£¬°ÑÎÒÃÇÕâÖÖÔÙÉúÎïÖʵ¼Èëµ½ÕæÆ¤À £¬ £¬£¬£¬Ëü¾Í³äÂúµ½½ºÔ­ÂѰ×˿֮¼ä£¬ £¬ £¬£¬£¬¶ø½ºÔ­ÂѰ×Ë¿±£´æÓÚ¾ßÓÐÅþÁ¬¡¢µæ³ÄÖ§³Ö¹¦Ð§µÄ½áµÞ×éÖ¯ÖУ¬ £¬ £¬£¬£¬ÔÙÉúÎïÖÊÓë½áµÞ×éÖ¯ÈÚºÏÔÚÒ»Æð£¬ £¬ £¬£¬£¬Æ¤·ôÁ¬Ã¦±¥ÂúÁË¡£¡£¡£¡£¡£¡£¡£¡£ÓÐЩҽѧÕûÐÎÃÀÈÝ£¬ £¬ £¬£¬£¬Ö±½Ó½«½ºÔ­µÈ×¢ÈëÆ¤Ï£¬ £¬ £¬£¬£¬ËäÈ»´ÓÍâòÉÏ¿´ÆðÀ´Æ¤·ôÒ²±¥ÂúÁË£¬ £¬ £¬£¬£¬µ«ÏÖʵÉϲ¢Ã»Óб»ÈËÌåÎüÊÕ£¬ £¬ £¬£¬£¬¶ø³ÉΪÒìÎïÔÚÌåÄÚÐγÉһö׼ʱըµ¯£¬ £¬ £¬£¬£¬ËæÊ±¶¼¿ÉÄܶÔÈËÌ屬·¢Î£º¦¡£¡£¡£¡£¡£¡£¡£¡£¶øzotyÖÐÅ·ÌåÓýÔÙÉúÎïÖʵ¼ÈëÕæÆ¤ÒÔºó¾ÍºÍÕæÆ¤ÄÚÀïµÄ½áµÞ×éÖ¯ÈÚºÏÁË¡£¡£¡£¡£¡£¡£¡£¡£Æ¤·ô½áµÞ×éÖ¯°üÀ¨ÁËÏËά¡¢Ï¸°ûÍâ¼äÖʵÈ£¬ £¬ £¬£¬£¬µ«²»Êǹ¦Ð§µ¥Î»£¬ £¬ £¬£¬£¬Ëü90%µÄÒòËØÊÇÖ¬·¾Ëá¡£¡£¡£¡£¡£¡£¡£¡£ËäÈ»³ÉÏËάϸ°û±¬·¢µÄ½ºÔ­ÂѰ×Ë¿ÊÇÒÔ°±»ùËáΪÖ÷£¬ £¬ £¬£¬£¬µ«Ò²±ØÐèÍŽáÖ¬·¾Ëá²Å»ªÐγɡ£¡£¡£¡£¡£¡£¡£¡£½ºÔ­ÂѰ×Ë¿²»ÓëÍâÔ´½ºÔ­ÂѰ×ÖÊ͎ᣬ £¬ £¬£¬£¬²»ÊÇ˵°Ñ½ºÔ­ÂѰ׷ÅÔÚÆ¤·ôÄÚ¾ÍÄÜÐγÉË¿£¬ £¬ £¬£¬£¬¶øÊÇÕâÖÖ½ºÔ­ÂѰ×Ë¿±ØÐèͨÏ꾡°ûµÄÉúÎï×ÔÎҺϳɲÅÐУ¬ £¬ £¬£¬£¬½èÓÃÈκÎÍâÔ´ÐÔµÄÊֶκñÈÒûʳֱ½ÓÉãÈë¸ßÂѰ׵ȶ¼Ã»Óв½·¥Ö±½ÓÌìÉú¡£¡£¡£¡£¡£¡£¡£¡£ÔÙÕߣ¬ £¬ £¬£¬£¬ÈôÊÇ´ÓÆ¤·ôÍâÃæÖ±½Óµ¼ÈëÂѰ×ÖÊ£¬ £¬ £¬£¬£¬ÕâЩÂѰ×Öʼ´±ãÄܹ»½øÈëÆ¤Ï£¬ £¬ £¬£¬£¬Ò²±ØÐèÊ×ÏÈÆÊÎö³É°±»ùËá²Å¿ÉÄܱ»ÎüÊÕºÍʹÓ㬠£¬ £¬£¬£¬¿ÉÊÇ£¬ £¬ £¬£¬£¬ÔÚÕý³£ÇéÐÎϰ±»ùËᱻϸ°ûʹÓÃÊÇÓÐÌõ¼þÏÞÖÆµÄ£¬ £¬ £¬£¬£¬ÒªÆ¾Ö¤Ï¸°ûµÄÐÄÀíÐèÇóµ¼È룬 £¬ £¬£¬£¬²»ÊÇÒ»¸ö¼òÆÓµÄÎïÀíÀú³Ì£¬ £¬ £¬£¬£¬Òò´Ë£¬ £¬ £¬£¬£¬Ö±½Óµ¼ÈëÂѰ×ÖÊÒ²ÊDz»¿ÉÐеġ£¡£¡£¡£¡£¡£¡£¡£×é³É½ºÔ­ÂѰ׵ݱ»ùËáÓÐ18ÖÖ£¬ £¬ £¬£¬£¬ÕâЩ°±»ùËáҪʩչ»îÐÔ£¬ £¬ £¬£¬£¬±ØÐèÒªÓÐÔØÌ壬 £¬ £¬£¬£¬Õâ¸öʹËû¾ßÓлîÐÔµÄÔØÌå¾ÍÊÇÎÒÃÇҪǿµ÷µÄÎïÖÊ¡ª¡ª¡°Ö¬·¾ËáÀàÎïÖÊ¡±(Ƥ·ôÔÙÉúÎïÖÊ)£¬ £¬ £¬£¬£¬ ¡°Ö¬·¾ËáÀàÎïÖÊ¡±ÊÇÒ»×é²»±¥ºÍÖ¬·¾Ëá¡£¡£¡£¡£¡£¡£¡£¡£ÕâÏîÊÖÒÕÊÇÎÒÃÇ·¢Ã÷µÄ£¬ £¬ £¬£¬£¬ËüµÄȪԴ·ÇͬѰ³££¬ £¬ £¬£¬£¬ÊÇÎÒÃÇÆ¾Ö¤Æ¤·ô×é֯ѧºÍÆ÷¹ÙÔÙÉúѧµÄʵÑéÑо¿³öÀ´µÄ¡£¡£¡£¡£¡£¡£¡£¡£
     ÕâЩ½áµÞ×éÖ¯ÊÇÕæÆ¤µÄÖ÷Òª×é³ÉÒòËØ£¬ £¬ £¬£¬£¬±ØÐèÓªÑøºÃ²Å»ª»Ø¸´ÎªÄêÇá״̬¡£¡£¡£¡£¡£¡£¡£¡£ÒªÊ¹ÕâЩ½ºÔ­ÂѰ×Ë¿»Ö¸´ÕûÆëÓÐÐò£¬ £¬ £¬£¬£¬±ØÐèͨ¹ýÁ½¸ö;¾¶£¬ £¬ £¬£¬£¬Ò»¸ö;¾¶Ö±½Óͨ¹ýƤ·ôµ¼È룬 £¬ £¬£¬£¬ÓÃÁ½¸ö´óÆøÑ¹µÄ¸ßѹÑõÆøµ¼ÈëÕâÖÖ²»±¥ºÍÖ¬·¾Ëᣬ £¬ £¬£¬£¬ÈÃËü¼ÓÈëµ½ÕæÆ¤½áµÞ×éÖ¯´úлÄÚÀ £¬ £¬£¬£¬¿ÉÒÔÁ¢×ÝÈ»ËÉÉ¢µÄ½áµÞ×éÖ¯ºÍÏËά³ÉÊø£¬ £¬ £¬£¬£¬ÒÔÊÇÌåÑé¹ýÎÒÃÇÆ¤·ôÆ÷¹ÙԭλÔÙÉú»Ø¸´ÔÙÉúµÄÈ˶¼»á·¢Ã÷ÔÙÉúÎïÖʵ¼Èëºó»áÂíÉÏÊÕЧ¡£¡£¡£¡£¡£¡£¡£¡£ÁíÒ»¸ö;¾¶ÊÇͨ¹ýÔÙÉúÎïÖʱ»³ÉÏËάϸ°û²Ïʳºó£¬ £¬ £¬£¬£¬Ê¹³ÉÏËάϸ°ûԭλÔÙÉú»Ø¸´ÏòÄêÇá״̬¹ý¶É£¬ £¬ £¬£¬£¬Ê¹±¬·¢µÄ½ºÔ­ÏËάÂѰ×˿ͳöºó²»ÔÙ³ÉÉ¢×´µÄ£¬ £¬ £¬£¬£¬¶øÊÇÖØÐ³ÉÊø×´µÄ£¬ £¬ £¬£¬£¬ÕâÑù²Å»ª°ü¹ÜƤ·ôÔÚÖÐÄêʱÆÚ·ºÆðÒ»ÖÖÄêÇáµÄ״̬¡£¡£¡£¡£¡£¡£¡£¡£
¡¾ÔÙÉúÎïÖÊÓëÆ¤·ôÉñ¾­×éÖ¯µÄ¹ØÏµ¡¿
     ¾öÒ鯤·ôµÄ״̬ÄêÇáÓë·ñ³ýÁËÒÔÉÏÁ½¸öÖ÷ÒªµÄ·½Ã棬 £¬ £¬£¬£¬ÁíÒ»¸ö¾ÍÊÇÆ¤·ô¸½¼þºÍÉñ¾­×éÖ¯¡£¡£¡£¡£¡£¡£¡£¡£ÈôÊÇÆ¤·ôÆ÷¹ÙÄÚÀïµÄÉñ¾­×éÖ¯²»Ê¼ÖÕ¼á³ÖÒ»ÖÖÐËÍú״̬£¬ £¬ £¬£¬£¬Æ¤·ôҲûÓлîÁ¦¡£¡£¡£¡£¡£¡£¡£¡£Æ¤·ôµÄÉñ¾­×éÖ¯ËäÈ»²»ÊÇÖÐÊàÉñ¾­£¬ £¬ £¬£¬£¬¿ÉÊÇÓÐÉñ¾­ÏËά¡¢Éñ¾­Ä©ÉÒ¡¢Ñ¹¾õÉñ¾­Ð¡Ìå¡¢¸ÐÊÜÉñ¾­Ð¡Ìå¡£¡£¡£¡£¡£¡£¡£¡£Ö»ÒªÕâЩÉñ¾­×éÖ¯Äܼá³ÖÎÞа״̬£¬ £¬ £¬£¬£¬ÈËµÄÆ¤·ô¾Í»áÓж¯¸Ð£¬ £¬ £¬£¬£¬ÒÔÊÇ£¬ £¬ £¬£¬£¬ÎÒÃÇÔÚ¾ÙÐÐÆ¤·ôÆ÷¹ÙÔÙÉú»Ø¸´Ê±µ¼ÈëµÄÔÙÉúÎïÖÊÄÚÀïÒ²º¬ÓÐÓªÑøÉñ¾­µÄÎïÖÊ£¬ £¬ £¬£¬£¬¿ÉÊÇÕâÖÖÎïÖʾø¶Ô²»ÊÇÐ˷ܼÁ£¬ £¬ £¬£¬£¬¶øÊÇͨ¹ýÉñ¾­µÄÔÙÉúÈÃÉñ¾­»Ö¸´¶¯¸Ð¡£¡£¡£¡£¡£¡£¡£¡£ÆäÖлָ´µÄÖ÷Ҫϸ°ûÊÇÑ©ÍúÊÏϸ°û£¬ £¬ £¬£¬£¬°ÑÄÜÈÃÑ©ÍúÊÏϸ°ûÔÙÉúµÄÒòËØÌí¼Óµ½Òªµ¼ÈëµÄÔÙÉúÎïÖÊÄÚÀï¡£¡£¡£¡£¡£¡£¡£¡£Ñ©ÍúÊÏϸ°û¾ÍÊÇÉñ¾­ÏËάÍâÃæ°üÈÆµÄÉñ¾­Ï¸°û£¬ £¬ £¬£¬£¬Ã»ÓÐÑ©ÍúÊÏϸ°û£¬ £¬ £¬£¬£¬Éñ¾­ÏËά¾Íʧȥ¹¦Ð§¡£¡£¡£¡£¡£¡£¡£¡£ÔÚÆ¤·ôÄÚÀïÒª¼á³ÖÉñ¾­Ä©ÉÒµÄÐË·ÜÐÔºÍÉñ¾­Ð¡ÌåµÄÐË·ÜÐÔ£¬ £¬ £¬£¬£¬¾ÍÔöÌíÔÚÊÔÑéÉñ¾­ÔÙÉúµÄʱ¼äÌáÈ¡À´µÄÓªÑøÔÙÉúÎïÖÊÒòËØ¡£¡£¡£¡£¡£¡£¡£¡£ÉúÑÄÖÐÍÆÄÃÒ²¿ÉÒÔ±¬·¢¸ÐÊÜÉñ¾­ºÍѹ¾õÉñ¾­´Ì¼¤£¬ £¬ £¬£¬£¬Ê¹È˸ÐÓ¦ºÜã«Ò⣬ £¬ £¬£¬£¬µ«ºã¾Ã´Ì¼¤¾Í»áʧȥЧ¹û£¬ £¬ £¬£¬£¬ÕâÊÇÓÉÓÚÕâÖÖÉúÑÄÃÀÈݲ¢Ã»ÓжÔÉúÃüÌå×Ô¼º¸Ä±äʲô¡£¡£¡£¡£¡£¡£¡£¡£Òò´Ë£¬ £¬ £¬£¬£¬ÎÒÃÇ˵ҪÈÃÉñ¾­¶¯ÆðÀ´£¬ £¬ £¬£¬£¬ÈÃÆäÐË·Ü£¬ £¬ £¬£¬£¬µ«ÕâÖÖÐ˷ܲ»ÊÇÄÇÖÖҩѧµÄÐË·ÜÐÔ£¬ £¬ £¬£¬£¬¶øÊÇÐÄÀíµÄÔÙÉú»Ö¸´µÄÐË·ÜÐÔ£¬ £¬ £¬£¬£¬Ò²¾ÍÊÇÓÃͨÏ꾡°ûºÍ×éÖ¯Æ÷¹ÙÊÔÑé»ñµÃµÄÔÙÉúÎïÖÊ£¬ £¬ £¬£¬£¬²Å»ªÕæÕýʹÆä»Ö¸´Ê©Õ¹ÐÄÀí×÷Óᣡ£¡£¡£¡£¡£¡£¡£

     ¡¾Æ¤·ô¼¡Èâ×éÖ¯ÔÙÉúÓëÆ¤·ôÔÙÉú»Ø¸´µÄ¹ØÏµ¡¿
      ¼¡Èâ×éÖ¯ÔÚÆ¤·ôÖÐÖ÷ÒªÊǺ¹Ã«Á¢Ã«¼¡ºÍѪ¹Ü±ÚµÄƽ»¬¼¡£¬ £¬ £¬£¬£¬¼¡ÈâºÍÉñ¾­ÊÇÁ¬ÔÚÒ»ÆðµÄ£¬ £¬ £¬£¬£¬Ò»Ð©¸ÐÊÜÉñ¾­¡¢Ñ¹Á¦Éñ¾­µÄÉñ¾­Ä©ÉÒ£¬ £¬ £¬£¬£¬ÔÚ±¬·¢ÐÅÏ¢´«¸ø´óÄÔºó£¬ £¬ £¬£¬£¬´óÄÔ×ÔÉí£¬ £¬ £¬£¬£¬»òÖ¸»ÓÆäËûÆ÷¹Ù±¬·¢ÖÖÖÖ¼¤ËØ£¬ £¬ £¬£¬£¬ÕâЩ¼¤ËØÍ¨¹ýÌåҺѭ»·µÖ´ïƤ·ô£¬ £¬ £¬£¬£¬Ê¹Æ¤·ôÄð³ÉÀàËÆÓÚÈËÉñ²ÉÞÈÞȵÄ״̬¡£¡£¡£¡£¡£¡£¡£¡£ÕâÖ÷ÒªÌåÏÖÔÚÆ¤·ôµÄ΢ѭ»·ÉÏ£¬ £¬ £¬£¬£¬ºÃ±ÈÉúÆøµÄʱ¼äÃæ²¿ÑÕÉ«µÄת±ä¾ÍÊÇ´óÄÔ±¬·¢µÄÐ˷ܼ¤ËضÔѪ¹ÜµÄ·´Ó¦£¬ £¬ £¬£¬£¬Ñª¹ÜÓЦÁºÍ¦ÂÊÜÌ壬 £¬ £¬£¬£¬¦ÂÊÜÌåʹѪ¹ÜÀ©ÕÅ£¬ £¬ £¬£¬£¬½ÓÊܼ¤ËغóÃæÉ«±äºì£»£»£» £»£»£» £» £»¦ÁÊÜÌåʹѪ¹ÜËõ¶Ì£¬ £¬ £¬£¬£¬½ÓÊܼ¤ËغóÃæÉ«±ä°×¡£¡£¡£¡£¡£¡£¡£¡£ÕâÁ½ÖÖÊÜÌå¿¿ÌåÒºÖ§Å䣬 £¬ £¬£¬£¬²»ÊÇͨ¹ý¾Ö²¿´Ì¼¤¿ÉÒÔ±¬·¢µÄ¡£¡£¡£¡£¡£¡£¡£¡£¸÷È˳£¼ûµ½µÄÄÇÖÖÆ¤·ô±»ÅÄ´òʺó£¬ £¬ £¬£¬£¬¾Ö²¿»á±äºì£¬ £¬ £¬£¬£¬Äǿɲ»ÊÇÕâÖÖÔµ¹ÊÔ­ÓÉÔì³ÉµÄ£¬ £¬ £¬£¬£¬¶øÊǾֲ¿ÓÐÁËËðÉË¡£¡£¡£¡£¡£¡£¡£¡£ÒÔÊÇÎÒÃÇÔÚÆ¤·ôÔÙÉúµÄʱ¼äÒ²ÒªÌØÊâ×¢ÖØÆ¤·ô¼¡Èâ×éÖ¯¡¢Ñª¹Ü×éÖ¯µÄ·´Ó¦¡£¡£¡£¡£¡£¡£¡£¡£

      ÁíÍ⣬ £¬ £¬£¬£¬Æ¤·ôÄÚÀïÓк¹Ã«Á¢Ã«¼¡£¬ £¬ £¬£¬£¬Õ⺹ëÁ¢Ã«¼¡ÊÇÆ¤·ô¾ßÓж¯¸ÐµÄÓÖÒ»¾öÒéÒòËØ¡£¡£¡£¡£¡£¡£¡£¡£¼¡ÈâÀ­¶¯ÊÇÒ»ÖÖÆ¤·ô¶¯Ì¬µÄת±ä£¬ £¬ £¬£¬£¬Á¢Ã«¼¡Ëõ¶Ì²»µ«ÄÜÉøÍ¸Æ¤Ö¬ÏÙÀïµÄ¹¤¾ß£¬ £¬ £¬£¬£¬»¹¿ÉÒÔµ÷ÀíÆ¤·ô¹ØÓÚÍâ½çÇéÐεĴ̼¤·´Ó¦¡£¡£¡£¡£¡£¡£¡£¡£º¹Ã«Á¢Ã«¼¡ÆðʼÓÚë¸ÉµÄÖжË£¬ £¬ £¬£¬£¬ÖÕÖ¹ÓÚÕæÆ¤ÈéÍ·²ãdz²¿¡£¡£¡£¡£¡£¡£¡£¡£Æ¤Ö¬ÏÙÊDZ¬·¢Æ¤Ö¬µÄ(ͼ1)£¬ £¬ £¬£¬£¬Á¢Ã«¼¡Ëõ¶Ì±¬·¢¼·Ñ¹£¬ £¬ £¬£¬£¬Æ¤Ö¬ÏÙ¾ÍÇãÔþƤ֬¡£¡£¡£¡£¡£¡£¡£¡£ÀýÈç·Û´ÌÊÇÓÉÓÚº¹Ã«Á¢Ã«¼¡´¦ÓÚ²»ÐË·Ü״̬£¬ £¬ £¬£¬£¬Æ¤Ö¬±¬·¢¹ý¶àÓÖÉøÍ¸²»³©¶øÔì³É¹£Èû¡£¡£¡£¡£¡£¡£¡£¡£Æ¤·ôÀïÉÐÓÐÒ»ÖÖ¼¡Ï¸°û£¬ £¬ £¬£¬£¬ËüÂþÑÜÔÚº¹ÏÙÖÜΧ£¬ £¬ £¬£¬£¬¼¡Ï¸°ûÔÚÊܵ½Íâ½ç´Ì¼¤»òÊܵ½»úÌåÄÚÌåÒºÐźÅËõ¶ÌʱÈ˾ͻá³öº¹¡£¡£¡£¡£¡£¡£¡£¡£ÒÔÊÇʵÏÖÆ¤·ô¼¡Èâ×éÖ¯µÄԭλÔÙÉú£¬ £¬ £¬£¬£¬¼á³Ö¼¡ÈâÄêÇá״̬£¬ £¬ £¬£¬£¬²ÅÊǰü¹ÜƤ·ôÄêÇá״̬µÄ»ù´¡¡£¡£¡£¡£¡£¡£¡£¡£
     ¡¾ÔÙÉúÎïÖÊÓëÆ¤·ô×éÖ¯Æ÷¹Ù¡¿
     ÎÒÃÇ2002Äê°ÑÕûСÎÒ˽¼ÒÌåµÄ×éÖ¯£¨ÉÏÆ¤×éÖ¯¡¢½áµÞ×éÖ¯¡¢Éñ¾­×éÖ¯¡¢¼¡Èâ×éÖ¯£©ÐγɵÄ×éÖ¯Æ÷¹Ù»®·ÖΪÖÁÉÙ206À࣬ £¬ £¬£¬£¬Æä·ÖÀàÒÀ¾ÝÊÇϸ°ûÖֱ𣬠£¬ £¬£¬£¬ÌØÊâÊÇ´ÓÆ÷¹ÙÔÙÉúµÄϸ°ûѧ½Ç¶È»®·ÖµÄ¡£¡£¡£¡£¡£¡£¡£¡£È˵Ä×éÖ¯·ÖÀà¾ÍËÄ´ó×éÖ¯£¬ £¬ £¬£¬£¬ËÄ´ó×éÖ¯ÄÚÀïÓÖÓÐÐí¶àÖÖÀ࣬ £¬ £¬£¬£¬Èç¹Ç÷À¼¡¡¢Ðļ¡¡¢Æ½»¬¼¡µÈµÈ¼¡Èâ×éÖ¯£»£»£» £»£»£» £» £»¹Ç÷À¡¢ÈÍ´ø¶¼ÊǽáµÞ×éÖ¯£¬ £¬ £¬£¬£¬½áµÞ×éÖ¯Ò²·ÖÐí¶àÀàÐÍ£¬ £¬ £¬£¬£¬ÓÐËÉÉ¢µÄ¡¢ÓÐÖÂÃܵÄ£¬ £¬ £¬£¬£¬Æ¤·ôÊÇËÉÉ¢µÄ½áµÞ×éÖ¯£¬ £¬ £¬£¬£¬Ò²ÕýÓÉÓÚÆ¤·ôÊÇËÉÉ¢µÄ½áµÞ×éÖ¯£¬ £¬ £¬£¬£¬ÒÔÊÇÎÒÃDzŻª¹»Í¨¹ýÍâÔ´ÐԵĵ¼ÈëÔÙÉúÓªÑøÎïÖʶøÊ¹Æ¤·ô¸üÓе¯ÐÔ(ͼ2)¡£¡£¡£¡£¡£¡£¡£¡£ÒªÏëʵÏÖÆ¤·ôÆ÷¹ÙÖÐµÄ±íÆ¤¡¢ÕæÆ¤¡¢ÕæÆ¤µÄ¸½¼þ¡¢¼¡È⡢Ѫ¹Ü¡­¡­µÈËùÓÐԭλ¸üУ¬ £¬ £¬£¬£¬¾Í±ØÐèÒªÖÜÈ«µÄÔÙÉúÆô¶¯£¬ £¬ £¬£¬£¬¼´µ¼ÈëµÄÎïÖʱØÐèʹËùÓÐ×éÖ¯ËùÓд¦ÓÚÔÙÉú״̬¡£¡£¡£¡£¡£¡£¡£¡£
     ¹ØÓÚÒÔÉÏÕâЩ½áÂÛÎÒÃǺÜÊÇÓÐÕÆÎÕ£¬ £¬ £¬£¬£¬ÓÉÓÚÎÒÃÇÓÐ20¶àÄêµÄƤ·ôÔÙÉúÁÙ´²ÂÄÀú¡£¡£¡£¡£¡£¡£¡£¡£zotyÖÐÅ·ÌåÓýʪÈóÉÕÉ˸ಢ²»ÊÇÒ»ÏÂ×Ó¾ÍÑо¿³öÀ´µÄ£¬ £¬ £¬£¬£¬´Ó×îÏȵĴ´ÃæÊªÈóµ½Ò»Ñùƽ³£µÄ´´ÃæÓúºÏ£¬ £¬ £¬£¬£¬½Ó×ŵ½Éî¶þ¶ÈïÔÌ­°ÌºÛÓúºÏ£¬ £¬ £¬£¬£¬ÔÙµ½Éî¶þ¶ÈÓúºÏÎް̺Û£¬ £¬ £¬£¬£¬´ËºóÓÖÉú³¤µ½Èý¶ÈÉÕÉËÄÜÓúºÏÓа̺Û£¬ £¬ £¬£¬£¬ÔÙµ½Èý¶ÈÉÕÉËÓúºÏÎް̺Û£¬ £¬ £¬£¬£¬ÒÔºóÓÖÏ£Íûµ½²»µ«½öÊÇÆ¤·ôÉÕÉË£¬ £¬ £¬£¬£¬²¢ÇÒÉ˼°µ½¼¡Èâ¹Ç÷À£¬ £¬ £¬£¬£¬¶¼Äܹ»ÊµÏÖÆ¤·ôÔÙÉú£¬ £¬ £¬£¬£¬Ö»ÒªÓйÇÍ·ÔÚ£¬ £¬ £¬£¬£¬¾ÍÄÜʹÈí×éÖ¯ºÍƤ·ôÔÙÉú³öÀ´ £¬ £¬ £¬£¬£¬Õâôһ²½Ò»²½×ß¹ýÀ´µÄ¡£¡£¡£¡£¡£¡£¡£¡£ÒÔÊÇ£¬ £¬ £¬£¬£¬´ÓƤ·ôµÄÍâò×îÏÈ£¬ £¬ £¬£¬£¬Ò»²½Ò»²½µ½×îºóʵÏÖ£¬ £¬ £¬£¬£¬ÓÃÒ»¸öϸ°û¸´ÖÆÔÙÉú³öËùÓеÄϸ°û¡£¡£¡£¡£¡£¡£¡£¡£ÔÚÕâ¸öÀú³Ìµ±ÖÐÎÒÃÇÒѾ­°ÑÕû¸öƤ·ôÆ÷¹ÙÔÙÉú³öÀ´ÁË£¬ £¬ £¬£¬£¬²¢ÐγÉÁËÆ¤·ôȱËðÔõÑùÔÙÉúµÄÀíÂÛºÍÊÖÒÕ¡£¡£¡£¡£¡£¡£¡£¡£È»ºóÔÙ˼Ë÷Õý³£µÄƤ·ôÔõÑùÔÙÉú£¬ £¬ £¬£¬£¬Õý³£Æ¤·ôµÄëϸѪ¹ÜÓÐһЩ´øÓа뿹ԭÐÔ£¬ £¬ £¬£¬£¬»ò´øÓÐÌØÒìÇãÔþÐÔ×Ó£¬ £¬ £¬£¬£¬Ò»Ð©ÎïÖʵ½Ã«Ï¸Ñª¹Ü¾Í±»×èÖ¹ÁË£¬ £¬ £¬£¬£¬ÎÞ·¨½øÈ룬 £¬ £¬£¬£¬Ö»ÄÜͨ¹ýÁܰÍϵͳ±»×ª»Ø£¬ £¬ £¬£¬£¬Òò´ËûÓв½·¥Í¨¹ýëϸѪ¹ÜµÄÎüÊÕÀ´ÓªÑøÏ¸°û¡£¡£¡£¡£¡£¡£¡£¡£Æ¤·ôºÍ±ðµÄÆ÷¹Ù·×ÆçÑù£¬ £¬ £¬£¬£¬ÓÐЩ´øÀàËÆ¿¹Ô­ÐÔ×ÓµÄÒòËØµÖ´ï²»ÁËϸ°û£¬ £¬ £¬£¬£¬ÒÔÊÇҪ͎áÍâÔ´ÐÔ×¢ÈëµÄÒªÁ죬 £¬ £¬£¬£¬ËäÈ»ÍâÔ´ÐÔÎïÖʵ¼ÈëÁ¿²»´ó£¬ £¬ £¬£¬£¬¿ÉÊǶ¼Äܹ»±»µ¼ÈëÕæÆ¤²ã¡£¡£¡£¡£¡£¡£¡£¡£(ͼ3)º¹ÏÙ¡¢Æ¤Ö¬ÏÙ¡¢Ã«ÄÒ¡¢Ã«·¢µÈÏÖʵÉÏ´ÓÅß̥ʱÆÚ¾ÍÊÇÓÉÒ»¸ö¸Éϸ°û·¢ÓýÀ´µÄ¡£¡£¡£¡£¡£¡£¡£¡£±íƤµÄ»ùÄÚÇé°ûÅŵúÜÕûÆë£¬ £¬ £¬£¬£¬¿´ÉÏÈ¥¶¼ÊÇÒ»¸ö¸öµÄ£¬ £¬ £¬£¬£¬ÏÖʵÉÏËüÃÇÊÇÒ»Á¬µÄ£¬ £¬ £¬£¬£¬Æ¤·ô±íƤµÄÉϰ벿·Ö¶¼ÊÇ¿¿»ùÄÚÇé°û·Ö½â¶øÀ´µÄ¡£¡£¡£¡£¡£¡£¡£¡£»£»£» £»£»£» £» £»ùÄÚÇé°ûÉÏÃæ¸÷²ã¿ÉÒÔ¶¼Ã»ÓУ¬ £¬ £¬£¬£¬µ«Õâ²ã»ùÄÚÇé°û±ØÐè±£´æ£¬ £¬ £¬£¬£¬Ö»ÒªÓÐÕâ²ãϸ°û£¬ £¬ £¬£¬£¬Æ¤·ôµÄÍâò¾Í»á»Ö¸´µÃÍêºÃÎÞË𡣡£¡£¡£¡£¡£¡£¡£Ò½Ñ§Éϳ£ËµµÄƤ·ôµÄÐÄÀíÐÔÔÙÉú¾ÍÊÇÖ¸±íƤ»ùÄÚÇé°û²ãÔÙÉúµÄ¿´·¨£¬ £¬ £¬£¬£¬Ö»ÒªÕâ²ãϸ°ûÔÚ£¬ £¬ £¬£¬£¬¾ÍÄÜ°Ñ±íÆ¤ÍâÃæ¸÷²ã¶¼ÔÙÉú³öÀ´¡£¡£¡£¡£¡£¡£¡£¡£±íƤµÄ×é³ÉÌõÀíÓÉÉî²ãµ½±í²ãÖ÷ÒªÊÇ»ùµ×²ã¡¢¼¬²ã¡¢¿ÅÁ£²ã£¬ £¬ £¬£¬£¬×îÉÏÃæÊǽÇÖʲ㡣¡£¡£¡£¡£¡£¡£¡£


     ¡¾Æ¤·ôԭλÔÙÉú»Ø¸´ÊÖÒյĻúÀí½¹µã¡¿
Ò»Ñùƽ³£µÄƤ·ôÃÀÈÝΪÁËÈÃÆ¤·ôÍâòÏÔµÃϸÄÛ£¬ £¬ £¬£¬£¬¾ÍÏ뾡²½·¥´ÓƤ·ôÍâòȥËÀƤ£¬ £¬ £¬£¬£¬ËÀƤȥµÃÔ½¶à£¬ £¬ £¬£¬£¬Æ¤·ô¾ÍÔ½±¡£¬ £¬ £¬£¬£¬ÍâòҲ¾Í»áԽƽ»¬¡¢ºìÈóºÍͨ͸£¬ £¬ £¬£¬£¬µ«ÏÖʵÉÏÕâÊÇÒ»ÖÖÆ¤·ôÊÜËðµÄÌåÏÖ£¬ £¬ £¬£¬£¬²¢Ã»ÓÐÕæÕýÆðµ½±£»£»£» £»£»£» £» £»¤Æ¤·ôµÄ×÷Óᣡ£¡£¡£¡£¡£¡£¡£ÓÉÓÚ£¬ £¬ £¬£¬£¬Æ¤·ôÒ»µ©ËðÉ˵½¼¬²ã»ò»ùÄÚÇé°û£¬ £¬ £¬£¬£¬¾Í»á·ºÆð³£¼ûµÄÃÀÈÝÎÊÌ⣬ £¬ £¬£¬£¬È绯ױƷ°ß¡¢É«ËØÀä¾²¡¢¼¤¹â°ÌºÛµÈµÈ¡£¡£¡£¡£¡£¡£¡£¡£
     ¶øÆ¤·ôÆ÷¹ÙԭλÔÙÉú»Ø¸´ÒªÇóʵÏÖ±íÆ¤´úлÐËÍú¡¢ÕæÆ¤½ôÖ±¥Âú£¬ £¬ £¬£¬£¬ÓÉÓÚÕæÆ¤ÏÂÃæº¬Óдó×ڵijÉÏËάϸ°û£¬ £¬ £¬£¬£¬¶ø³ÉÏËάϸ°û¿ÉÒÔ±¬·¢½ºÔ­ÏËάÂѰ×Ë¿¡£¡£¡£¡£¡£¡£¡£¡£½ºÔ­ÏËάÂѰ×Ë¿ÓÐÈýÖÖ£¬ £¬ £¬£¬£¬ÕæÆ¤µÄÉϲ¿Ö÷ÒªÊǽºÔ­ÏËά£¬ £¬ £¬£¬£¬Ëü½ÏÁ¿Ó²£¬ £¬ £¬£¬£¬Íø×´ÏËά´©²åÔÚÕæÆ¤Ï²¿£»£»£» £»£»£» £» £»µ¯Á¦ÏËά´©²åÔÚÖÖÖÖÏËά֮¼ä¡£¡£¡£¡£¡£¡£¡£¡£ÕâÄÚÀïµÄÈýÖÖÏËά£¬ £¬ £¬£¬£¬Ò»¸öÊǺá×ŵÄ£¬ £¬ £¬£¬£¬Ò»¸öÊÇÍø×´µÄ£¬ £¬ £¬£¬£¬Ò»¸öÔÚÄÚÀï¼ÐÔÓ×ÅÓе¯Á¦µÄ¡£¡£¡£¡£¡£¡£¡£¡£ÕâÈýÖÖÏËά¶¼Éæ¼°³ÉÏËάϸ°û£¬ £¬ £¬£¬£¬ÊǺÜÊÇÖ÷ÒªµÄ¡£¡£¡£¡£¡£¡£¡£¡£ÒªÏë½â¾öÕâÈýÖÖÏËάµÄÎÊÌ⣬ £¬ £¬£¬£¬±ØÐè°Ñ±¬·¢ÕâÈýÖÖÏËάµÄϸ°ûÑøºÃ£¬ £¬ £¬£¬£¬ÏËά²Å»ªÑøºÃ¡£¡£¡£¡£¡£¡£¡£¡£³ÉÏËάϸ°ûµÃ²»µ½ÓªÑø¾Í²»¿ÉÄܱ¬·¢¿µ½¡µÄÈýÖÖÏËά¡£¡£¡£¡£¡£¡£¡£¡£
     ÏÖÔÚµÄÉúÑÄÃÀÈÝ»ù±¾ÉÏÓëÓªÑøÕâЩÏËάûÓÐÈκιØÏµ£¬ £¬ £¬£¬£¬Ö÷ÒªÊÇÓÉÓÚËüûÓв½·¥½â¾öÉî²ãÓªÑøÎÊÌ⣬ £¬ £¬£¬£¬½ö½öʹƤ·ôÍâò±äµÃƽ»¬°ÕÁË¡£¡£¡£¡£¡£¡£¡£¡£zotyÖÐÅ·ÌåÓýƤ·ôÆ÷¹ÙÔÙÉú£¬ £¬ £¬£¬£¬¾ÍÄÜʵÏÖ³ÉÏËάϸ°ûÔÙÉú£¬ £¬ £¬£¬£¬³ÉÏËάϸ°û²»ÊÇÏËάϸ°û£¬ £¬ £¬£¬£¬³ÉÏËάϸ°û¿ÉÒÔ±¬·¢ÐÄÀíÐÔÏËάÂѰ×Ë¿£¬ £¬ £¬£¬£¬¶øÏËάϸ°ûÊÇÒ»ÖÖÀÏ»¯µÄ±äÒìµÄϸ°û¡£¡£¡£¡£¡£¡£¡£¡£ÈËµÄÆ¤·ôËæ×ÅÄêËêµÄÔöÌí¶øÀÏ»¯£¬ £¬ £¬£¬£¬¶ø³ÉÏËάϸ°û¹¦Ð§Ô½À´Ô½µÍÏ£¬ £¬ £¬£¬£¬×îºó¡°³ÉÏËάϸ°û¡±Äð³É¡°ÏËάϸ°û¡±£¬ £¬ £¬£¬£¬¾Í²»¿ÉÔÙ±¬·¢½ºÔ­ÂѰ×Ë¿ÁË£¬ £¬ £¬£¬£¬Ã»ÓнºÔ­ÂѰ×Ë¿µÄƤ·ô¾Í»áËúÏÝ¡£¡£¡£¡£¡£¡£¡£¡£zotyÖÐÅ·ÌåÓýƤ·ôÔÙÉú¾ÍÊÇÒª¼á³Ö³ÉÏËάϸ°ûµÄ¹¦Ð§£¬ £¬ £¬£¬£¬³ÉÏËάϸ°û¹¦Ð§Õý³££¬ £¬ £¬£¬£¬¾ÍÄÜÒ»Á¬×Ô¶¯±¬·¢ÁîÆ¤·ô³äÔ£µÄÏËάÂѰ×Êø¡£¡£¡£¡£¡£¡£¡£¡£ÎÒÃÇÔÚÆ¤·ôÆ÷¹ÙµÄÔÙÉú»Ø¸´ÉÏ£¬ £¬ £¬£¬£¬ÊÇÓÃÑõÆøµ¼ÈëµÄ²½·¥£¬ £¬ £¬£¬£¬½«º¬ÓÐÖÖÖÖÔÙÉúÓªÑøÒòËØµÄÔÙÉúÎïÖʵ¼ÈëÆ¤·ôÕæÆ¤ÄÚ¡£¡£¡£¡£¡£¡£¡£¡£ÕâЩÎïÖÊÔÚÕæÆ¤µÄÖÖÖÖ×éÖ¯ÄÚÀïÖ±½Óʩչ×÷Ó㬠£¬ £¬£¬£¬Ê¹½ºÔ­ÏËάÂѰ×Ë¿´Ó·ÇÊø×´¡¢É¢×´Äð³ÉÊø×´£¬ £¬ £¬£¬£¬°ÑÏËάÂѰ×Ö®¼äÌî³äµÃ½ÏÁ¿³äÔ£¡£¡£¡£¡£¡£¡£¡£¡£µ¼ÈëµÄÎïÖÊ´úлÖÜÆÚÊÇÒ»ÖÜÃÜÁ½ÖÜʱ¼ä£¬ £¬ £¬£¬£¬¹ýÁËÕâ¸öʱ¼ä¾Í×Ô¶¯´úлµôÁË¡£¡£¡£¡£¡£¡£¡£¡£±íƤϸ°ûµÄÔÙÉú¸üÐÂÒ²ºÜÖ÷Òª£¬ £¬ £¬£¬£¬µ«²»Èç³ÉÏËάϸ°ûÔÙÉú¸üÐÂÖ÷Òª£¬ £¬ £¬£¬£¬ÓÉÓÚ±íÆ¤»ùÄÚÇé°û×Ô¼º¾ÍÊǸÉϸ°û£¬ £¬ £¬£¬£¬×ÔÉí¾ÍÓÐÔÙÉú¹¦Ð§£¬ £¬ £¬£¬£¬Óò»±ØÔÙÉúÎïÖʶ¼¿ÉÔÙÉú£¬ £¬ £¬£¬£¬Ö»ÊÇÎÒÃÇÓÃÔÙÉúÎïÖÊÄÜÔöÇ¿²¢°ü¹ÜËüµÄ¸Éϸ°û¹¦Ð§£¬ £¬ £¬£¬£¬ÊµÏÖ±íÆ¤µÄÄêÇᣬ £¬ £¬£¬£¬µ«ÎÒÃDz¢Ã»ÓдÓϸ°ûÔÙÉúÊôÐÔÉϸıäËü¡£¡£¡£¡£¡£¡£¡£¡£ËäÈ»Õâ¸ö±íƤ¸Éϸ°ûÊǽÏÁ¿³õ¼¶µÄÒ»ÖÖ½üÖն˸Éϸ°û£¬ £¬ £¬£¬£¬µ«Ò²°ü¹ÜÁËÕû¸ö»ùÄÚÇé°û²ã½ÏÇ¿µÄ×ÔÎÒÐÞ¸´ÄÜÁ¦¡£¡£¡£¡£¡£¡£¡£¡£¾Ù¸öÀý×ÓÀ´Ëµ£¬ £¬ £¬£¬£¬¶ùͯµÄϸ°û¶¼ÊÇK15(½ÇÂѰ×15£¬ £¬ £¬£¬£¬Êý×ÖÔ½´óԽԭʼ)£¬ £¬ £¬£¬£¬Õâ¸öϸ°ûÉú·¢ÄÜÁ¦ºÜÇ¿£»£»£» £»£»£» £» £»Ò»¸ö90ËêµÄÀÏÈËÖ»ÓÐ5%µÄϸ°û¾ßÓлîÐÔ£¬ £¬ £¬£¬£¬95%¶¼Ã»ÓÐÉú·¢ÄÜÁ¦¡£¡£¡£¡£¡£¡£¡£¡£Õâ¾ÍÚ¹ÊÍÁËΪʲôÍíÄêÈËµÄÆ¤·ôËÉиÏ´¹£¬ £¬ £¬£¬£¬À­ÉìºóÎÞ·¨»Ö»Ø¸´×´£¬ £¬ £¬£¬£¬¾ÍÊÇÓÉÓÚ±íÆ¤µÄ»ùÄÚÇé°û´úлÂÊ»ù±¾Ã»ÓÐÁË£¬ £¬ £¬£¬£¬ÕæÆ¤ÖнºÔ­ÂѰ×Ë¿º¬Á¿ºÜÉÙ¡£¡£¡£¡£¡£¡£¡£¡£Í¬ÑùÔµ¹ÊÔ­ÓÉ£¬ £¬ £¬£¬£¬ÍíÄêÈËµÄ±íÆ¤Ï¸Äå¶ÈҲûÓÐÄêÇáÈ˺ᣡ£¡£¡£¡£¡£¡£¡£Ò»Ñùƽ³£À´Ëµ£¬ £¬ £¬£¬£¬È˹ýÁË40ËêÆ¤·ô¾ÍÓÐÒ»°ëµÄϸ°û²»ÊÂÇéÁË¡£¡£¡£¡£¡£¡£¡£¡£±íƤ±£´æÐí¶àϸ°û£¬ £¬ £¬£¬£¬Òò´ËÎÒÃǵ¼ÈëÔÙÉúÎïÖʺó£¬ £¬ £¬£¬£¬²»µ«ÊÇÕë¶Ô³ÉÏËάϸ°ûÆð×÷Ó㬠£¬ £¬£¬£¬¶ÔÆäËûϸ°ûÒ²ÓÐ×÷Ó㬠£¬ £¬£¬£¬´Ó±íƤһֱµ½Ã«ÄÒ¡¢º¹ÏÙ¡¢Æ¤Ö¬ÏÙ¶¼ÊÇÁ¢ÌåµÄÓªÑø¡£¡£¡£¡£¡£¡£¡£¡£Òª×¢ÖØ´¿´âÊÇÆ¤·ôÍâòÓÃÓªÑø£¬ £¬ £¬£¬£¬Æð²»µ½Æ¤·ôÆ÷¹ÙÕûÌåÔÙÉú»Ø¸´µÄЧ¹û£¬ £¬ £¬£¬£¬ÓÉÓÚûÓÐÓªÑøµ½ÕæÆ¤£¬ £¬ £¬£¬£¬µ½²»ÁËÕæÆ¤¾Íû²½·¥ÓªÑøÃ«¸É¡¢º¹ÏÙ¡¢Æ¤Ö¬Ïٵȡ£¡£¡£¡£¡£¡£¡£¡£ÒªÖªµÀËüÃÇÊÇÒ»¸öϵͳ£¬ £¬ £¬£¬£¬Ò²¾ÍÊÇ˵ËüÃǵĹ¦Ð§ÊÇÒ»ÆðºËËãµÄ¡£¡£¡£¡£¡£¡£¡£¡£Ã¿Ò»¸ö±íƤ»ùÄÚÇé°ûÊͷŵÄÈκÎÒò×Ó£¬ £¬ £¬£¬£¬ÊÇÅäºÏÁªÏµÏ໥×÷Óõġ£¡£¡£¡£¡£¡£¡£¡£ÒÔÊÇ˵ÎÒÃDz»µ«½öÒª´ÓÍâÃæ¸øÓèÆ¤·ô±£»£»£» £»£»£» £» £»¤£¬ £¬ £¬£¬£¬¸üÖ÷ÒªµÄÊÇÒªÁ¢Ìåʽ±£»£»£» £»£»£» £» £»¤£¬ £¬ £¬£¬£¬Ò²Òª´ÓÏû»¯µÀÄÚÔ´¹©Ó¦±íÆ¤ÓªÑø¡£¡£¡£¡£¡£¡£¡£¡£´Ó±íƤ»ùµ×²ãµ½½Ç»¯²ã£¬ £¬ £¬£¬£¬¹²Ô¼30²ãϸ°û¡£¡£¡£¡£¡£¡£¡£¡£Ò²¾ÍÊÇ˵ϸ°û´Ó»ùµ×²ã×îÏÈÒ»²ã²ãÏòÉÏÍÆ½øÔÙÉú£¬ £¬ £¬£¬£¬Ò»²ãϸ°ûµÄ¹¦Ð§µÍÓÚÒ»²ã£¬ £¬ £¬£¬£¬×îºóÐγɽÇÖÊϸ°û£¬ £¬ £¬£¬£¬½ÇÖÊϸ°ûÊÇÍêȫûÓй¦Ð§µÄ¡£¡£¡£¡£¡£¡£¡£¡£Õâ30²ã·ÖËÄ´óÀࣺ»ùÄÚÇé°û²ã¡¢¼¬²ã¡¢¿ÅÁ£²ã¡¢½Ç»¯²ã¡£¡£¡£¡£¡£¡£¡£¡£»£»£» £»£»£» £» £»ùÄÚÇé°ûÊÇÔ­·¢²ã£¬ £¬ £¬£¬£¬¼¬²ãÊÇÉú·¢²ã£¬ £¬ £¬£¬£¬¿ÅÁ£²ãϸ°û´úлÏà¶Ô»ºÂý£¬ £¬ £¬£¬£¬¿ÉÊÇϸ°ûÒѾ­ÍË»¯²¢Ðγɺ¬ÓÐÐí¶à¿ÅÁ£ÎïÖʵÄϸ°û£¬ £¬ £¬£¬£¬ÕâÊÇÈËÀà½ø»¯µÃÀ´µÄ¡£¡£¡£¡£¡£¡£¡£¡£¿£¿£¿£¿ £¿£¿ £¿ÅÁ£²ã´¦ÓÚ¹¦Ð§²ã£¬ £¬ £¬£¬£¬¿ÅÁ£²ãÓë½Ç»¯²ãÖ®¼äµÄ¹ØÏµÊÇ£º¿ÅÁ£²ãÒÔÏÂÊǹ¦Ð§²ã£¬ £¬ £¬£¬£¬½Ç»¯²ã²»Êǹ¦Ð§²ã£¬ £¬ £¬£¬£¬ÊÇÆÁÕϲ㡣¡£¡£¡£¡£¡£¡£¡£¿£¿£¿£¿ £¿£¿ £¿ÅÁ£²ãµÄÖ÷ҪʹÃüÊÇ·À»¯Ñ§ÇÖÊ´¡£¡£¡£¡£¡£¡£¡£¡£ÈçһЩÍâ½çµÄËá¼îÎïÖʶԻúÌåÓÐÓ°ÏìµÄ»°£¬ £¬ £¬£¬£¬Ò»µ½¿ÅÁ£²ã¾Í±»×èÖ¹ÁË¡£¡£¡£¡£¡£¡£¡£¡£¼¬²ã³ýÓÐÉú±¬·¢ÓÃÍ⻹¾ßÓзÀË®×÷Ó㬠£¬ £¬£¬£¬ËüÊÇÕæÕýµÄ·ÀË®²ã¡£¡£¡£¡£¡£¡£¡£¡£±íƤҪÉú³¤£¬ £¬ £¬£¬£¬Ë­¹©Ó¦ÓªÑø£¿£¿£¿£¿ £¿£¿ £¿ËüµÄÓªÑøÈªÔ´ÓÐÁ½¸öÇþµÀ£ºÒ»¸öÇþµÀ´ÓѪ¹ÜÀ´£¬ £¬ £¬£¬£¬ÑªÒºÖеÄÓªÑøÍ¨¹ý¼¬²ãÉøÈ룬 £¬ £¬£¬£¬Éøµ½¿ÅÁ£²ã£¬ £¬ £¬£¬£¬ÈËµÄÆ¤·ôÃÀ²»ÃÀ£¬ £¬ £¬£¬£¬Ö»ÒªÆ¤·ôÏÂÓÐÕý³£µÄѪҺѭ»·Æ¤·ô¾ÍÊÇÆ¯ÁÁµÄ¡£¡£¡£¡£¡£¡£¡£¡£µ«¿ÅÁ£²ãÒÔÍâµÄϸ°ûѪҺ¹©Ó¦²»ÁË£¬ £¬ £¬£¬£¬ÓÉÈËÌåµÄÁíÒ»¸ö¹©Ó¦ÇþµÀ¹©Ó¦¡£¡£¡£¡£¡£¡£¡£¡£¸÷ÈËÒ²Ðí²»ÖªµÀ£¬ £¬ £¬£¬£¬º¹ÏÙ³ýÁËÉøÍ¸º¹Òºµ÷ÀíÌåÎÂÒÔÍâÉÐÓÐÒ»¸ö´ó¹¦Ð§£¬ £¬ £¬£¬£¬¾ÍÊÇ×÷ΪƤ·ô±íƤÍâ15²ãºÜÖ÷ÒªµÄÓªÑø¹©Ó¦Æ÷¹Ù£¨Ë®Ïࣩ£¬ £¬ £¬£¬£¬ÁíÍâÒ»¸öÓªÑøÎïÖÊÊÇÆ¤Ö¬£¨ÓÍÏࣩ£¬ £¬ £¬£¬£¬ÊÇÓÉÆ¤Ö¬ÏÙ±¬·¢³öÀ´µÄ£¬ £¬ £¬£¬£¬ÊÇ¿ÉÏûÈÚµÄÖ¬·¾Ëᣬ £¬ £¬£¬£¬ÕâÁ½ÕßË®ÏàºÍÓÍÏà×Ô¶¯È黯£¬ £¬ £¬£¬£¬ÁýÕÖÔÚ½ÇÖʲãÍâò£¬ £¬ £¬£¬£¬ÓªÑø×ÅÆ¤·ô±íƤÉϰ벿·Öϸ°û¡£¡£¡£¡£¡£¡£¡£¡£ÒÔÊÇÆ¤·ôÉøÍ¸µÄº¹ÒººÍƤ֬ÉÙÁ˲»¿É£¬ £¬ £¬£¬£¬¶àÁËÒ²²»¿É¡£¡£¡£¡£¡£¡£¡£¡£ÕâÒ²ÊÇÎÒÃÇÆ½Ê±Ëù˵µÄ¸ÉÐÔÆ¤·ôºÍÓÍÐÔÆ¤·ôµÄ·ÖÀàÒÀ¾Ý£¬ £¬ £¬£¬£¬ÏÖʵÉÏ£¬ £¬ £¬£¬£¬²»¹ÜÄÄÏî¶àÁËÉÙÁ˶¼Ç·ºÃ¡£¡£¡£¡£¡£¡£¡£¡£Æ¤·ôµÄ¿ÅÁ£²ãºÍ¼¬²ãÔÚÄÚÍâÓªÑøµÄ×÷ÓÃÏ£¬ £¬ £¬£¬£¬»¹Äܱ¬·¢Ò»ÏµÁÐ×Ô¼ºËùÐèÒªµÄÎïÖÊ¡£¡£¡£¡£¡£¡£¡£¡£ÒÔÊÇÓÐÁËËü£¬ £¬ £¬£¬£¬ÍâòµÄ½ÇÖʲã²Å»ª¿´ÆðÀ´Ï¸ÄåË®È󡣡£¡£¡£¡£¡£¡£¡£

      ¡¾ÉøÍ¸Ñ¹ÓëÆ¤·ôÉúÃüµÄÏÈÌì¹ØÏµ¡¿
      Éç»áÉϵÄÐí¶àÃÀÈÝ»¯×±Æ·ËäȻҲ˼Á¿µ½ÁËÓÍÏàºÍË®Ï࣬ £¬ £¬£¬£¬´ò×ű£»£»£» £»£»£» £» £»¤Æ¤·ôµÄÆìÖÄ£¬ £¬ £¬£¬£¬µ«×ÐϸÆÊÎö¾Í»á·¢Ã÷ÎÊÌâ¡£¡£¡£¡£¡£¡£¡£¡£ÄÇЩ»¯×±Æ·ÓõÄË®ÊÇÊ²Ã´Ë®ÄØ£¿£¿£¿£¿ £¿£¿ £¿ÊÇÈ¥Àë×ÓË®¡£¡£¡£¡£¡£¡£¡£¡£ÎªÊ²Ã´Ñ¡ÕâÖÖË®£¿£¿£¿£¿ £¿£¿ £¿ÓÉÓÚÕâÖÖË®ÊǵÍÉøµÄ(ͼ5)¡£¡£¡£¡£¡£¡£¡£¡£Æ¤·ô¸ÉÔ £¬ £¬£¬£¬ËûÃǾÍÏëʹÓõÍÉøµÄ×÷ÓÃÈÃË®ÉøÈëÖÁƤ·ôÄÚ¡£¡£¡£¡£¡£¡£¡£¡£ÓÉÓÚËüµÍÉø£¬ £¬ £¬£¬£¬Ë®·Ö×ӾͻáÉøÈëÆ¤ÄÚ£¬ £¬ £¬£¬£¬²¢ÇÒËÙÂʺܿ졣¡£¡£¡£¡£¡£¡£¡£¶øÓÍÄØ£¬ £¬ £¬£¬£¬ÔçÏȶ¼ÓÿóÎïÓÍ£¬ £¬ £¬£¬£¬ÏÖÔÚÓеÄÒ²ÓÃÖ²ÎïÓÍ£¬ £¬ £¬£¬£¬µ«²»¹ÜÊÇ¿óÎïÓÍÕÕ¾ÉÖ²ÎïÓÍ£¬ £¬ £¬£¬£¬¶¼Ã»ÓÐʵÏÖÆäÏò¿ÉÈÜÐÔÖ¬·¾ËáÀàÎïÖʵÄת±ä¡£¡£¡£¡£¡£¡£¡£¡£¶øzotyÖÐÅ·ÌåÓýÔÙÉúÎïÖÊÓõͼÊÇ¿ÉÏûÈÚµÄÓÍ¡£¡£¡£¡£¡£¡£¡£¡£Ä³Ð©»¯×±Æ·ÀïµÄÖ¬·¾ËáÊDz»¿ÉÈÜÐԵģ¬ £¬ £¬£¬£¬Í¿ÔÚÆ¤·ôÉÏÖ»ÄÜÁýÕÖ£¬ £¬ £¬£¬£¬Ã»ÓÐÓªÑøÆ¤·ô±íƤϸ°û15²ãµÄ×÷Ó㬠£¬ £¬£¬£¬Ö»Êǰ²ÅÅ£¬ £¬ £¬£¬£¬·´µ¹ÊÇͿĨ¶àÁËÖ®ºó¹£ÈûƤ֬ÏÙÉøÍ¸¿×£¬ £¬ £¬£¬£¬¾Í»áÔì³É·Û´Ì¡£¡£¡£¡£¡£¡£¡£¡£Ë®ÊÇʹÓõÍÉø×÷Ó㬠£¬ £¬£¬£¬À´½â¾öÈÃË®Éø½øÈ¥£¬ £¬ £¬£¬£¬Ïë·¨ºÜºÃ£¬ £¬ £¬£¬£¬µ«µÍÉø×÷Óþ¿¾¹¶ÔƤ·ôÓÐûÓÐÀû񾀯£¿£¿£¿£¿ £¿£¿ £¿Ò½Ñ§ÉÏÔçÒÑÓж¨ÂÛ£¬ £¬ £¬£¬£¬ËùÓеĻ¯×±Æ·¡¢»¤·ôÆ·¶¼Î£ÏÕÆ¤·ô¡£¡£¡£¡£¡£¡£¡£¡£¿£¿£¿£¿ £¿£¿ £¿ÉΣÏÕÆ¤·ôΪʲô»¹ÓÃÄØ£¿£¿£¿£¿ £¿£¿ £¿¾ÍÊÇÓÉÓÚ´ó×ÔÈ»µÄÆÆ»ËäÈ»¯×±Æ·»¹À÷º¦£¬ £¬ £¬£¬£¬ÊÇÓÃËðÉËСµÄÈ¡´úËðÉË´óµÄ¡£¡£¡£¡£¡£¡£¡£¡£»£»£» £»£»£» £» £»¯×±Æ·µÄËðÉËÔÚҽѧÉÏһֱûÃ÷È·ËüµÄ»úÀí£¬ £¬ £¬£¬£¬ÎÒÃÇÃ÷È·ÁË£¬ £¬ £¬£¬£¬Ã÷È·ÆðÀ´ºÜÊÇÈÝÒס£¡£¡£¡£¡£¡£¡£¡£

      Ê×ÏÈÆÊÎö£¬ £¬ £¬£¬£¬º¹Òº²»ÊÇ´¿´âµÄË®£¬ £¬ £¬£¬£¬ÎÒÃǽâ¾öÕâ¸öÄÑÌâ²»ÊÇÆ¾Ö¤±ðÈ˵ÄÏë·¨£¬ £¬ £¬£¬£¬Ò²²»ÊDZðÈ˵ÄÀíÂÛ£¬ £¬ £¬£¬£¬ÊÇÆ¾Ö¤ÈËÌ寤·ô×ÔÎÒ±£»£»£» £»£»£» £» £»¤µÄÐÄÀí»úÖÆ¡£¡£¡£¡£¡£¡£¡£¡£ÎÒÃÇÆÊÎöº¹Òºº¬ÓжàÖÖÒòËØ£¬ £¬ £¬£¬£¬º¹ÒºµÄÉøÍ¸Ñ¹ÊǵÈÉøµÄ£¬ £¬ £¬£¬£¬ºÍ×éÖ¯Òº¡¢Ï¸°ûÄÚÒºµÄÉøÍ¸Ñ¹Á¦ÊÇÏàµÈµÄ¡£¡£¡£¡£¡£¡£¡£¡£ÒÔÊǺ¹ÒºÁýÕÖÔÚÆ¤·ôÍâòÈ黯ÒÔºó£¬ £¬ £¬£¬£¬ÍêÈ«Æðµ½Ò»¸öÓë×éÖ¯ºÍϸ°ûÏàµÈµÄ×ÔÎÒ½»Á÷µÄ¹ØÏµ£¬ £¬ £¬£¬£¬º¹ÒºÊǶàÖÖÒòËØµÄÈÜÒº¡£¡£¡£¡£¡£¡£¡£¡£ÒÔÊÇÈ˳öÁ˺¹£¬ £¬ £¬£¬£¬Ë®Õô·¢ÁËʣϵÄÑΣ¬ £¬ £¬£¬£¬È«ÊÇÀë×Ó£¬ £¬ £¬£¬£¬¾ÍÊÇÕâ¸öÑÎÔÚÒºÌåÄÚÀï¾ÍÐγÉÁËÉøÍ¸Ñ¹¡£¡£¡£¡£¡£¡£¡£¡£ÈôÊÇÊǵÍÉøµÄË®£¬ £¬ £¬£¬£¬ÔòÕâµÍÉøµÄÒºÌåʹÓÃÉøÍ¸Ñ¹µÄ¹ØÏµºÜ¿ì½øÈëµ½×éÖ¯¼äÒº£¬ £¬ £¬£¬£¬ËäȻʹÓõÍÉøÄܺܿ콫ˮËͽøÈ¥£¬ £¬ £¬£¬£¬µ«×éÖ¯¼äÊÇÓÉϸ°ûÐγɵļä϶£¬ £¬ £¬£¬£¬Ï¸°û¼ä϶ÄÚÀïÒ²¾Í³ÉÁ˵ÍÉø¡£¡£¡£¡£¡£¡£¡£¡£ÕâµÍÉøµÄ×éÖ¯¼äÒºÓÖ½øÈëÁËϸ°ûÄÚ£¬ £¬ £¬£¬£¬×îÖÕ°Ñϸ°ûÕÍ´ó£¬ £¬ £¬£¬£¬¹ý¶àÖ®ºó¾Í»áµ¼ÖÂϸ°ûÆÆËé(ͼ6)¡£¡£¡£¡£¡£¡£¡£¡£ÎÒÃÇÔø×ö¹ýʵÑ飬 £¬ £¬£¬£¬ÓÃÒ»¸öÀëÐÄ»ú£¬ £¬ £¬£¬£¬Ò»¸öºìϸ°û´àÐÔÊÔÑéµÄÊԹܣ¬ £¬ £¬£¬£¬×öÎÒÃÇҽѧÉϳ£×öµÄϸ°û´àÐÔʵÑé¡£¡£¡£¡£¡£¡£¡£¡£°Ñ»¯×±Æ··ÅÈëÀëÐÄ»úÀïÀëÐÄ£¬ £¬ £¬£¬£¬ÈÃË®ÏàÓÍÏàÊèÉ¢¿ª£¬ £¬ £¬£¬£¬ÔÙ°ÑË®ÏàÎü³öÀ´£¬ £¬ £¬£¬£¬°Ñºìϸ°û·ÅÈëË®ÏàÖУ¬ £¬ £¬£¬£¬ÈôÊǺìϸ°ûÆÆÁË£¬ £¬ £¬£¬£¬Õâ¸ö»¯×±Æ·¾ÍûÓб£»£»£» £»£»£» £» £»¤Ï¸°ûµÄ×÷Ó㬠£¬ £¬£¬£¬ÈôÊǺìϸ°ûûÓÐÆÆ¾ÍÓб£»£»£» £»£»£» £» £»¤Ï¸°ûµÄ×÷Óᣡ£¡£¡£¡£¡£¡£¡£Æ¾Ö¤Õâ¸ö½áÂÛ£¬ £¬ £¬£¬£¬Ðí¶à»¯×±Æ·²»¿ÉÂôÁË£¬ £¬ £¬£¬£¬ÓÉÓÚËü»á°Ñºìϸ°ûÕÍÆÆ¡£¡£¡£¡£¡£¡£¡£¡£ÕâÖÖ²½·¥Ê¹È¥Àë×ÓË®ÉøÈëÆ¤·ô£¬ £¬ £¬£¬£¬½ø¶øÔì³Éϸ°ûË®Ö×µ¼ÖÂÆ¤·ôÀÏ»¯£¬ £¬ £¬£¬£¬ÒÔÊÇÔ½Óû¯×±Æ·Æ¤·ô¾ÍÔ½ÈÝÒ×ÐàÂõ¡£¡£¡£¡£¡£¡£¡£¡£¶øÓÐЩÈËÓÉÓÚÆ¤·ô¾­³£½ÓÊÜÃÀÈÝ£¬ £¬ £¬£¬£¬ÌØÊâÈÝÒ×ËðÉËÖÁ¼¬²ã¡¢¿ÅÁ£²ã£¬ £¬ £¬£¬£¬ÒÔÊÇ˵ÕâÖÖÃÀÈÝÊÇÔ½ÃÀÈÝÔ½ÐàÂõ£¬ £¬ £¬£¬£¬±ØÐèͿĨÓÍÖ¬ºÍ·ÛÖÊ»¯×±Æ·ÕÚÑÚ£¬ £¬ £¬£¬£¬²»È»Æ¤·ôºÜÄÑ¿´¡£¡£¡£¡£¡£¡£¡£¡£»£»£» £»£»£» £» £»¯×±Æ·µÄµÍÉøË®Ïà¿´·¨ÊÇÍêÈ«¹ýʧµÄ£¬ £¬ £¬£¬£¬ÓÉÓÚËüµÄË®ÏàÒªÇóÖ»ÄÜÓÃÈ¥Àë×ÓË®À´°ü¹ÜËüµÄÒªÇ󡣡£¡£¡£¡£¡£¡£¡£ËäÈ»ËüÖ®ÒÔÊÇÓÃÈ¥Àë×ÓË®ÉÐÓÐÒ»¸ö¼ÁÐ͵ÄÒªÇó£¬ £¬ £¬£¬£¬¿ÉÒÔʹ˪¼ÁÐͲ»É¢£¬ £¬ £¬£¬£¬ÓÐÀë×ӾͻáÓ°Ï컯ױƷµÄÎȹÌÐÔ¡£¡£¡£¡£¡£¡£¡£¡£

      zotyÖÐÅ·ÌåÓýƤ·ôÔÙÉú˪¼ÁµÄË®ÏàÊǵÈÉøµÄÒºÌ壬 £¬ £¬£¬£¬ÊÇÓÃÏʵÄÖ²Îï×éÖ¯ÒºÖÆ³ÉµÄ£¬ £¬ £¬£¬£¬Í¿ÔÚÆ¤·ôÉϼá³ÖÁËÆ¤·ôµÄÉúÌ¬ÉøÍ¸Ñ¹¡£¡£¡£¡£¡£¡£¡£¡£
      ÁíÍ⣬ £¬ £¬£¬£¬ÎÒÃÇÓõÄÓÍÊÇ¿ÉÈÜÐÔÖ¬·¾Ëᣬ £¬ £¬£¬£¬ÕâÊÇ×îÒªº¦µÄÒ»µã£¬ £¬ £¬£¬£¬ÈôÊÇÊDz»¿ÉÈÜÐÔÖ¬·¾Ëᣬ £¬ £¬£¬£¬Ëü¾ÍÎÞ·¨ÉøÍ¸µ½Æ¤·ôÍâòµÄÊý²ãÖ®ÄÚ£¬ £¬ £¬£¬£¬ºÍ¿ÅÁ£²ãϸ°û±¬·¢Ð­Í¬±£»£»£» £»£»£» £» £»¤×÷Óᣡ£¡£¡£¡£¡£¡£¡£Ò²¿ÉÒÔ˵²»¿ÉÈÜÐÔÖ¬·¾ËáͿĨÔÚÆ¤·ôÉϲ»Í¸Æø£¬ £¬ £¬£¬£¬Ö»ÄÜÆðµ½¸ôÀëµÄ×÷Ó㬠£¬ £¬£¬£¬¶ø²»Í¸Æø¸ôÀëµÄ×÷ÓÃÏÖʵÉϾÍÏñÈ˺ã¾Ã²»ãåÔ¡Ò»Ñù¡£¡£¡£¡£¡£¡£¡£¡£ºã¾Ã²»ãåÔ¡µÄÈËΪʲôƤ·ôÀÏ»¯£¿£¿£¿£¿ £¿£¿ £¿¾ÍÊÇÓÉÓÚËäÈ»ÊÇ×Ô¼º±¬·¢µÄÖ¬·¾ËáÔÚÆ¤·ôÉÏ£¬ £¬ £¬£¬£¬µ«³¤Ê±¼äµ¼ÖÂÐí¶à³ÁÔü·ÏÎïȺ¼¯£¬ £¬ £¬£¬£¬Ôì³ÉƤ·ô²»¿ÉºôÎü²»¿É´úл£¬ £¬ £¬£¬£¬²»¿É´úл¾Í»á±¬·¢Ðí¶à»¯Ñ§µÄËáÐÔ»ò¼îÐÔµÄÎïÖÊ£¬ £¬ £¬£¬£¬ÕâÖÖ²»¿ÉÈÜÐÔÖ¬·¾Ëáʱ¼ä³¤Á˾ͻᱬ·¢ÖÖÖÖ»¯Ñ§·´Ó¦£¬ £¬ £¬£¬£¬Ò²¾ÍÆÆËðÁËÆ¤·ôµÄPHƽºâ£¬ £¬ £¬£¬£¬¸üÖ÷ÒªµÄÊÇÓ°ÏìÁËÆ¤·ô¿ÅÁ£²ãϸ°ûµÄÔÙÉú´úлÄÜÁ¦ºÍºÏ³É´úлÄÜÁ¦¡£¡£¡£¡£¡£¡£¡£¡£
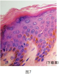
      ÌìÏÂÉÏ»¯×±Æ·ÎÞÂÛÅä·½ÔõÑù£¬ £¬ £¬£¬£¬ÕâЩÍâÔ´ÐÔ»¯×±Æ·¶¼ºÜÄѽøÈëµ½ÕæÆ¤¡£¡£¡£¡£¡£¡£¡£¡£Ö®ÒÔÊÇÕâô˵£¬ £¬ £¬£¬£¬ÊÇÓÉÓÚÔÚ»ùÄÚÇé°û²ãÏÂÃæÓÐÒ»¸öĤ£¨Í¼7£©£¬ £¬ £¬£¬£¬Õâ¸öĤ²»µ«ÊÇΪÁË±íÆ¤ÓëÕæÆ¤µÄÅþÁ¬£¬ £¬ £¬£¬£¬ÕâÒ²Êǽâ¾öƤ·ôÆ÷¹ÙÔÙÉú»Ø¸´µÄÒ»¸ö×îÖ÷ÒªµÄÊÖÒÕ»·½Ú¡£¡£¡£¡£¡£¡£¡£¡£Õâ¸ö»ùµ×Ĥ¾ßÓаëͨ͸ÐÔ£¬ £¬ £¬£¬£¬ÔÚÆ¤·ôºÍ¶ÏÖ¸ÔÙÉúÖÎÁÆÊÖÒÕÉÏ£¬ £¬ £¬£¬£¬ÎÒÃÇ·ÂÉúÁËÕâ¸öĤ£¬ £¬ £¬£¬£¬Õâ²ãĤµÄÏÂÃæÓÐѪ¹Ü¡¢Éñ¾­£¬ £¬ £¬£¬£¬µ«Ñª¹Ü¹ý²»ÁËÕâ²ãĤ¡£¡£¡£¡£¡£¡£¡£¡£ÈôÊÇÄãµÄƤ·ôÒ»µ©³öѪ£¬ £¬ £¬£¬£¬¾Í˵Ã÷ÊÇÕâ²ãÄ¤ÆÆÁË¡£¡£¡£¡£¡£¡£¡£¡£ÎÒÃÇ¿´µ½µÄѪ˿£¬ £¬ £¬£¬£¬¶¼ÊÇÔÚ»ùµ×Ĥ֮ϵÄ£¬ £¬ £¬£¬£¬³ý·ÇÒì³£µÄѪ˿£¬ £¬ £¬£¬£¬ÓÐЩ²¡±äµÄ¿ÉÒÔÍ»³öµ½»ùµ×Ĥ֮ÉÏ¡£¡£¡£¡£¡£¡£¡£¡£Õý³£µÄÐÄÀíÇéÐÎÏ£¬ £¬ £¬£¬£¬Ñª¹Ü¶¼ÔÚ»ùµ×ĤÏ£¬ £¬ £¬£¬£¬½ºÔ­ÏËάҲÔÚ»ùµ×ĤÏ£¬ £¬ £¬£¬£¬ÏËάÎÞ·¨Í¨¹ý£¬ £¬ £¬£¬£¬Î¨Ò»ÄÜͨ¹ýµÄÊÇÉñ¾­Ä©ÉÒ¡£¡£¡£¡£¡£¡£¡£¡££¨Í¼8£©Éñ¾­ÑÓÉìµ½»ùµ×Ĥ£¬ £¬ £¬£¬£¬»ùµ×ĤÍâÃæÉÐÓÐÒ»²ãĤ°üÈÆÔÚÉñ¾­ÍâÃæ£¬ £¬ £¬£¬£¬Ò»µ«´©¹ýÁËÕâ¸öĤ¾Í³ÉÁËûÓÐĤ°üÈÆµÄÏËά£¬ £¬ £¬£¬£¬½ÐÉñ¾­ÏËάµÄ̻¶¶Ë£¬ £¬ £¬£¬£¬ÒÔÊÇĤÉÏÃæ³ýÈ¥±íƤµÄËÄ´ó²ã£¬ £¬ £¬£¬£¬ÉÐÓÐһЩÎÞ°üĤµÄÉñ¾­Ä©ÉÒÏËά¡£¡£¡£¡£¡£¡£¡£¡£Òò´Ë´¥ÃþµÄʱ¼ä»á·ºÆð¸ÐÊÜ¡£¡£¡£¡£¡£¡£¡£¡£


     ¡¾ÔÙÉúÎïÖʵ¼ÈëÓëÆ¤·ôÔÙÉúµÄ´úл¡¿
     Ƥ·ô»ùµ×ĤµÄÖ÷ÒªÐÔÔÚÓÚËüÓаëͨ͸ÐÔ£¬ £¬ £¬£¬£¬ÕâÊÇÆ¤·ôÆ÷¹ÙÕæÆ¤¶ÔÍâºôÎüµÄÖ÷ҪͨµÀÖ®Ò»£¬ £¬ £¬£¬£¬Ò²ÊÇÈËÌåͨ¹ýƤ·ôºôÎüµÄ;¾¶¡£¡£¡£¡£¡£¡£¡£¡£ÈËÌåµÄºôÎüÓÐÁ½ÖÖ·½·¨£¬ £¬ £¬£¬£¬Ò»ÖÖÊǷεĺôÎü£¬ £¬ £¬£¬£¬Ò»ÖÖÊÇÆ¤·ô´úлͨµÀµÄºôÎü¡£¡£¡£¡£¡£¡£¡£¡£Æ¤·ôÑõµÄºôÎü´ó¶¼ÊÇͨ¹ýĤµÄͨµÀ£¨ËüÊǸö¼ä϶ͨµÀ£©£¬ £¬ £¬£¬£¬µ±½Ó´¥Ñõ·Ö×Óʱ£¬ £¬ £¬£¬£¬»ùµ×ĤµÄ¼ä϶¾ÍÀ©´óÁË£¬ £¬ £¬£¬£¬Ñõ·Ö×ӾͽøÀ´ÁË¡£¡£¡£¡£¡£¡£¡£¡£¸ß¿ÕÌøÉ¡µÄÈË£¬ £¬ £¬£¬£¬Ëû¿ÉÒÔÔڸ߿Õʱ°ÑƤ·ôÎüÊÕÑõµÄÍâò»ýÔöÌí£¬ £¬ £¬£¬£¬´Ó¶øÔöÌíÆ¤·ôµÄº¬ÑõÁ¿£¬ £¬ £¬£¬£¬¾ÍÊÇÓÉÓÚ°ë͸Ĥ¶ÔÑõ¾ßÓÐͨ͸ÐÔ¡£¡£¡£¡£¡£¡£¡£¡£»£»£» £»£»£» £» £ÉÐÓоÍÊÇÆ¤·ôµÄµçºÉµ¼Ïò£¬ £¬ £¬£¬£¬µçºÉµ¼ÏòÊǺÜÊÇÖ÷ÒªµÄ£¬ £¬ £¬£¬£¬¾ÍÏñ³¬Éù²¨µÈ£¬ £¬ £¬£¬£¬¿ÉÊÇÕâÀï²¢²»ÊÇʲô¶¼¿ÉÒÔͨ¹ý£¬ £¬ £¬£¬£¬Ëü×îÖ÷ÒªµÄÊÇʹÄÇÖÖûÓеçºÉ»òµçºÉÏàͬµÄͨ¹ý£¬ £¬ £¬£¬£¬ÈκÎÓеçºÉµÄ¶¼ÐèҪѡÔñһϡ£¡£¡£¡£¡£¡£¡£¡£ºÃ±È˵½ºÔ­ÂѰ×£¬ £¬ £¬£¬£¬ÎÒÃÇÔø×ö¹ýÊÔÑ飬 £¬ £¬£¬£¬¿´Äܲ»¿É°ÑË®½âµÄ½ºÔ­ÂѰ׵¼ÈëÆ¤Ï£¬ £¬ £¬£¬£¬¿É×îºóЧ¹ûÊDz»¹ÜÊÇÓúÎÖÖÒªÏòµ¼È룬 £¬ £¬£¬£¬¶¼Ã»Óв½·¥Ê¹Æä½øÈ룬 £¬ £¬£¬£¬Õâ˵Ã÷Ƥ·ôËü²»½ÓÊÜÕâÖÖÎïÖÊ¡£¡£¡£¡£¡£¡£¡£¡£ËäÈ»½ºÔ­ÂѰ××÷Ϊ´ó·Ö×ÓµÄÂѰ×Ò²²»¿ÉÄܱ»µ¼½øÈ¥£¬ £¬ £¬£¬£¬ÈôÕæµ¼½øÈ¥£¬ £¬ £¬£¬£¬Õâ¾Í³ÉÁËÒìÌåÂѰ×£¬ £¬ £¬£¬£¬¶ÔÈËÌåÓк¦¡£¡£¡£¡£¡£¡£¡£¡£ÎÒÃÇÆÊÎöË®½âµÄ½ºÔ­ÂѰ×Ö®ÒÔÊǵ¼²»½øÈ¥£¬ £¬ £¬£¬£¬¿ÉÄÜÊÇÓÉÓÚÂѰ×ÖʵÄ×é³É½á¹¹°±»ùËáµÄÔµ¹ÊÔ­ÓÉ£¬ £¬ £¬£¬£¬°±»ùËáÔÚijÖÖÇéÐÎÏÂÊÇ´øµçºÉµÄ£¬ £¬ £¬£¬£¬Õâ¸öË®½â½ºÔ­ÂѰ×Òò´ËÒ²´øµçºÉ£¬ £¬ £¬£¬£¬²¢ÇÒ¿ÉÄÜÓëÕâ²ãĤÏàÑ¡ÔñµÄµçºÉÏà·´£¬ £¬ £¬£¬£¬ÒÔÊDz»¿ÉÄܽøÈ뵽Ƥ·ôÄÚÀïÈ¥£¬ £¬ £¬£¬£¬×ÝÈ»ÎÒÃÇÓøßѹÑõӲѹµÄÒªÁìÒ²²»¿É¡£¡£¡£¡£¡£¡£¡£¡£ÒÔÊÇÕâ²ãĤÔÚÕæÆ¤µÄÃÀÈÝÉϺÜÒªº¦£¬ £¬ £¬£¬£¬ÒªÏëµÖ´ïƤ·ôÆ÷¹ÙÔÙÉú»Ø¸´µÄЧ¹û£¬ £¬ £¬£¬£¬Æ¤·ôÓªÑøÎïÖʱØÐèµÃͨ¹ý»ùµ×Ĥ½øÈ뵽Ƥ·ôÄÚÀïÈ¥¡£¡£¡£¡£¡£¡£¡£¡£
     zotyÖÐÅ·ÌåÓýÔÙÉúÎïÖÊÄܲ»¿É͸½øÆ¤·ô£¿£¿£¿£¿ £¿£¿ £¿ËäÈ»ÄÜ£¬ £¬ £¬£¬£¬ÎÒÃÇ×ö¹ýÊÔÑ飬 £¬ £¬£¬£¬ÔÚÑÛ´üµ¼ÈëÔÙÉúÎïÖÊ£¬ £¬ £¬£¬£¬Ã¿´Î¶¼ÄÜÏÔ×ŵؿ´µ½ÑÛ´ü±¥ÂúÆðÀ´ÁË£¬ £¬ £¬£¬£¬Õâ˵Ã÷ÄÇЩÔÙÉúÎïÖʱ»µ¼Èë½øÈ¥ÁË¡£¡£¡£¡£¡£¡£¡£¡£±íƤÏÂÊÇÕæÆ¤£¬ £¬ £¬£¬£¬ÎÒÃǶÔÕæÆ¤µÄÔÙÉú»Ø¸´Ö÷ÒªÓÐÁ½´óÄ¿µÄ£¬ £¬ £¬£¬£¬Ò»¸öÄ¿µÄÊǰѸ½¼þµÄ¹¦Ð§¸üУ¬ £¬ £¬£¬£¬ÁíÒ»¸ö¾ÍÊÇÊ¹ÕæÆ¤³ÉÏËάϸ°ûÔÙÉú¼°ÏËά±äÄêÇᣬ £¬ £¬£¬£¬É¢×´ÏËά˿³ÉÊø£¬ £¬ £¬£¬£¬Í¬Ê±Ìî³ä×éÖ¯¡£¡£¡£¡£¡£¡£¡£¡£ÈçͼËùʾ£¨Í¼9¡¢Í¼10£©£¬ £¬ £¬£¬£¬¸½¼þ°üÀ¨º¹ÏÙºÍÆ¤Ö¬ÏÙ£¬ £¬ £¬£¬£¬º¹ÏÙÊÇ

º¹ÏÙÉøÍ¸Ï¸°û¡£¡£¡£¡£¡£¡£¡£¡£Ã«ÄÒϸ°ûÊÇ´ÓÂÑÅß×îÏȵÄÒ»¸öеÄϸ°û£¬ £¬ £¬£¬£¬ÊÇÒ»¸ö×ÔÁ¦µÄ¼Ò×å¡£¡£¡£¡£¡£¡£¡£¡£È˵ÄÉíÉÏÓÐÈýÖÖ룺¶Ìë¡¢³¤Ã«ºÍë¥Ã«£¬ £¬ £¬£¬£¬Í··¢Îª³¤Ã«¡£¡£¡£¡£¡£¡£¡£¡£´ÓÅß̥ʱÆÚ×îÏÈ£¬ £¬ £¬£¬£¬Éú³¤Ã«·¢µÄϸ°û¾ÍÓÐÈý¸ö²î±ðÔ­·¢Ï¸°û£¬ £¬ £¬£¬£¬Ò»¸öÊdz¤³¤Ã«µÄ£¬ £¬ £¬£¬£¬Ò»¸öÊÇÊÇ·ÇëµÄ£¬ £¬ £¬£¬£¬Ò»¸öÊdz¤ë¥Ã«µÄ£¬ £¬ £¬£¬£¬ë¥Ã«¼´º¹Ã«¡£¡£¡£¡£¡£¡£¡£¡£ËüÃDZ¬·¢µÄʱ¼ä²î±ð£¬ £¬ £¬£¬£¬¶ÌëºÍ³¤Ã«ÊÇÀ´×ÔÓÚ×îԭʼµÄÂÑÅߣ¬ £¬ £¬£¬£¬¶øº¹Ã«¿ÉÀ´×ÔÓÚ±íÆ¤¸Éϸ°û£¬ £¬ £¬£¬£¬Ò²¾ÍÊǽÇÂѰ×19ÐͼÒ×å¡£¡£¡£¡£¡£¡£¡£¡£ÒÔÊÇ´óÃæ»ýÉî¶ÈÉÕÉËʱÓúºÏÒÔºó¶¼Äܳ¤º¹Ã«£¬ £¬ £¬£¬£¬µ«³¤²»Á˳¤Ã«Ò²³¤²»Á˶Ìë¡£¡£¡£¡£¡£¡£¡£¡£ÔÚÕâÀïÒ²¸æË߸÷ÈË£¬ £¬ £¬£¬£¬ÌÂÈûÍÑ·¢Ó¦¸ÃÔÚÈË»¹Ã»ÓÐÍÑÂäÍ··¢Ç°¼ÓÒÔ¿ØÖÆ£¬ £¬ £¬£¬£¬²»ÈÃÍ··¢ÍÑÂ䣬 £¬ £¬£¬£¬Ò»µ©Ã«ÈéÍ·È«ÍÑÂäÁ˾ͳ¤²»³öÃæ·¢À´ÁË£¬ £¬ £¬£¬£¬Äܳ¤³öµÄ²»¹ýÊÇÀàËÆÓÚ¶ÌëµÄһЩë¥Ã«(ͼ11)¡£¡£¡£¡£¡£¡£¡£¡£ÕâÊÇÓÉÓÚÔÚÔÙÉúʱ£¬ £¬ £¬£¬£¬Ã«·¢ÊÇʹÓÃë·¢Àï±ßÖü´æµÄÐÅÏ¢»ú¹Ø¡ª¡ªÒþÎÑÀ´ÔÙÉúµÄ£¬ £¬ £¬£¬£¬Ã«ÒþÎÑÀïÖü´æÓжÌëºÍë¸ÉµÄÐÅÏ¢£¬ £¬ £¬£¬£¬ÈÎºÎÆ¤·ôÄÚÀï¶¼ÓÐÕâÖÖÐÅÏ¢¡£¡£¡£¡£¡£¡£¡£¡£ÓÉÓÚÈ˵Ľø»¯Ôì³ÉÓÐЩ²¿Î»²»³¤Ã«£¬ £¬ £¬£¬£¬ÓÐЩ³¤Ã«£¬ £¬ £¬£¬£¬Õâ¸öëÒþÎÑÊÇÓÉÓÚÈ˵Ľø»¯ËùÐγɵÄ£¬ £¬ £¬£¬£¬µ«ÖÖ×å²î±ð£¬ £¬ £¬£¬£¬Ã«ÒþÎÑÔòÓÐËù²î±ð£¬ £¬ £¬£¬£¬¾ÍÏñÃÀ¹úÈËÉíÉÏÓÐÐí¶à룬 £¬ £¬£¬£¬µ«ÄÇÒ²ÊǶÌë¶ø²»Êdz¤Ã«¡£¡£¡£¡£¡£¡£¡£¡£ÔÛÃÇÑÇÖÞÈËÆ¤·ô½ÏÁ¿Æ½»¬£¬ £¬ £¬£¬£¬×ØÉ«ÈË¡¢ºÚÈËÒ²½ÏÁ¿Æ½»¬£¬ £¬ £¬£¬£¬ÊÇÓÉÓÚÒþÎѽÏÁ¿Èõ£¬ £¬ £¬£¬£¬²»³¤ÄÇô³¤µÄë¡£¡£¡£¡£¡£¡£¡£¡£ÎÒÃÇÔøÑо¿¹ýÔõôÄÜÈùâͺͷ¶¥³¤³öϸ룬 £¬ £¬£¬£¬µ±³õÎÒÃǰÑÿ¸öϸ°û¶¼ÄóöÀ´£¬ £¬ £¬£¬£¬¿´ÊÇÄÄÒ»ÖÖϸ°û³¤µÄ£¬ £¬ £¬£¬£¬·¢Ã÷¶¼ÊÇëÒþÎѳ¤µÄ¡£¡£¡£¡£¡£¡£¡£¡£ËäȻһµ©Ê§È¥ÁËëÄҾͲ»¿ÉÔÙ³¤Í··¢ÁË£¬ £¬ £¬£¬£¬¿ÉÊÇֻҪëÒþÎÑ»¹ÔÚ£¬ £¬ £¬£¬£¬¾ÍÉÐÓг¤Ã«µÄ¹¦Ð§£¬ £¬ £¬£¬£¬Ã¿Ò»¸öÒþÎѶ¼Äܳ¤³öÒ»¸öë¥Ã«À´¡£¡£¡£¡£¡£¡£¡£¡£Éç»áÉÏijЩÉú·¢²úÆ·¾ÍÊǴ̼¤Õâ¸öÒþÎѵÄϸ°û£¬ £¬ £¬£¬£¬µ«ÕâÖִ̼¤Ëù³¤³öµÄëºÜųÈõ£¬ £¬ £¬£¬£¬Ò»Åö¾ÍµôÁË£¬ £¬ £¬£¬£¬Ò»µ©Ã»Óд̼¤×÷ÓÃÁË£¬ £¬ £¬£¬£¬Õâë·¢¾Í²»³¤ÁË¡£¡£¡£¡£¡£¡£¡£¡£ÎÒÃÇÔÚÉÕÉËÖÎÁÆÖÐÒ²·¢Ã÷£¬ £¬ £¬£¬£¬Ö»ÒªÓÐÆ¤·ô±¬·¢¾ÍÓÐë¥Ã«£¬ £¬ £¬£¬£¬ËäÈ»ÊÖÕÆ³ýÍ⣬ £¬ £¬£¬£¬ÊÖÕÆÊÇûÓÐë¥Ã«µÄ£¬ £¬ £¬£¬£¬ÕâÊÇÒÅ´«µÄÌØÕ÷¡£¡£¡£¡£¡£¡£¡£¡£ÓÐÈËÎÊÄÐÐÔµÄ÷×ëÊÇʲô룿£¿£¿£¿ £¿£¿ £¿Õâ¸öëÓжÌëµÄÖÖÀ࣬ £¬ £¬£¬£¬Ò²Óг¤Ã«µÄÖÖÀ࣬ £¬ £¬£¬£¬Ö÷ÒªÊdz¤Ã«ÖÖÀà¡£¡£¡£¡£¡£¡£¡£¡£

      Ƥ·ô·Å´óÒÔºó¿ÉÒÔ¿´µ½Ðí¶àë¿×£¬ £¬ £¬£¬£¬ËæÊ±¶¼¿ÉÄܱ¬·¢×ª±ä£¬ £¬ £¬£¬£¬ÓÃһЩÀ©Ã«¿×µÄ¡¢É¢Ã«¿×µÄÒªÁìÃÀÈÝÊǺÜÊDz»¿ÆÑ§µÄ£¬ £¬ £¬£¬£¬ÊÇÆÆËðÆ¤·ô¹¦Ð§µÄ£¬ £¬ £¬£¬£¬Ó¦¸ÃÈÃÆ¤·ô×ÔÉíµ÷Àí¡£¡£¡£¡£¡£¡£¡£¡£ÕæÆ¤µÄÁíÒ»¸ö¹¦Ð§ÊdzÉÏËάϸ°ûµÄ¹¦Ð§£¬ £¬ £¬£¬£¬£¨Í¼12£©³ÉÏËάϸ°ûÖ÷Òª¹¦Ð§ÊǺϳÉÏËά£¬ £¬ £¬£¬£¬Í³öÏËά£¬ £¬ £¬£¬£¬Õ³ÔÚÒ»Æð³ÉΪÏËÎ¬Êø¡£¡£¡£¡£¡£¡£¡£¡£Ëæ×ÅÄêËêµÄÔöÌí£¬ £¬ £¬£¬£¬²»µ«±íƤÀÏ»¯£¬ £¬ £¬£¬£¬ÆäÕæÆ¤ÄÚÒ²ÊǽºÔ­ÏËάÖð½¥ïÔÌ­Ö±ÖÁÏûÊÅ¡£¡£¡£¡£¡£¡£¡£¡£³ÉÏËάϸ°ûÄܱ¬·¢ÈýÖÖÏËά£¬ £¬ £¬£¬£¬Ò»ÖÖÊǽºÔ­ÏËά£¬ £¬ £¬£¬£¬Ò»ÖÖÊǵ¯Á¦ÏËά£¬ £¬ £¬£¬£¬ÉÐÓÐÒ»ÖÖÊÇÍø×´ÏËά¡£¡£¡£¡£¡£¡£¡£¡£ÈôÊÇÊÇÒ»¸öÄêÇáµÄ¹¦Ð§ºÃµÄϸ°û±¬·¢µÄË¿£¬ £¬ £¬£¬£¬¾ÍÊÇǿ׳µÄÊø£¬ £¬ £¬£¬£¬ÕâÑù¶à¸öÊøÔÚÆ¤·ôÄÚÀ £¬ £¬£¬£¬Æ¤·ô¾Í±¥ÂúºÍÓе¯ÐÔÁË¡£¡£¡£¡£¡£¡£¡£¡£¿ÉÊÇÒ²²»ÊǹâÓÐË¿¾ÍÐÐÁË£¬ £¬ £¬£¬£¬ÀýÈç°ÌºÛ£¬ £¬ £¬£¬£¬ÄǾÍÊÇÓÉÓÚÔÓÂÒÎÞÕµĽºÔ­ÂѰ×˿̫¶àÁË£¬ £¬ £¬£¬£¬Ã»ÓнáµÞ×éÖ¯ÐÄÀí½á¹¹¶àÓàµÄ¿Õ¼äÁË£¬ £¬ £¬£¬£¬½ºÔ­ÂѰ×Ë¿½»Ö¯£¬ £¬ £¬£¬£¬¾ÍÐγɽÏÓ²µÄ°ÌºÛ¡£¡£¡£¡£¡£¡£¡£¡£±¬·¢½ºÔ­ÂѰ×Á¿µÄ¼¸¶à£¬ £¬ £¬£¬£¬¾ÍÔÚÓÚÕæÆ¤ÄÚÀïÆäËû½áµÞ×éÖ¯µÄµ÷¿ØºÍÉÏÆ¤Ï¸°ûµÄµ÷¿Ø£¬ £¬ £¬£¬£¬Ò»¸öµ÷¿ØÊÇ¿¿ÉÏÆ¤Ï¸°ûºÍ³ÉÏËάϸ°ûÖ®¼äµÄ¹ØÏµµ÷¿Ø£¬ £¬ £¬£¬£¬ÁíÒ»¸öµ÷¿ØÊÇ¿¿½áµÞ×éÖ¯±£´æÆäËûϸ°ûÄÚÀïµÄµ÷¿Ø¡£¡£¡£¡£¡£¡£¡£¡£½áµÞ×éÖ¯µÄµ÷¿ØÖ÷ÒªÊÇÈËÐàÂõÁËÒԺ󱬷¢ÕâЩÏËάµÄÁ¿ïÔÌ­¡£¡£¡£¡£¡£¡£¡£¡£ÎÒÃÇÕâÀïÖ÷Ҫ˵˵ÉÏÆ¤Ï¸°ûºÍ³ÉÏËάϸ°ûµÄ¹ØÏµ¡£¡£¡£¡£¡£¡£¡£¡£Õý³£Æ¤·ôµÄϸ°û½á¹¹±ÈÀýÊÇ£ºÒ»¸öÉÏÆ¤Ï¸°û±ÈËĸöÏËάϸ°û£¬ £¬ £¬£¬£¬Ò»±ÈËÄ¡£¡£¡£¡£¡£¡£¡£¡£È˵Äñ£ºÛ×éÖ¯ÊÇÒ»¸öÉÏÆ¤Ï¸°û±È¾Å¸öÒÔÉϽºÔ­ÏËάϸ°û¡£¡£¡£¡£¡£¡£¡£¡£³¤°ÌºÛµÄÈ˾ÍÊǽºÔ­ÏËάϸ°ûÔöÉú£¬ £¬ £¬£¬£¬³¤Î®ËõÐ԰̺۵ÄÈËÊǵ¯Á¦ÏËάϸ°ûÔöÉú£¬ £¬ £¬£¬£¬²»ÊǽºÔ­ÏËάϸ°ûÔöÉú¡£¡£¡£¡£¡£¡£¡£¡£¿ÉÊDz»¹ÜƤ·ôÓÐûÓаÌ£¬ £¬ £¬£¬£¬¶¼·ºÆðÉÏÆ¤Ï¸°ûºÍÏËάϸ°ûÒ»±ÈÊ®¼¸ÒÔÉϵĹØÏµ£¬ £¬ £¬£¬£¬Ò»¸öÔöÉúÐ԰̺ÛÊÇÒ»±È¶þÊ®µÄ¹ØÏµ£¬ £¬ £¬£¬£¬Ò²¾ÍÊÇÒ»¸öÉÏÆ¤Ï¸°ûÅäÉ϶þÊ®¸öÏËάϸ°û£¬ £¬ £¬£¬£¬ÄǾÍÊÇÕý·²ÈËÆ¤·ôÐàÂõµÄÔµ¹ÊÔ­ÓÉ¡£¡£¡£¡£¡£¡£¡£¡£
      ÉÏÊöÄÚÈÝ˵Ã÷ÔÙÉú»Ø¸´Ö÷ÒªµÄÊÇÒª»Ö¸´ÆäƤ·ôÕý³£µÄÐÄÀí¹¦Ð§¡£¡£¡£¡£¡£¡£¡£¡£Õý·²ÈËµÄÆ¤·ôÐàÂõÁË£¬ £¬ £¬£¬£¬Òâζ×ÅËûƤ·ôµÄÐí¶à¹¦Ð§È±Ê§ÁË»òÍË»¯ÁË¡£¡£¡£¡£¡£¡£¡£¡£Òò´ËzotyÖÐÅ·ÌåÓýƤ·ôÔÙÉú±ØÐè¿ØÖÆÏ¸°û£¬ £¬ £¬£¬£¬ÈÃϸ°ûǿ׳£¬ £¬ £¬£¬£¬»Ö¸´Õý³£ÐÄÀí¹¦Ð§¡£¡£¡£¡£¡£¡£¡£¡£ÎÒÃÇÔÚʵ¼ùÖÐ¾ÍÆô¶¯Á˽ÇÂѰ×Ê®¾ÅÐ͸Éϸ°û£¬ £¬ £¬£¬£¬ËäȻҲ¿ÉÒÔÆô¶¯½ÇÂѰ×Ê®¾ÅÐÍÒÔϵÄϸ°û¡£¡£¡£¡£¡£¡£¡£¡£ÎÒÃÇÊ×ÏÈ°Ñ±íÆ¤»ùµ×²ãϸ°ûÆô¶¯ÆðÀ´£¬ £¬ £¬£¬£¬Ê¹Ëü¿ÉÒÔÔöÌíÉúÃü»îÁ¦£¬ £¬ £¬£¬£¬ÖØÐÞ£¬ £¬ £¬£¬£¬Í¬Ê±³ÉÏËάϸ°ûÒ²¸üС£¡£¡£¡£¡£¡£¡£¡£Ò»¸ö90ËêµÄÀÏÈË£¬ £¬ £¬£¬£¬»ùÄÚÇé°ûÖ»ÓÐ5%ÊÇÓй¦Ð§µÄ¡£¡£¡£¡£¡£¡£¡£¡£ÈËÒ»µ©ÐàÂõÁË£¬ £¬ £¬£¬£¬Ï¸°û¾ÍÄÑÒÔÔÙÉúµ½×ã¹»µÄÊýÄ¿£¬ £¬ £¬£¬£¬ÒÔÊÇÒ»¶¨Òª°ü¹ÜÔÙÉúÎïÖʵÄÁ¿£¬ £¬ £¬£¬£¬È·±£Ï¸°ûµÄ¹¦Ð§¡£¡£¡£¡£¡£¡£¡£¡£Ò»Ñùƽ³£À´Ëµ£¬ £¬ £¬£¬£¬³ÉÏËάϸ°ûµÄ¹¦Ð§£¬ £¬ £¬£¬£¬Ëæ×ÅÄêËêµÄÔöÌí»á´úлµÍÏ£¬ £¬ £¬£¬£¬Õâ¸öµÍÏÂÖ¸µÄÊDZ¬·¢ÏËάµÄËÙÂʼõÂý¡¢±¬·¢µÄÁ¿ïÔÌ­£¬ £¬ £¬£¬£¬±¬·¢µÄ½ºÔ­ÏËά²»¿ÉÊø¡£¡£¡£¡£¡£¡£¡£¡£Ò»¸öÕý³£Ï¸°û±¬·¢µÄÏËάÈç×óͼËùʾ(ͼ13)£¬ £¬ £¬£¬£¬Ò»¸öÐàÂõµÄϸ°û±¬·¢µÄÏËάÈçÓÒͼËùʾ¡£¡£¡£¡£¡£¡£¡£¡££¨Í¼14£©Õâ¸öÐàÂõµÄϸ°û±¬·¢µÄË¿ÊÇÔÓÂÒÎÞյģ¬ £¬ £¬£¬£¬Ã»Óе¯Á¦£¬ £¬ £¬£¬£¬ÓÖÉ¢ÓÖÉÙ¡£¡£¡£¡£¡£¡£¡£¡£ÈËÀÏÁË£¬ £¬ £¬£¬£¬ÔÚϸ°ûÀﱬ·¢µÄÔ­ÏËά


¾ÍÔÓÂÒÎÞÕ£¬ £¬ £¬£¬£¬³ÉÏËάϸ°ûͳöÀ´µÄÏËάҲ¾Í²»¿ÉÊøÁË¡£¡£¡£¡£¡£¡£¡£¡£ÒÔÊÇËûµÄƤ·ô×éÖ¯ÄÚÀï¾ÍÊÇÆÓªµÄ£¬ £¬ £¬£¬£¬Æ¤·ô¾Í²»½ôÖ¡£¡£¡£¡£¡£¡£¡£¡£ÎÒÃÇÔÙÉúÎïÖʵĹ¦Ð§¾ÍÊÇÒª°ÑÕâÖÖϸ°û²»Õý³£µÄ¹¦Ð§¾ÀÕý¹ýÀ´¡£¡£¡£¡£¡£¡£¡£¡£ÎÒÃÇÒªÔöÌíϸ°ûµÄ»îÐÔ¡£¡£¡£¡£¡£¡£¡£¡£Æ¤·ôÕæÆ¤µÄ±¥Âúˮƽ£¬ £¬ £¬£¬£¬ÊÇ¿¿³ÉÏËάϸ°û»îÁ¦µÄÔöÇ¿À´ÊµÏֵġ£¡£¡£¡£¡£¡£¡£¡£ÔÚ»îÁ¦Ã»ÓÐÔöǿ֮ǰÏȰѱ¬·¢µÄÏËά³ÉÊø£¬ £¬ £¬£¬£¬Ò»±ß³ÉÊø£¬ £¬ £¬£¬£¬Ò»±ß¸üС£¡£¡£¡£¡£¡£¡£¡£ÕâÑù¾Í·ºÆðÒ»¸ö¼á³ÖÄêÇá»Ø¸´×´Ì¬¡£¡£¡£¡£¡£¡£¡£¡£Õâ¸öƤ·ôÔÙÉú»Ø¸´µÄʱ¼äÎÊÌâÉæ¼°´úлʱ¼äÎÊÌâ¡£¡£¡£¡£¡£¡£¡£¡£±íƤµÄ´´ÉËÐÔÐÞ¸´ËÙÂʿ죬 £¬ £¬£¬£¬Ò»Ñùƽ³£7ÌìÐÞ¸´Íê³É¡£¡£¡£¡£¡£¡£¡£¡£Ò»¸öÕý·²ÈËµÄ±íÆ¤ÐÄÀí´úл£¬ £¬ £¬£¬£¬ÔòÊÇ7ÌìÒ»²ã£¬ £¬ £¬£¬£¬»ùµ×²ãµ½½ÇÖʲãÊÇ30²ãϸ°û£¬ £¬ £¬£¬£¬ÈýÆß¶þ°ÙһʮÌì¡£¡£¡£¡£¡£¡£¡£¡£Ò»¸öÍêȫɹºÚµÄÈ˾­ÓÉ210Ìì¿ÉÒԻظ´»ØÔ­À´µÄÑÕÉ«¡£¡£¡£¡£¡£¡£¡£¡£Æ¤·ôÍâòµÄ»ÆºÖ°ß¡¢ÍíÄê°ßÎÒÃǶ¼¿ÉÒÔ½â¾ö£¬ £¬ £¬£¬£¬µ«²»ÊÇÓü¤¹â¡¢¹â×ÓÏûµô¾Í¿ÉÒÔÁË£¬ £¬ £¬£¬£¬ÕâÑù»¹»áÔÙ³¤£¬ £¬ £¬£¬£¬ÓÉÓÚÊÇϸ°ûµÄÒì³£ÊôÐÔû±ä¡£¡£¡£¡£¡£¡£¡£¡£ÎÒÃÇÊÇÓÃÔÙÉú¸Ä±äÕâ¸öϸ°ûµÄÒì³£ÊôÐÔ£¬ £¬ £¬£¬£¬¼¤»î¶þ´ÎÉúÃüϸ°û£¬ £¬ £¬£¬£¬Ê¹Æ¤·ôÔÙÉú»Ø¸´¡£¡£¡£¡£¡£¡£¡£¡£
      ÕæÆ¤µÄ½áµÞ×éÖ¯´úлʱ¼äÒ»Ñùƽ³£Êǰë¸öÔ£¬ £¬ £¬£¬£¬ÕâÒ²ºÍ¼¾½Úת±äÓйØÏµ¡£¡£¡£¡£¡£¡£¡£¡£ÎÒÃÇ´ÓÈËÌåÉÏÊÓ²ì½ÏÁ¿¶àµÄÊÇθ³¦Õ³Ä¤£¬ £¬ £¬£¬£¬µ½3¸öÔµÄʱ¼ä£¬ £¬ £¬£¬£¬Î¸³¦Õ³Ä¤ÏÔ×ű¬·¢Á˸ı䣬 £¬ £¬£¬£¬ÒѾ­¸üС£¡£¡£¡£¡£¡£¡£¡£Î¸³¦Õ³Ä¤ÔöÌíËÙÂÊÊÇ3¸öÔ£¬ £¬ £¬£¬£¬Æ¤·ôÒ²ÊÇÕâÑù£¬ £¬ £¬£¬£¬¿ÉÊÇ»¹Ã»ÓкÜÊÇ׼ȷµÄÊý×Ö¡£¡£¡£¡£¡£¡£¡£¡£±íƤ½ÏÁ¿ÏÔ×Å£¬ £¬ £¬£¬£¬±íƤµÄËðÉËÐÔÐÞ¸´ËÄ´ó²ãÍê³ÉÐèÒª7ÌìµÄʱ¼ä£¬ £¬ £¬£¬£¬ÕâÒ²´Ó±íƤÉÕÉËÐèÒª7Ìì¡¢ÍâòµÄ¼¤¹âÒ²ÊǼ¸ÌìÐÞ¸´¾Í¿ÉÒÔ¿´³öÀ´¡£¡£¡£¡£¡£¡£¡£¡£µ«ÕæÆ¤ÐÞ¸´¶¼ÔÚ3ÖÜÒÔÉÏ£¬ £¬ £¬£¬£¬ÕæÆ¤µÄÔÙÉú£¬ £¬ £¬£¬£¬Ò²Ö»ÓÐÎÒÃÇ×öµ½ÁË£¬ £¬ £¬£¬£¬±ðÈ˶¼Êǰ̺ÛÐÞ¸´¡£¡£¡£¡£¡£¡£¡£¡£±ÈÕæÆ¤ÔÙÉîµÄËðÉË£¬ £¬ £¬£¬£¬Ò»Ñùƽ³£Ò²Ã»ÓÐÁè¼Ý4ÖÜÐÞ¸´µÄ¡£¡£¡£¡£¡£¡£¡£¡£
¡¾Æ¤·ôÔÙÉú»Ø¸´µÄ¶¯ÎïÊÔÑéÊý¾Ý¡¿
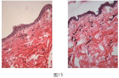
     ÎÒÃÇ×öÁËÃ÷È·ÊóÊÔÑ飬 £¬ £¬£¬£¬Î¹ÑøµÄÁ½ÅúÀÏÊó¶¼ÊÇ300ÌìµÄ³ÉÄê°×Êó£¬ £¬ £¬£¬£¬Ò»×é³ÔÉÅËØ£¬ £¬ £¬£¬£¬10%µÄ£»£»£» £»£»£» £» £»Ò»×é±ÈÕÕ£¬ £¬ £¬£¬£¬Í¬ÑùµÄÁ¿Î¹Ñø£¬ £¬ £¬£¬£¬Î¹µ½826Ì죬 £¬ £¬£¬£¬Î¹ÔÙÉúÎïÖʵÄÕâ×é³ýÈ¥Á½¸öÀ­¶Ç×ÓéæÃüµÄ£¬ £¬ £¬£¬£¬Ê£Ï¶¼ÔÚÊÀ¡£¡£¡£¡£¡£¡£¡£¡£  ¶ø±ÈÕÕµÄÄÇÒ»×飬 £¬ £¬£¬£¬Ö»ÓÐÒ»Ö»»îµ½826Ì죬 £¬ £¬£¬£¬ÆäËû¶¼ÔÚ550Ìì×óÓÒéæÃü¡£¡£¡£¡£¡£¡£¡£¡£°ÑËùÓÐÔàÆ÷×ö×éÖ¯ÇÐÆ¬£¨Í¼15£©£¬ £¬ £¬£¬£¬ÊÔÑé×éÀÏÊóµÄƤ·ô

ÊÇÄêÇáµÄ£¬ £¬ £¬£¬£¬±ÈÕÕ×é¾ÍÊÇÍË»¯µÄ£¬ £¬ £¬£¬£¬ËùÓÐÆ÷¹Ù¶¼ÊÇÒ»Ñù£¬ £¬ £¬£¬£¬³ÔÔÙÉúÎïÖʻ826Ì죬 £¬ £¬£¬£¬Áè¼ÝÕý³£ÀÏÊóÊÙÃüÒ»±¶µÄÀÏÊóµÄƤ·ôÆ÷¹ÙºÍ»îµ½300ÌìµÄÀÏÊóµÄÆ÷¹ÙÊÇÒ»ÑùµÄ£¬ £¬ £¬£¬£¬Ã»ÓÐÐàÂõ¡£¡£¡£¡£¡£¡£¡£¡£ÀÏÊóµÄƽ¾ùÊÙÃüÄêËêÊÇ480Ìì¡£¡£¡£¡£¡£¡£¡£¡£zotyÖÐÅ·ÌåÓýÀÏÊó»îµ½826Ì죬 £¬ £¬£¬£¬Ê£ÏµÄÑøµ½Áè¼ÝһǧÌ죬 £¬ £¬£¬£¬ÒѾ­ÊÇÕý³£ÀÏÊóµÄ½üÈý±¶ÊÙÃüÄêËê¡£¡£¡£¡£¡£¡£¡£¡£ÕâÊÇÎÒÃÇʵÑéµÄЧ¹û£¬ £¬ £¬£¬£¬ÎÒÃÇÔÚÓøü¶àµÄÊÔÑé֤ʵ¡£¡£¡£¡£¡£¡£¡£¡£°´ÀÏÊóµÄÊÙÃüÄêËêÕÛË㣬 £¬ £¬£¬£¬ÔÙÉúÎ¹Ñøµ½200ËêºÍÖÐÄêÊóÊÇÒ»ÑùµÄ£¬ £¬ £¬£¬£¬ÒÀ¾ÉÄêÇá¡£¡£¡£¡£¡£¡£¡£¡£Æ¤·ôÕý³£µÄ»ùÄÚÇé°ûÊÇÖù×´µÄ£¬ £¬ £¬£¬£¬ÀÏ»¯µÄÌåÏÖ¾ÍÊÇ±íÆ¤Ï¸°ûËúÏÝ£¬ £¬ £¬£¬£¬²»´úлÁË£¬ £¬ £¬£¬£¬Ö»Óм¸¸öÊÇÖù×´µÄ¡£¡£¡£¡£¡£¡£¡£¡£ÕæÆ¤¾ÍÊ£¼¸¸ö¿ò¼Ü£¬ £¬ £¬£¬£¬½ºÔ­ÏËάûÓм¸¶à£¬ £¬ £¬£¬£¬Á¬½áµÞ×é֯ҲʣÁ˼¸¸ö¿ò¼Ü£¬ £¬ £¬£¬£¬ÅþÁ¬µÄÏËάҲûÓм¸¶àÁË¡£¡£¡£¡£¡£¡£¡£¡£Ã÷È·Ê󯤷ôÕâ¸öЧ¹û»¹Ö»ÊÇ¿¿¿Ú·þµÖ´ïµÄЧ¹û£¬ £¬ £¬£¬£¬²¢Ã»ÓÐÆ¤·ôÍâÔڵĵ¼È룬 £¬ £¬£¬£¬¾ÍÄִܵïÕâôºÃµÄЧ¹û¡£¡£¡£¡£¡£¡£¡£¡£¿£¿£¿£¿ £¿£¿ £¿ÉÒÔÕâô˵ÀÏÊ󯤷ôÒ»×îÏȾÍÊÇÕâÑù£¬ £¬ £¬£¬£¬ÎÒÃǰÑËüά³ÖסÁË¡£¡£¡£¡£¡£¡£¡£¡£ÈôÊÇÒѾ­ÀÏÁËÏë±äÔ­À´×îÄêÇáÒ²²»Ì«¿ÉÄÜ£¬ £¬ £¬£¬£¬ÓÉÓÚÏËÎ¬ÊøÒѾ­É¢ÁË¡£¡£¡£¡£¡£¡£¡£¡£ÎÒÃÇÓÃÑõÆø°ÑÔÙÉúÎïÖÊ´Ó»ùµ×Ĥµ¼Èë½øÈ¥£¬ £¬ £¬£¬£¬ÕâЩÔÙÉúÎïÖÊÔÙ½øÈë×éÖ¯µÄ¸÷¸ö²¿Î»¡£¡£¡£¡£¡£¡£¡£¡£ËäÈ»ÎÒÃÇÒ²ÈÃÕâЩϸ°û´ÓѪҺÄÚÀï»ñµÃÔÙÉúÎïÖÊ£¬ £¬ £¬£¬£¬·½·¨¾ÍÊǿڷþ¡£¡£¡£¡£¡£¡£¡£¡£ÒÔÊÇzotyÖÐÅ·ÌåÓý»áËùÆ÷¹ÙÔÙÉúÊÇÈ«ÏîµÄ£¬ £¬ £¬£¬£¬¶ø²»ÊǼòµ¥ÏîÄ¿£¬ £¬ £¬£¬£¬ÒÔÉÏÄÚÈÝÖ÷ÒªÊÇÕë¶ÔƤ·ôµÄ¡£¡£¡£¡£¡£¡£¡£¡£
      ÕâÊÇÆ¤·ôÄÚÀïÒ»¸ö³ÉÏËάϸ°û±¬·¢Ë¿È»ºóÍÂË¿£¨Í¼16£©£¬ £¬ £¬£¬£¬µ«ÐàÂõµÄϸ°û¾ÍͲ»³öË¿À´£¬ £¬ £¬£¬£¬ÈçÏëÄêÇᣬ £¬ £¬£¬£¬¾Í±ØÐèÈÃËü¾ÙÐÐ×ÔÎÒ¸üС£¡£¡£¡£¡£¡£¡£¡£ÎÒÃÇÒª×öµÄ¾ÍÊǰѳÉÏËάϸ°ûÄð³É³ÉÏËάĸϸ°û¡£¡£¡£¡£¡£¡£¡£¡£ÒªÍ¨¹ýƤ·ô×éÖ¯ÄÚÀïµÄ¼äÖÊϸ°û£¬ £¬ £¬£¬£¬Æô¶¯µÚ¶þ´ÎÉúÃüϸ°û£¬ £¬ £¬£¬£¬ÈüäÖÊϸ°û±¬·¢ÐµijÉÏËάĸϸ°û£¬ £¬ £¬£¬£¬¶ø²»ÊÇʹÓÃÕâЩ³ÉÏËάϸ°ûµÄµÚÒ»´ÎÉúÃü£¬ £¬ £¬£¬£¬¸ü²»ÊÇÓɳÉÏËάϸ°ûÄð³É³ÉÏËάĸϸ°û¡£¡£¡£¡£¡£¡£¡£¡£ÕâÀïµÄ³ÉÏËάĸϸ°û¾ÍÊÇÖ¬·¾½áµÞ×éÖ¯ÄÚÀïµÄ¼äÖÊϸ°û±¬·¢µÄ¡£¡£¡£¡£¡£¡£¡£¡£

     ¡¾Æ¤·ôÔÙÉúµÄϸ°ûѧת±ä¡¿
      Ƥ·ôÉÏÆ¤Ï¸°ûȪԴÓÚ½ÇÂѰ×19ÐÍ£¬ £¬ £¬£¬£¬½ÇÂѰ×19ÐÍϸ°û¿ÉÒÔ´Ó¼äÖÊϸ°ûת±ä£¬ £¬ £¬£¬£¬¿ÉÒÔ´ÓÈâÑ¿×é֯ת±ä£¬ £¬ £¬£¬£¬Ò²¿ÉÒÔ´Ó¹ÇËèϸ°ûת±ä¡£¡£¡£¡£¡£¡£¡£¡£ÎÒÃÇÔÚ¹ÇÍ·ÉÏ´òÉϿף¬ £¬ £¬£¬£¬È¡ÈâÑ¿Á¬Ã¦È¥×öϸ°ûÅжÏ£¬ £¬ £¬£¬£¬ºÜ¿ì¾Í»á·ºÆð½ÇÂѰ×19ÐÍ¡£¡£¡£¡£¡£¡£¡£¡£±È¼°ÈâÑ¿×é֯ƽÁË£¬ £¬ £¬£¬£¬ÂíÉϾÍÄð³É½ÇÂѰ×19ÐÍÆ¤·ôϸ°û£¬ £¬ £¬£¬£¬Í¬Ê±Ò²»á·¢ÌìÉúÏËάĸϸ°û¡£¡£¡£¡£¡£¡£¡£¡£Ò»¶¨ÒªÊ¼ÖÕ¼á³ÖÕæÆ¤×éÖ¯ÄÚÀïÓгÉÏËάĸϸ°ûÐèÒªµÄÔÙÉúÎïÖÊ£¬ £¬ £¬£¬£¬²Å»ª¼¤»î³ÉÏËάĸϸ°û£¬ £¬ £¬£¬£¬»òÕß±£ÑøºÃÕâÖÖϸ°û£¬ £¬ £¬£¬£¬Ê¹Ëü±¬·¢ÐµĽºÔ­Ä¸Ï¸°û¡£¡£¡£¡£¡£¡£¡£¡£ÍíÄêÈËÒѾ­ÓÐÁËÐàÂõµÄÏËάϸ°û£¬ £¬ £¬£¬£¬ÎÒÃǾÍÓõ¼ÈëÔÙÉúÎïÖʵÄÒªÁìʹÕâÏËάÔÙ³ÉÊø£¬ £¬ £¬£¬£¬Ò»±ßÈÃËü³ÉÊø£¬ £¬ £¬£¬£¬Ò»±ßÔÙÈóÉÏËάĸϸ°û³É»î£¬ £¬ £¬£¬£¬¸üУ¬ £¬ £¬£¬£¬È¡´úÕâЩÐàÂõµÄ³ÉÏËάϸ°û£¬ £¬ £¬£¬£¬±¬·¢¸ü¶àµÄÏËά¡£¡£¡£¡£¡£¡£¡£¡£Õâ¸öʱ¼äºÜÂý£¬ £¬ £¬£¬£¬°ëÄêÄܹ»ÊÕЧ£¬ £¬ £¬£¬£¬ÓÉÓÚ»¹Òª°ÑÐàÂõµÄÏËÎ¬ÊøÎüÊÕ½µ½âµô£¬ £¬ £¬£¬£¬¶øÕâÖÖÏËÎ¬Êø»áËæ×ÅzotyÖÐÅ·ÌåÓýÖ¬·¾Ëá´úл¶øÎüÊÕ£¬ £¬ £¬£¬£¬¾¿¾¹¶à³¤Ê±¼ä²ÅÍêÈ«¿¢Ê£¬ £¬ £¬£¬£¬Ê±¼ä»¹²»¸ÒÈ·¶¨¡£¡£¡£¡£¡£¡£¡£¡£ÏÖÔÚÖ»ÄÜ˵°ëÄêʱ¼ä»áÓÐÒ»¸ö½ÏΪÏÔ×ŵÄЧ¹û¡£¡£¡£¡£¡£¡£¡£¡£×èÖ¹ÔÙÍâÐÐÒÕ²Ù×÷£¬ £¬ £¬£¬£¬¾Í»á×èÖ¹ÔÚÆäʱµÄÔÙÉú»Ø¸´×´Ì¬¡£¡£¡£¡£¡£¡£¡£¡£³¤Ê±¼ä²»×öÆ÷¹ÙÔÙÉú»Ø¸´£¬ £¬ £¬£¬£¬¾Í»áÔÚÒѾ­»ñµÃÔÙÉúµÄ»ù´¡ÉϼÌÐøÀÏ»¯¡£¡£¡£¡£¡£¡£¡£¡£ÓÉÓÚÆ¤·ôµÄ´úлÊÇ7ÌìÒ»²ã£¬ £¬ £¬£¬£¬ÎÒÃǾÍÊÇÓÃÕâÖÖÈÝÒ×´úл¿ÉÒÔËæÁܰͽøÈëѪҺµÄÔÙÉúÎïÖÊ£¬ £¬ £¬£¬£¬µÖ´ï7¡ª10Ìì¾Í´úлµô¡£¡£¡£¡£¡£¡£¡£¡£ÈôÊÇ2¡ª3¸öÔÂûÓÐ×öÔÙÉú»Ø¸´ÑøÉú£¬ £¬ £¬£¬£¬Æ¤·ôÈÔÌåÏÖÔÚÔÙÉúºóµÄ״̬£¬ £¬ £¬£¬£¬ËµÃ÷Ƥ·ôϸ°ûÒѾ­ÔÙÉúÁË¡£¡£¡£¡£¡£¡£¡£¡£¿ÉÊÇûÓÐÒ»Á¬µÄÔÙÉúÓªÑø£¬ £¬ £¬£¬£¬Ï¸°û¶öÁË£¬ £¬ £¬£¬£¬¾Í²»»á¼ÌÐøÔÙÉúÁË¡£¡£¡£¡£¡£¡£¡£¡£ÎÒÃÇÒªÏíÊܵľÍÊǵڶþ´ÎÔÙÉúÉúÃü¡£¡£¡£¡£¡£¡£¡£¡£ÈôÊÇ×èÖ¹ÁËÔÙÉúÓýÉú£¬ £¬ £¬£¬£¬Ëü¾Í»áÔÚÏÖÓеĻù´¡ÉϼÌÐøÀÏ»¯¡£¡£¡£¡£¡£¡£¡£¡£

     ÎÒÃÇÕâÀï˵µÄÊdzÉÏËάϸ°û£¬ £¬ £¬£¬£¬²»ÊdzÉÏËάĸϸ°û(ͼ17-A£©¡£¡£¡£¡£¡£¡£¡£¡£Ä¸Ï¸°ûÔÚÆ¤·ôÕæÆ¤ÄÚÀïʱ¿Ì±£´æ¡£¡£¡£¡£¡£¡£¡£¡£Ëæ×ÅÄêËêµÄÔöÌí£¬ £¬ £¬£¬£¬Ä¸Ï¸°û¡¢¸Éϸ°ûÔ½À´Ô½ÉÙ¡£¡£¡£¡£¡£¡£¡£¡£ÏÖÔÚÎÒÃÇÊÇÒª¼¤»îºÍÆô¶¯Ëü¡£¡£¡£¡£¡£¡£¡£¡£¾ÍÏñÔÚÉÕÉ˵ÄÍâòÔõÑù³¤³öÐÂµÄÆ¤·ô¡£¡£¡£¡£¡£¡£¡£¡£¼ÝÔ¦ËüµÄÉú³¤£¬ £¬ £¬£¬£¬ÐèÒªÌõ¼þµÄÅäºÏ¡£¡£¡£¡£¡£¡£¡£¡£Ò»¸ö³ÉÏËάϸ°û£¬ £¬ £¬£¬£¬Ëæ×ÅÐàÂõ£¬ £¬ £¬£¬£¬·ºÆð¿ÕÅÝ¡¢ÆÓª£¬ £¬ £¬£¬£¬Ï¸°ûºËÉøÍ¸Ò²²»ÐËÍú£¬ £¬ £¬£¬£¬Ï¸°ûÖÊÀïµÄÔ­½ºÔ­ÏËάÔÓÂÒÎÞÕ¡£¡£¡£¡£¡£¡£¡£¡£ÏÈ˵ϸ°ûºË£¬ £¬ £¬£¬£¬ÔÙÉúÎïÖʱ»µ¼Èëϸ°ûºó£¬ £¬ £¬£¬£¬Ï¸°ûºËĤ±äΪ¹æÕûµÄ£¬ £¬ £¬£¬£¬ËäÈ»ËüÊÇÐàÂõµÄ£¬ £¬ £¬£¬£¬µ«¾­ÓÉÔÙÉúÎïÖʵÄÓªÑøÇ¿ÐÄ£¬ £¬ £¬£¬£¬ÓÖÓÐÁËÄÜÁ¿¡£¡£¡£¡£¡£¡£¡£¡£´ÓÔ­½ºÔ­ÏËά˵£¬ £¬ £¬£¬£¬Ï¸°ûÖÊÄÚÀïµÄÔ­½ºÔ­Ã»Í³öÀ´Ö®Ç°ÊÇÔÓÂÒÎÞյģ¬ £¬ £¬£¬£¬¾­ÓÉzotyÖÐÅ·ÌåÓýÔÙÉúÎïÖʵĵ¼È룬 £¬ £¬£¬£¬Ï¸°ûͳöµÄ½ºÔ­ÏËά¾Í˳ÁË£¬ £¬ £¬£¬£¬ÕâÊÇϸ°ûÄÚÀïµÄ״̬¡£¡£¡£¡£¡£¡£¡£¡£µ¼ÈëÔÙÉúÎïÖʺó³ÉÏËάϸ°ûÄÚµÄת±ä(ͼ17-B)£¬ £¬ £¬£¬£¬Ï¸°ûÄÚÏËάÓÐÐò£¬ £¬ £¬£¬£¬Ï¸°ûÉú³¤ÐËÍú¡£¡£¡£¡£¡£¡£¡£¡£ÔÙÉúÎïÖʵ¼ÈëÖ®ºó£¬ £¬ £¬£¬£¬Ï¸°ûµÄÄÜÁ¿¾ÍÔöÇ¿ÁË£¬ £¬ £¬£¬£¬´úлÐËÍú£¬ £¬ £¬£¬£¬×Ô¶¯µÄµ÷ÀíÏËά¡£¡£¡£¡£¡£¡£¡£¡£ÓÉÓÚ½ºÔ­ÏËάÂѰ×ÔÚÔ­½ºÔ­Ê±ÆÚÊÇͨÏ꾡°ûÄÚÀïµÄ°±»ùËá¡¢Ö¬·¾ËáµÄ´úлÐγɵġ£¡£¡£¡£¡£¡£¡£¡£ÈËÌåÓÐ8ÖÖ±ØÐè°±»ùËᣬ £¬ £¬£¬£¬½ºÔ­ÏËάÂѰ׾ÍÕ¼ÓÐ7ÖÖ£¬ £¬ £¬£¬£¬Í¬Ê±»¹¶àÁËÒ»Ñùƽ³£²»´úлµÄôǸ¬°±Ëá¡£¡£¡£¡£¡£¡£¡£¡£°±»ùËá´úлÊÇϸ°û×ÔÉíµÄÄÜÁ¦£¬ £¬ £¬£¬£¬ÓÉÓÚϸ°ûµÄÐàÂõ£¬ £¬ £¬£¬£¬ÏßÁ£Ì幦ЧÏ÷Èõ£¬ £¬ £¬£¬£¬±¬·¢²»ÁËϸ°ûºÏ³ÉºÍÐèÒªµÄATPÄÜÁ¿£¬ £¬ £¬£¬£¬ºÏ³ÉµÄÏËά¾ÍÔÓÂÒÎÞÕ¡£¡£¡£¡£¡£¡£¡£¡£¶øÏËάºÏ³ÉÍêÁË£¬ £¬ £¬£¬£¬²ÅÜöÝÍÆðÀ´×éÖ¯Êä³ö¡£¡£¡£¡£¡£¡£¡£¡£ÒÔÊÇ˵һ¸öÐàÂõµÄ½ºÔ­ÏËάϸ°ûͳöµÄ¾ÍÊÇȱÉÙÕ³ÐÔµÄË¿¡£¡£¡£¡£¡£¡£¡£¡£½ºÔ­ÂѰ×Ë¿ÊÇÒÔ½ºÔ­ÂѰ×ΪÖ÷£¬ £¬ £¬£¬£¬¿ÉÊÇË¿ºÍ˿֮¼äµÄÅþÁ¬ÊÇÒ»ÖÖÖ¬·¾Ëᣬ £¬ £¬£¬£¬Õâ¸öÖ¬·¾Ëá±ØÐèÊÇ¿ÉÈÜÐԵģ¬ £¬ £¬£¬£¬¿É´úлµôµÄ£¬ £¬ £¬£¬£¬²»»á¡°¸Æ»¯¡±µÄ¡£¡£¡£¡£¡£¡£¡£¡£µ¼ÈëÔÙÉúÎïÖÊÖ®ºó£¬ £¬ £¬£¬£¬Ë¿ºÍ˿֮¼äÂíÉϾÍÁ¬ÔÚÒ»Æð³ÉÊø¡£¡£¡£¡£¡£¡£¡£¡£¿µ½¡µÄϸ°ûͳöÀ´µÄ²ÅÊÇÊø£¬ £¬ £¬£¬£¬²»¿µ½¡µÄϸ°ûͳöÀ´µÄÖ»ÊÇË¿¡£¡£¡£¡£¡£¡£¡£¡£zotyÖÐÅ·ÌåÓý·¢Ã÷ÊÇÔÚÉÕÉËÉÏ·¢Ã÷²¢Ñо¿³öÀ´µÄ¡£¡£¡£¡£¡£¡£¡£¡£ÎÒÃÇÓÃÖÖÖÖ²½·¥°ÑÕâÖÖÔÙÉúÎïÖʵ¼ÈëÆ¤·ô£¬ £¬ £¬£¬£¬È¡³ö²¿·Öϸ°ûÆÊÎö£¬ £¬ £¬£¬£¬Æ¤·ôÔÚת±ä£¬ £¬ £¬£¬£¬µ¼ÈëǰºÍµ¼ÈëºóÍêÈ«²»ÊÇÒ»¸öÑù¡£¡£¡£¡£¡£¡£¡£¡£ÏÖÔ򵀮÷¹ÙÔÙÉú»Ø¸´Ò²ÊÇÒ»¸öÔ­Àí£¬ £¬ £¬£¬£¬Ðí¶àÖåÎÆ£¬ £¬ £¬£¬£¬µ¼ÈëÔÙÉúÎïÖʺó£¬ £¬ £¬£¬£¬»á±ädz£¬ £¬ £¬£¬£¬ÉõÖÁÏûÊŲ»ÔÙÐèÒª»¯×±¡£¡£¡£¡£¡£¡£¡£¡£×îÖÕµÄÄ¿µÄÄØ£¬ £¬ £¬£¬£¬ÊÇÒª°Ñ²»Õý³£µÄϸ°û±äΪÕý³£µÄϸ°û¡£¡£¡£¡£¡£¡£¡£¡£´ÓÍâòµÄ¸ÐÊÜÄØ£¬ £¬ £¬£¬£¬¾ÍÊÇ°ÑÆ¤·ôÄð³ÉÕý³£µÄÊø¡£¡£¡£¡£¡£¡£¡£¡£¿£¿£¿£¿ £¿£¿ £¿ÉÒÔ˵Ƥ·ôºñ¶ÈÒ»Ñùƽ³£ËæÄêËêÔöÌí»áÔ½À´Ô½±¡£¬ £¬ £¬£¬£¬¶øÎÒÃÇÒ»¶¨ÒªÈÃÆ¤·ô±äºñ²ÅÕæµÄµÖ´ïЧ¹û¡£¡£¡£¡£¡£¡£¡£¡£Õâ¸ö±äºñÊÔÑéÒѾ­×ö³öÀ´ÁË£¬ £¬ £¬£¬£¬ÏÂÃæ¾ÍÊÇijŮʿµÄÁ³£¬ £¬ £¬£¬£¬ÊÇzotyÖÐÅ·ÌåÓý¹æ·¶±ê×¼£¨Í¼18£©£¬ £¬ £¬£¬£¬

Õâ¸öƤ·ôÔÙÉú»Ø¸´ÊÇÁ½¸öԶ࣬ £¬ £¬£¬£¬²»µ½Èý¸öÔ£¬ £¬ £¬£¬£¬¸÷ÈË¿´Õâ¸öÁ³ÐÍ£¬ £¬ £¬£¬£¬Ô­À´µÄƤ·ôÊÇÔ­À´µÄÃÀÈÝЧ¹û£¬ £¬ £¬£¬£¬ÕÕÆ¬¶¼ÊÇÆ¤·ôÍâòϴåªÇå½àÒÔºóÅÄÉãµÄ£¬ £¬ £¬£¬£¬¿ÉÒÔ¿´µ½£¬ £¬ £¬£¬£¬Íâò²»Æ½»¬£¬ £¬ £¬£¬£¬¿´ÉÏÈ¥Ãæ²¿ÍâòÓÉÓÚͿĨ»¯×±Æ·ºÜÁÁ£¬ £¬ £¬£¬£¬ÏÖʵÊǸߵͲ»Æ½µÄ£¬ £¬ £¬£¬£¬Ç°ÃæÒѾ­ÏÈÈݹý£¬ £¬ £¬£¬£¬ÒѾ­ÕûÀíµ½¿ÅÁ£²ãÁË£¬ £¬ £¬£¬£¬°Ñ½Ç»¯²ã¶¼ÕûÀíÁË£¬ £¬ £¬£¬£¬±ØÐèÔÚÆ¤·ôÍâòͿĨ»¯×±Æ·¡£¡£¡£¡£¡£¡£¡£¡£´ËºóÃæµÄÕÕÆ¬ÄØ£¬ £¬ £¬£¬£¬¾ÍÊÇÕû¸öƤ·ôºñ£¬ £¬ £¬£¬£¬ÊÇ±íÆ¤µÄºñ¶ÈÍê³ÉÁË£¬ £¬ £¬£¬£¬Óɼ¬²ã¡¢¿ÅÁ£²ãºÍ½Ç»¯²ã×é³É¡£¡£¡£¡£¡£¡£¡£¡£¶ø½Ç»¯²ãÆðµ½¿´²»¼ûµÄÆÁÕÏ×÷Ó㬠£¬ £¬£¬£¬ÕâÊÇ´ÓÍâòÀ´¿´¡£¡£¡£¡£¡£¡£¡£¡£´ÓÕæÆ¤À´¿´£¬ £¬ £¬£¬£¬ÄÇÊǺñ±¡µÄ²î±ð£¬ £¬ £¬£¬£¬´ÓÎÒÃÇÕâ¸öͼƬÉÏÀ´¿´£¬ £¬ £¬£¬£¬Ëæ×ÅÄêËêÔöÌíÆ¤·ô»áËúÏÝ£¬ £¬ £¬£¬£¬ÓÐÁ½ÖÖËúÏÝ£ºÒ»¸öÊÇÆ¤ÏÂ×éÖ¯ËúÏÝ£¬ £¬ £¬£¬£¬ÊǼ¡ÈâºÍÖ¬·¾×é֯ήËõ£»£»£» £»£»£» £» £»Ò»¸öÊÇÆ¤·ôËúÏÝ£¬ £¬ £¬£¬£¬Æ¤·ôËúÏÝÊÇÏÂ×¹£¬ £¬ £¬£¬£¬Æ¤·ôÒ»ÏÂ×¹¾Í³Å²»ÆðÀ´£¬ £¬ £¬£¬£¬ºóÃæÕâÕÅÕÕÆ¬ÊÇÔÙÉú²»µ½Èý¸öԵģ¬ £¬ £¬£¬£¬¿ÉÒÔ¿´³öƤ·ô³ÅÆðÀ´ÁË£¬ £¬ £¬£¬£¬×îÄÑ¿°µÄ¾ÍÊÇÆ¤·ô³ÅÆðÀ´µÄ±¥Âú£¬ £¬ £¬£¬£¬ÒªÒ»Á¬¼á³ÖÕâÑù±¥ÂúÄǾͽâ¾öÎÊÌâÁË¡£¡£¡£¡£¡£¡£¡£¡£ÈôÊÇÒ»¸öÈýÊ®¼¸ËêµÄÈË£¬ £¬ £¬£¬£¬Æ¤·ô»¹Ã»ÓÐÏÂ×¹£¬ £¬ £¬£¬£¬ÄǾÙÐÐÔÙÉú¾Í¿ÉÒÔ¼á³ÖÁË£¬ £¬ £¬£¬£¬¾ÍÏñÎÒÃÇÒѾ­ÀÖ³ÉÁ˵ÄÃ÷È·ÊóÊÔÑéÒ»Ñù£¬ £¬ £¬£¬£¬¿ÉÒÔ¼á³ÖÁË¡£¡£¡£¡£¡£¡£¡£¡£ÄÇЩƤ·ôÒѾ­ÐàÂõµÄÎÒÃÇ¿ÉÒÔÈÃÆ¤·ô»Ö¸´¡£¡£¡£¡£¡£¡£¡£¡£´Ó¾±²¿À´Ëµ£¬ £¬ £¬£¬£¬Ô­À´µÄÕÕÆ¬ËúÏݵúÜÏÔ×Å£¨Í¼19£©£¬ £¬ £¬£¬£¬ÎÒÃÇ¿ÉÒÔÈÃÆ¤·ô±äµÃ±¥Âú£¬ £¬ £¬£¬£¬µ«±ØÐèʼÖÕ°ü¹Üÿһ´Î¶¼½«ÔÙÉúÎïÖʵ¼Èë½øÈ¥£¬ £¬ £¬£¬£¬µ¼Èë²»µ½Æ¤·ôÄÚϸ°û¾ÍûÓÐÔÙÉúÓªÑøÁË£¬ £¬ £¬£¬£¬Ò»µ©×èÖ¹Æ÷¹ÙÔÙÉúƤ·ô¾Í²»ÔÙ¼á³ÖÔÙÉúµÄ×î¼Ñ״̬ÁË£¬ £¬ £¬£¬£¬µ«²»»á»Øµ½ÔÙÉúǰµÄ״̬¡£¡£¡£¡£¡£¡£¡£¡£¾±²¿Æ¤·ôºÜÊÇËÉи£¬ £¬ £¬£¬£¬ÓëÃæ²¿Æ¤·ô×éÖ¯²î±ð£¬ £¬ £¬£¬£¬Ã沿ÒÔ½ºÔ­ÏËάΪÖ÷£¬ £¬ £¬£¬£¬¾±²¿µ¯Á¦ÏËάÔö¶àÁË£¬ £¬ £¬£¬£¬Í¬Ñùµ¼ÈëÔÙÉúÎïÖÊ£¬ £¬ £¬£¬£¬ÔÚÃæ²¿¿É±¬·¢´ó×Ú½ºÔ­ÂѰ×£¬ £¬ £¬£¬£¬ÔÚ¾±²¿±¬·¢½ÏÉÙ£¬ £¬ £¬£¬£¬ÓÉÓÚ¾±²¿µ¯Á¦ÏËά¶à£¬ £¬ £¬£¬£¬Õâ¾ÍÊÇΪʲôÏÖÔÚ¾±²¿Ð§¹û»á²îÒ»µã£¬ £¬ £¬£¬£¬ÎÒÃÇδÀ´µ¼ÈëÔÙÉúÎïÖʵÄÁ¿£¬ £¬ £¬£¬£¬¾±²¿ÒªÁè¼ÝÃæ²¿2¡ª3±¶£¬ £¬ £¬£¬£¬²Å»ªÆðµ½¸üºÃµÄµ¼Èë×÷Óᣡ£¡£¡£¡£¡£¡£¡£
      ÒÔÉÏÊÇ»ùÀ´Ô´Àí£¬ £¬ £¬£¬£¬Æ¤·ô¼ÈÈ»¶¼ÄÜÔÙÉú£¬ £¬ £¬£¬£¬É«°ß¡¢ÍíÄê°ßìî³ý¾Í¸üÈÝÒ×½â¾öÁË£¬ £¬ £¬£¬£¬°üÀ¨·Û´Ì¡¢Ö¬·¾Á£µÈͨ³£Òì³£µÄ£¬ £¬ £¬£¬£¬²»¹ÜºÎµÈÑÏÖØ£¬ £¬ £¬£¬£¬Ö»ÒªÄÜÔÙÉú³öÐÂµÄÆ¤·ô¾ÍÍêÈ«¿ÉÒÔ½â¾ö¡£¡£¡£¡£¡£¡£¡£¡£

¡¾ÍøÕ¾µØÍ¼¡¿¡¾sitemap¡¿