zotyÖÐÅ·ÌåÓý

English zotyÖÐÅ·ÌåÓý¼¯ÍÅÆóÒµÓÊÏä

µÚÈý½Ú ÉÕÉËʪÐÔÒ½ÁÆÊÖÒÕ¶ÔÉÕÉËÈ«ºñƤ£¨ÕæÆ¤£©»µËÀ´´ÃæÆ¤·ô ÐÄÀíÔÙÉúµÄ×é֯ѧÊӲ졪µä·¶²¡ÀýÏÈÈÝ

×÷ÕߣºÖйúÖÐÎ÷ҽ͎áѧ»áÉÕÉËרҵίԱ»á ³öÊéÉ磺ÖйúÒ½Ò©¿Æ¼¼³öÊéÉç ¿¯ÐÐÈÕÆÚ£º2000Äê6ÔÂ

»¼ÕßÀî¡Á¡Á Å®20Ëê ÆûÓÍÉÕÉË35%TBSA£¨Éî¢ò¶ÈÉîÐÍ15% dz¢ó¶È20%£©¡£¡£¡£¡£¡£ ¡£¡£ ¡£

É˺ó12h¼±ÕïÈëÔº£¬ £¬ £¬£¬£¬£¬£¬¼ì²éË«ÏÂ֫Ϊdz¢ó¶ÈÉÕÉË¡£¡£¡£¡£¡£ ¡£¡£ ¡£´´Ãæ±íƤÒÑ»µËÀ°þÍÑ£¬ £¬ £¬£¬£¬£¬£¬ÕæÆ¤²ã±äÐÔ»µËÀ³ÊÀ¯»ÆÉ«ºÍÀ¯°×É«Ïà¼ä£¨Í¼5-3-1£©¡£¡£¡£¡£¡£ ¡£¡£ ¡£È¡¾Ö²¿×éÖ¯×ö²¡ÀíÇÐÆ¬¼ì²é£¬ £¬ £¬£¬£¬£¬£¬ÏÔʾÉÏÆ¤×é֯ȫ²ã»µËÀ£¬ £¬ £¬£¬£¬£¬£¬ÕæÆ¤²ã½ºÔ­ÏËά±äÐÔ£¬ £¬ £¬£¬£¬£¬£¬½á¹¹ÔÓÂÒ£¬ £¬ £¬£¬£¬£¬£¬Î¢Ñ­»·ðöÖÍ£¨Í¼5-3-2£©¡£¡£¡£¡£¡£ ¡£¡£ ¡£

ÈëÔººóÁ¬Ã¦ÓÃMEBOÍâÍ¿±£»£»£»£»£»¤´´Ã棬 £¬ £¬£¬£¬£¬£¬²¢Ðиû×÷¼õÕÅ´¦Öóͷ£¡£¡£¡£¡£¡£ ¡£¡£ ¡£É˺ó48h²¿·Ö´´Ãæ×îÏÈÒº»¯£¬ £¬ £¬£¬£¬£¬£¬É˺ó4Ìì´´Ãæ»µËÀ×éÖ¯ÒÑËùÓÐ×îÏÈÒº»¯£¨Í¼5-3-3£©¡£¡£¡£¡£¡£ ¡£¡£ ¡£Ã¿3¡«4hɨ³ý´´ÃæÒº»¯ÎïÒ»´Î²¢ÍâÍ¿MEBO¡£¡£¡£¡£¡£ ¡£¡£ ¡£

ԭλÇÐÈ¡´´Ãæ×éÖ¯²¡ÀíÇÐÆ¬¼ì²é£¬ £¬ £¬£¬£¬£¬£¬¼û»µËÀÉÏÆ¤×éÖ¯¼äÓдó×Ú¿ÅÁ£Ñù×éÖ¯£¬ £¬ £¬£¬£¬£¬£¬ÐÂÉúÉÏÆ¤Ï¸°ûºÍ½ºÔ­ÏËά×éÖ¯³ÊÍÅÑùÔöÉú£¬ £¬ £¬£¬£¬£¬£¬²¢¿É¼ûµ½µä·¶µÄÀàËÆÓÚÌ¥¶ùƤ·ô½á¹¹µÄƤ·ôÅßÌ¥»ù(embryonic base,EB)(ͼ5-3-4a,5-3-4b)¡£¡£¡£¡£¡£ ¡£¡£ ¡£MEBTÖÎÁÆ10Ììºó£¬ £¬ £¬£¬£¬£¬£¬ÔÚ´´Ãæ±ßÑØÈ¡ÉÏÆ¤×éÖ¯²¡ÀíÇÐÆ¬¿É¼ûµ½½ÏԭʼµÄÉÏÆ¤×éÖ¯¡£¡£¡£¡£¡£ ¡£¡£ ¡£

MEBTÖÎÁÆ20Ì죬 £¬ £¬£¬£¬£¬£¬Éî¶È´´Ãæ´¦×éÖ¯ÇÐÆ¬¿É¼ûÐÂÉú½ÏÍêÕûµÄ¸´²ãÁÛ×´ÉÏÆ¤×éÖ¯£¬ £¬ £¬£¬£¬£¬£¬±íƤ²ãϸ°ûÐÎ̬ÒѾ­Ç÷ÓÚÕý³££¬ £¬ £¬£¬£¬£¬£¬ÕæÆ¤²ã½ºÔ­ÏËάϸ°ûºÍ΢Ѫ¹ÜÐÎ̬ÒѾ­·ºÆð¡£¡£¡£¡£¡£ ¡£¡£ ¡£

ÖÎÁÆ30Ììºó£¬ £¬ £¬£¬£¬£¬£¬´´ÃæÉÏÆ¤×éÖ¯ÔÙÉúÐÞ¸´ÓÅÒ죨ͼ5-3-5£©£¬ £¬ £¬£¬£¬£¬£¬Æ¤·ô½á¹¹ÒѾ­»ù±¾Õý³££¨Í¼5-3-6£©¡£¡£¡£¡£¡£ ¡£¡£ ¡£

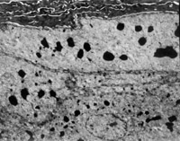
1. ×éÖ¯»¯Ñ§¼°ÃâÒß×éÖ¯»¯Ñ§È¾É«¼ì²é MEBT/MEBOÖÎÁÆ20Ììºó´´Ãæ×éÖ¯»¯Ñ§È¾É«£¬ £¬ £¬£¬£¬£¬£¬ÉÏÆ¤×éÖ¯ºÍƤÏÂ×éÖ¯ÖнºÔ­ÏËάÇåÎú¿É¼û¡£¡£¡£¡£¡£ ¡£¡£ ¡£

ÊÈÒøÈ¾É«£¬ £¬ £¬£¬£¬£¬£¬ÏÔÊ¾Íø×´ÏËάÔÙÉúÑÄÔ¾¡£¡£¡£¡£¡£ ¡£¡£ ¡£Æ¤ÏÂ×é֯СѪ¹ÜÖÜÎ§Íø×´ÏËά×éÖ¯½ÏÁ¿Õý³£¡£¡£¡£¡£¡£ ¡£¡£ ¡£»£»£»£»£»ùµ×²ã»îÔ¾ÔÙÉú£¨Í¼5-3-7¡«5-3-8£©¡£¡£¡£¡£¡£ ¡£¡£ ¡£

MEBT/MEBOÖÎÁÆ30Ììºó£¬ £¬ £¬£¬£¬£¬£¬ÔÙÉúÐÞ¸´µÄÉÏÆ¤×éÖ¯¾ÙÐÐϸ°û½ÇÖÊËØAE3¼ì²éΪÑôÐÔ£¬ £¬ £¬£¬£¬£¬£¬±íƤ¿ÅÁ£²ãϸ°ûÖʳÊ×ØÉ«È¾É«£¬ £¬ £¬£¬£¬£¬£¬Ï¸°ûºË³ÊÀ¶É«£¨Í¼5-3-9¡«5-3-6£©£¬ £¬ £¬£¬£¬£¬£¬Ö¤ÊµÎª×ÔÉíÔÙÉúµÄ¸´²ãÁÛ×´ÉÏÆ¤¡£¡£¡£¡£¡£ ¡£¡£ ¡£

AE1ȾɫÏÙÉÏÆ¤ÂѰ×ÒõÐÔ¡£¡£¡£¡£¡£ ¡£¡£ ¡£´ËÕ÷Ïó˼Á¿Îªº¹ÏÙÉÏÆ¤Ï¸°ûÒÑת»¯Îª±íƤ¸Éϸ°û£¨Í¼5-3-11£©¡£¡£¡£¡£¡£ ¡£¡£ ¡£

2. µç¾µÊÓ²ì ÊÜÉ˵±ÈÕÉÏÆ¤×éÖ¯±äÐÔ»µËÀ£¬ £¬ £¬£¬£¬£¬£¬¿É¼ûµ¥ºËϸ°ûºËÆ«ÒÆ¡¢¹ÌËõ£¬ £¬ £¬£¬£¬£¬£¬²¢ÓÐÍÌÊÉÕ÷Ïó£¨Í¼5-3-12£©¡£¡£¡£¡£¡£ ¡£¡£ ¡£

¾­MEBT/MEBOÖÎÁÆ5Ì죬 £¬ £¬£¬£¬£¬£¬¿É¼û´´ÃæÏËάϸ°û£¬ £¬ £¬£¬£¬£¬£¬³ÉÏËάϸ°ûÉú³¤½ÏÁ¿»îÔ¾£¨Í¼5-3-13£©¡£¡£¡£¡£¡£ ¡£¡£ ¡£

¾­MEBT/MEBOÖÎÁÆ10Ì죬 £¬ £¬£¬£¬£¬£¬´´Ãæ×éÖ¯ÇÐÆ¬¿É¼û±íƤ¼¬²ã¼¬Ï¸°û·ºÆð²¢ÓÐÇÅÁ£ÅþÁ¬£¨Í¼5-3-14¡«5-3-15£©¡£¡£¡£¡£¡£ ¡£¡£ ¡£¿£¿£¿£¿£¿ÅÁ£²ã¿ÅÁ£Ï¸°û·ºÆð¡£¡£¡£¡£¡£ ¡£¡£ ¡£ÔÚ»ùÄÚÇé°û²ã¿É¼ûÐþÉ«ËØÐ¡Ì壨ͼ5-3-6¡«5-3-17£©¡£¡£¡£¡£¡£ ¡£¡£ ¡£²¢¿É¼ûСѪ¹ÜÖÜΧµÄÍÌÊÉϸ°ûÓÐÍÌÊÉÕ÷Ïó£¨Í¼5-3-18£©£¬ £¬ £¬£¬£¬£¬£¬ËµÃ÷Æä¹¦Ð§Ò²ÒѾ­ÔÚ»Ö¸´¡£¡£¡£¡£¡£ ¡£¡£ ¡£

¾­MEBT/MEBOÖÎÁÆ20Ì죬 £¬ £¬£¬£¬£¬£¬µç¾µÊӲ쵽»ùÄÚÇé°û²ãÓëÏËάĸϸ°ûÖ®¼äµÄ°ëÇÅÁ£ÅþÁ¬£¬ £¬ £¬£¬£¬£¬£¬Í¬Ê±¿É¼ûÏËάĸϸ°ûÄÚ´ÖÃæÄÚÖÊÍø½á¹¹ºÍÏßÁ£ÌåÔöÉúÑÄÔ¾£¨Í¼5-3-19¡«5-3-21£©¡£¡£¡£¡£¡£ ¡£¡£ ¡£ MEBT/MEBOÖÎÁÆ30Ììºó£¬ £¬ £¬£¬£¬£¬£¬ÉÏÆ¤×éÖ¯ÔÙÉúÐÞ¸´£¬ £¬ £¬£¬£¬£¬£¬ÒÑ»ù±¾Íê³É£¬ £¬ £¬£¬£¬£¬£¬´´Ãæ×éÖ¯ÇÐÆ¬ÏÔʾ½ºÔ­ÏËά³ÉÊ죬 £¬ £¬£¬£¬£¬£¬ÅÅÁÐÕûÆë£¨Í¼5-3-22£©£¬ £¬ £¬£¬£¬£¬£¬Ö±¾¶Îª0.1¡«0.5µm£¬ £¬ £¬£¬£¬£¬£¬²¢¿É¼ûÃ÷°µÏà¼äÖÜÆÚÐÔºáÎÆ£¨64nm£©£¬ £¬ £¬£¬£¬£¬£¬Î´¼ûµ½½ºÔ­ÏËάŤÇúºÍ³ÊÐýÎС¢²Ë»¨µÈ²¡ÀíÐÎ̬¡£¡£¡£¡£¡£ ¡£¡£ ¡£

´´ÃæÓúºÏºóÏÂÖ«¹¦Ð§Ä¥Á¶£¬ £¬ £¬£¬£¬£¬£¬´´Ãæ¼ÌÐøÍâÓÃMEBO×÷Èó·ôÓÍʹÓᣡ£¡£¡£¡£ ¡£¡£ ¡£É˺ó45ÌìȬÓú³öÔº¡£¡£¡£¡£¡£ ¡£¡£ ¡£

         

5-3-1 Àîij Å® 20Ë꣬ £¬ £¬£¬£¬£¬£¬ÆûÓÍÉÕÉË35%TBSA £¨Éî¢ò¡ãÉîÐÍ15%£¬ £¬ £¬£¬£¬£¬£¬Ç³¢ó¡ã20%£©

         

5-3-2 ÉÏÆ¤×é֯ȫ²ã»µËÀ£¬ £¬ £¬£¬£¬£¬£¬½ºÔ­ÏËά±äÐÔ£¬ £¬ £¬£¬£¬£¬£¬Î¢Ñ­»·ðöÖÍ HE¡Á20

         

5-3-3 É˺ó4Ì죬 £¬ £¬£¬£¬£¬£¬´´ÃæÔÚMEBO×÷ÓÃϽøÈëÒº»¯ÆÚ£¬ £¬ £¬£¬£¬£¬£¬´´ÃæÆ¤·ô×éÖ¯×îÏÈÔÙÉú

         

5-3-4a ÐÂÉúÉÏÆ¤×éÖ¯ºÍ½ºÔ­ÏËάÔöÉú£¬ £¬ £¬£¬£¬£¬£¬¿É¼ûµä·¶EB£¨Æ¤·ôÅßÌ¥»ù£© HE¡Á40

         

5-3-4b ÐÂÉúÉÏÆ¤×éÖ¯Öпɼû΢Ѫ¹Ü£¬ £¬ £¬£¬£¬£¬£¬½ºÔ­ÏËάºÍÉÏÆ¤Ï¸°û(¸Éϸ°û)ÐÎ³ÉµÄÆ¤·ôÅßÌ¥»ù×éÖ¯  HE¡Á40

         

5-3-5 MEBT/MEBOÖÎÁÆ30Ì죬 £¬ £¬£¬£¬£¬£¬´´ÃæÆ¤·ôÔÙÉúÐÞ¸´ÓÅÒì

         

5-3-6 ÖÎÁÆ30ÌìºóµÄ´´ÃæÆä±íƤ×éÖ¯£¬ £¬ £¬£¬£¬£¬£¬ÕæÆ¤×éÖ¯½á¹¹ÒѳÊÐÄÀí״̬  HE¡Á20

(×éÖ¯»¯Ñ§ÊÈÒøÈ¾É«)

         

5-3-7 MEBT/MEBOÖÎÁÆ20Ì죬 £¬ £¬£¬£¬£¬£¬±íƤ»ùµ×²ã£¬ £¬ £¬£¬£¬£¬£¬»ùµ×ĤÔÙÉúÑÄÔ¾  HE¡Á20

         

5-3-8 ͬÉÏ£¬ £¬ £¬£¬£¬£¬£¬ÕæÆ¤²ãСѪ¹ÜÖÜÎ§Íø×´ÏËά³ÊÐþɫȾɫ  HE¡Á40

(ÃâÒß×éÖ¯»¯Ñ§È¾É«)

         

5-3-9 MEBT/MEBOÖÎÁÆ30Ì죬 £¬ £¬£¬£¬£¬£¬Ï¸°û½ÇÖÊËØAE3³ÊÑôÐÔ¡£¡£¡£¡£¡£ ¡£¡£ ¡££¨ËµÃ÷»¼ÕßÉÕÉË´´ÃæÊÇ×ÔÎÒÔÙÉúÐÞ¸´£© HE¡Á20

         

5-3-10 ͬÉÏ  HE¡Á40

         

5-3-11 AE1Ⱦɫ¡£¡£¡£¡£¡£ ¡£¡£ ¡£ÏÙÉÏÆ¤ÂѰ×ÒõÐÔ  HE¡Á20

µç¾µÊÓ²ì

         

5-3-12 ÉÕÉ˵±ÈÕ£¬ £¬ £¬£¬£¬£¬£¬µ¥ºËϸ°ûºËÆ«ÒÆ£¬ £¬ £¬£¬£¬£¬£¬¹ÌËõ£¬ £¬ £¬£¬£¬£¬£¬²¢ÓÐÍÌÊÉÕ÷Ïó  TE¡Á8000

         

5-3-13 MEBT/MEBOÖÎÁÆ5Ì죬 £¬ £¬£¬£¬£¬£¬³ÉÏËάϸ°ûÉú³¤»îÔ¾  TEM¡Á2000

         

5-3-14 MEBT/MEBOÖÎÁÆ20Ì죬 £¬ £¬£¬£¬£¬£¬4¸ö¼¬Ï¸°ûµÄÇÅÁ£ÅþÁ¬   TEM¡Á3500

         

5-3-15 ÇÅÁ£½á¹¹ TEM¡Á20000

         

5-3-16 ¿ÅÁ£Ï¸°û  TEM¡Á3500

         

5-3-17 »ùÄÚÇé°û²ã£¨ÐþÉ«ËØÐ¡Ì壩  TEM¡Á6000

         

5-3-18 ÍÌÊÉϸ°û»îÔ¾  TEM¡Á6000

         

5-3-19 MEBT/MEBOÖÎÁÆ20Ì죬 £¬ £¬£¬£¬£¬£¬Ê¾ÏËάĸϸ°û£¬ £¬ £¬£¬£¬£¬£¬¼°Óë»ùµ×Ĥ°ëÇÅÁ£ÅþÁ¬µÄÉÏÆ¤Ï¸°û TEM¡Á3000

         

5-3-20 ´ÖÃæÄÚÖÊÍø½á¹¹ºÍÏßÁ£ÌåÔöÉúÑÄÔ¾  TEM¡Á17000

         

5-3-21 ͬÉÏ  TEM¡Á20000

          

5-3-22 MEBT/MEBOÖÎÁÆ30Ì죬 £¬ £¬£¬£¬£¬£¬ÕûÆëÅÅÁеĽºÔ­ÏËά£¬ £¬ £¬£¬£¬£¬£¬ÏËάÔȳÆÒ»ÖÂÖ± ¾¶ 0.1¡«0.5µm£¬ £¬ £¬£¬£¬£¬£¬ÓÐÃ÷°µÏà¼äµÄÖÜÆÚÐÔºáÎÆ£¨64nm)

(ÏôĦ¡¢ÕÔ¿¡Ïé)
¡¾ÍøÕ¾µØÍ¼¡¿¡¾sitemap¡¿